晚上牙疼得厉害?冷热水喝一口就疼得直打颤?出现这种情况你很可能需要做根管治疗了。
01丨什么是根管?
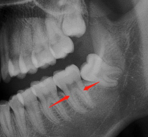
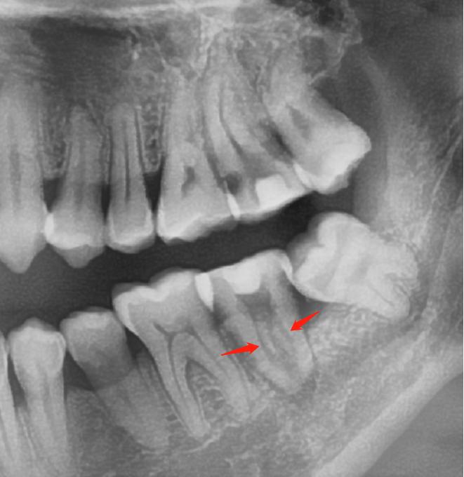
看到片子上牙根里面细细的黑色影像了没?红色箭头指的,它就是根管。根管是牙根中空的部分,里面有神经血管。

02丨什么是根管治疗?
简单说就是先把根管里面感染的组织去除,再用材料把这个管道堵死。

我知道很多人想问,“能不能不做根管治疗啊?”
不要问,问也没得后悔药,医生让你们早点补牙就是为了避免牙齿烂深了做根管,你自己要拖,哪个都救不到你 →_→
总之,对于发育完成的恒牙来说,一旦根管里面的牙髓被感染了,通常就只能做根管治疗了。

03丨好多诊所根管治疗只要两三百,凭什么华西收费那么贵?
听我给你算一算哈,做个后牙的根管治疗来来去去要做好几次,每次都是长时间操作,再加上这是专业医生的手工活,你说值不值钱~
临床上,我经常遇到患者说自己做过根管治疗,然后拍片一看,根管里面空空的,或者根本充填不够。
所以,一分钱一分货了解一下~
04丨怎样才能知道根管治疗做得好不好呢?
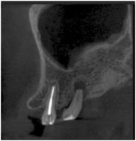
重点来了,来看看做得好的根管长什么样:



片子上可以很清晰地看出根管里面均匀地充满了不透光的材料(片子上白色的),把中空的根管恰好填满,看着就非常舒服~
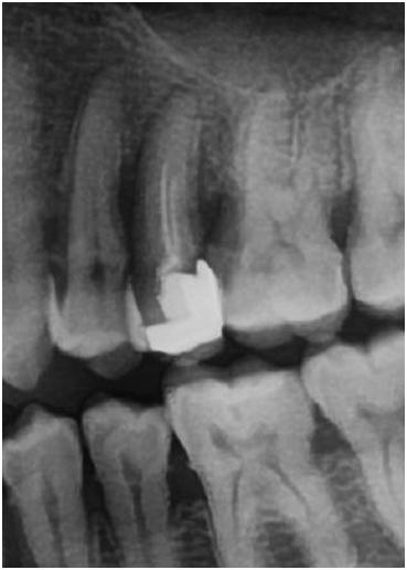
再来看看做得差的:

上面这位大哥说他做了根管的
片子显示根管里什么都没有┓(;´_`)┏

这位姐姐也说做了根管的
但是根管里面就细细的两根牙胶尖,根本没有填满
当然,有时候根管钙化不通,根管治疗确实没有办法填到根尖,但是负责任的医生肯定会明确告诉你的。
有的地方技术条件有限只能做塑化治疗或者干髓治疗等,但这些都不是真正的根管治疗,拍片看到根管里面也是空空的。
有些黑诊所“挂羊头卖狗肉”,做塑化治疗或者干髓治疗告诉患者做的根管治疗,或者充填牙胶尖不密实,甚至根本不填充牙胶尖,收费自然便宜很多,千万别觉得自己占了便宜,其实是吃了闷亏了。

黑诊所这些操作,能解决眼前的疼痛,但远期治疗效果肯定比正经的根管治疗差。以后出问题,你找谁哭去?
总之,好的根管治疗通过牙片能看到均匀致密的充填物,充满整个根管一直到根尖,或者差一点点到根尖~

掌握了这个判断的小技巧,黑诊所也不敢轻易给你乱整啦~
▼
版权及免责声明
文章科普皆为@牙医lina的原创文章
科普不能代替医生诊疗,如家长判断不了请及时就医
图片来源于网络,如有侵权请告知