本病例中,患者为老年患者,有数十年高血压病史,突发小脑出血,出血量达30 ml。患者家属坚持保守治疗。经保守用药6周后,患者小脑出血吸收完全,神志恢复正常,顺利出院。
患者男,75岁,2021年1月18日晚,突发头痛伴呕吐3 h余,休息后未见缓解,急至盐城市第一人民医院急诊,收入神经外科,入院时患者神志浅昏迷。
既往史: 患者平素身体健康状况一般,高血压几十年,口服药物北京降压0号,否认糖尿病、冠心病等病。2018年因脑膜瘤在外院行伽马刀治疗,后因脑积水再行脑室腹腔分流手术。
入院时急诊头颅CT检查提示小脑大量出血,量约30 ml,且破入脑室,脑干已受压,随时可能出现呼吸骤停,建议急诊手术清除小脑血肿,病情及手术相关风险向患者家属详细交代,其家属经过协商后拒绝手术,要求对症保守治疗。

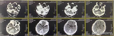
入院时(1月18日),急诊头颅CT提示小脑出血约30 ml
由于患者家属坚持保守治疗,故给予卧床休息、吸氧、心电监护、止血、控制血压、神经营养等对症治疗。
入院3d后复查CT,由于患者脑室腹腔分流管的存在,患者脑室系统并未扩大,脑干受压未进一步加重,与患者家属反复沟通后,继续予以保守治疗。并在此基础上口服脑血疏口服液 10 ml/次,每日3次,饭后服用,促进血肿吸收。

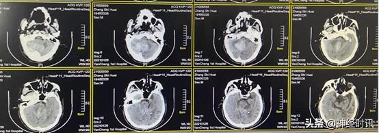
入院3 d后(1月21日),急诊头颅CT提示小脑内仍有大量血肿存在

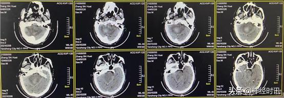
1月26日(脑血疏用药5 d后)复查CT,患者小脑血肿开始逐渐淡化,血肿量明显减少,约20 ml,周围水肿并不明显,且环池变得清楚,继续服用脑血疏口服液
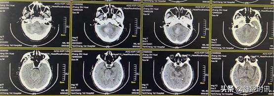
2月1日(脑血疏用药10 d后)复查CT,显示患者小脑血肿进一步淡化吸收,血肿量约15 ml,脑干及环池显示完全,效果明显,继续服用脑血疏口服液

2月8日(脑血疏用药两周半后)复查CT,显示患者小脑血肿基本淡化吸收,量约10 ml,水肿达到高峰,但并未对脑干造成压迫,继续口服脑血疏口服液

2月21日(脑血疏用药1个月后)复查CT,显示患者小脑血肿基本吸收消失,患者神志明显好转,可自主饮食,少量活动,继续服用脑血疏口服液

3月4日(脑血疏用药6周后)复查CT,显示患者小脑血肿已完全吸收,患者病情明显好转
3月8日,患者一般状况可,生命体征稳定,体温不高。查体:患者神志朦胧,精神一般,项软,双侧Kexning征阴性,双侧瞳孔直径2.0 mm,圆形。直接、间接对光及调节反应灵敏,心肺及腹部未见明显异常,四肢刺痛活动可。经评估准予出院。并带10 d 脑血疏药量协助康复治疗。

4月7日(出院1月后)复查CT,显示患者小脑、脑干及脑室系统均已恢复正常
总 结

高血压性小脑出血属于临床常见的危急重症之一,具有较高的致残率与病死率。 有研究统计,外科手术方案能够将高血压性小脑出血的病死率降至28%~39%。 而保守方案治疗高血压性小脑出血的病死率则高达70%~85%!
本病例中,患者为老年患者,有数十年高血压病史,突发小脑出血,出血量达30 ml。通常认为,小脑出血量>10 ml即需要手术治疗。本病例中患者达到手术指征,但由于手术风险较高,患者家属一直坚持保守治疗。入院3 d后患者情况未见缓解,故加用脑血疏口服液促进血肿吸收,在用药后患者血肿持续吸收,且神志状态逐渐好转。用药6周后,患者小脑出血吸收完全,神志恢复正常,顺利出院。
编辑 | 丁慧鑫
审校 | 董晓慧