在骨关节与运动医学门诊中
每次都有不少患者来咨询
『 半月板损伤是否需要手术 』的问题

那么,半月板损伤真的一定要手术治疗吗?
来看看陈帅医生是怎么解释的
什么是半月板
人体半月板颜色灰白,质韧、光滑而富有弹性,是胫骨关节面上的半月形纤维软骨。内外各一,内侧呈“C”型,外侧接近“O”型。它好比机器的垫片和弹簧一样, 有增加关节稳定 、 缓冲震荡和润滑的作用 。

半月板损伤的机制及好发人群

生命在于运动,对于需要直立行走的人类来说, 日常生活活动 、 体育运动中任何膝关节屈曲旋转的动作 、 扭伤亦或高处坠落伤 、 *力暴**型交通事故等导致的膝关节内骨折皆有引起半月板损伤的可能 。

急性损伤多见于青年人 ,特别是羽毛球、篮球、足球等运动;
爱美女士练习瑜伽 、 或者天生盘状半月板者也易损伤 ;
慢性退变性损伤性多见于中老年人 。
半月板常见损伤类型及危害

半月板常见6种损伤类型:
- 纵行裂,放射裂,水平裂,桶柄状撕裂,鸟嘴样裂,瓣状撕裂。
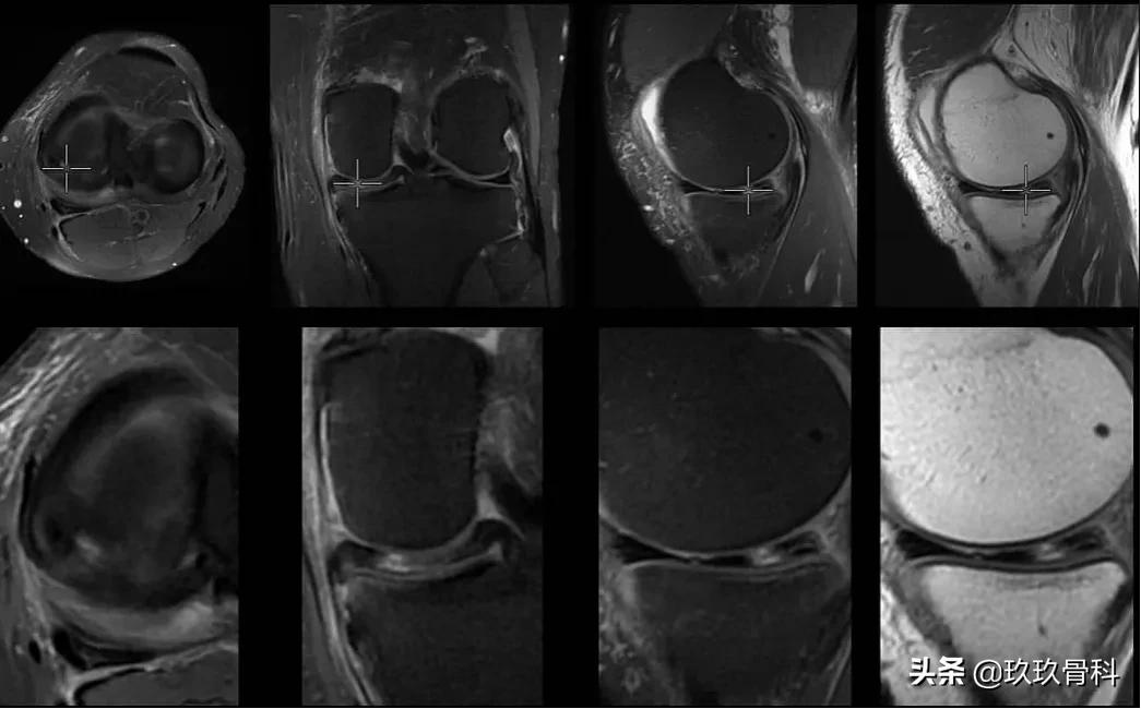
膝关节核磁共振可以半月板损伤分级:

△ 核磁共振下半月板形态

I级损伤
半月板内球状或椭圆形高信号,不与半月板的关节面相连,多见正常人或轻度退变者,无需治疗;

II级损伤
是I级损伤的进一步发展,半月板内高信号延伸至半月板关节缘,仍未及关节面,脆性增加。故半月板退变者易在运动或者突然旋转动作时损伤半月板,多见于退变或轻度外伤,多不需要治疗;

III度损伤
半月板内高信号波及关节面,表现为全层、斜裂、水平、混合撕裂影,半月板正常形态消失;多有手术指征。

半月板损伤 容易迁延不愈 , 膝关节稳定性减弱 , 影响患者生活和工作 , 并加速关节软骨损伤 , 进而引起关节退变 。
临床表现
常见临床表现:
- 局限性疼痛、关节肿胀、弹响和交锁、股四头肌萎缩、打软腿及在膝关节间隙有明确压痛。
其中,急性损伤:
- 起病快,多有高强度或频繁运动史,局部肿痛明显,活动受限,压痛,麦氏征阳性;
慢性损伤:
- 发病慢,既往有半月板损伤史,多见于中老年人。患者多诉膝关节酸软无力,有交锁或者卡压现象。
一般治疗及注意事项
处于 急性期的患者需要制动 、 休息 , 避免过多负重行走 ,支具或固定带维持膝关节稳定性。可以做膝关节周围肌肉锻炼,防止肌肉萎缩和关节僵硬,在确定膝关节骨质没有损伤的情况下,完善膝关节核磁共振(MRI),明确半月板损伤程度。

一般 I 度 和 II 度 的半月板损伤 无需手术治疗 ;
即便是 III 度 损伤的半月板 仍需结合患者症状及体征 ,才有可能存在手术指征,不一定100%行手术治疗。
半月板损伤后,您可以通过一系列锻炼进行康复


△ 半月板损伤康复图谱
