
唉!
人生处处是瓶颈啊!
就算优秀如牙小抠,
他也会有搞不定的事!
不过,小抠究竟在烦恼什么呢?
看他那苦巴巴的脸啊!
我们要不要帮助他一下呢?

原来,牙小抠是为本期的“作业”发了愁!
上期河马医生根据家长比较关心的问题,
给小抠布置了两道作业:
作业1、儿童拍牙片有辐射吗?
作业2、打麻药是否会影响智力?
但牙小抠这两天贪玩,
并没有认真“做功课”,
可一会儿河马医生就要出题考小抠了,
嘤嘤嘤~
可他真的是一脸懵逼啊!

牙小抠急的团团转,
该怎么办呢?
河马医生:小抠下次要做好功课哦!
今天就由我来为家长朋友们解惑吧!
常有家长会疑惑拍牙片是否有辐射的问题,
那拍牙片究竟有没有辐射?
辐射大不大?
会不会对孩子身体造成什么影响呢?
今天我们就这个疑问展开答疑。

看牙为什么要拍片?
很多人会有这样的疑惑,
看牙为啥还需要拍牙片呢?
而且孩子拍牙片有辐射,
会不会对身体造成什么不良影响呢?
好吧,说到这里,
又不得不给你们直观的冲击一下!
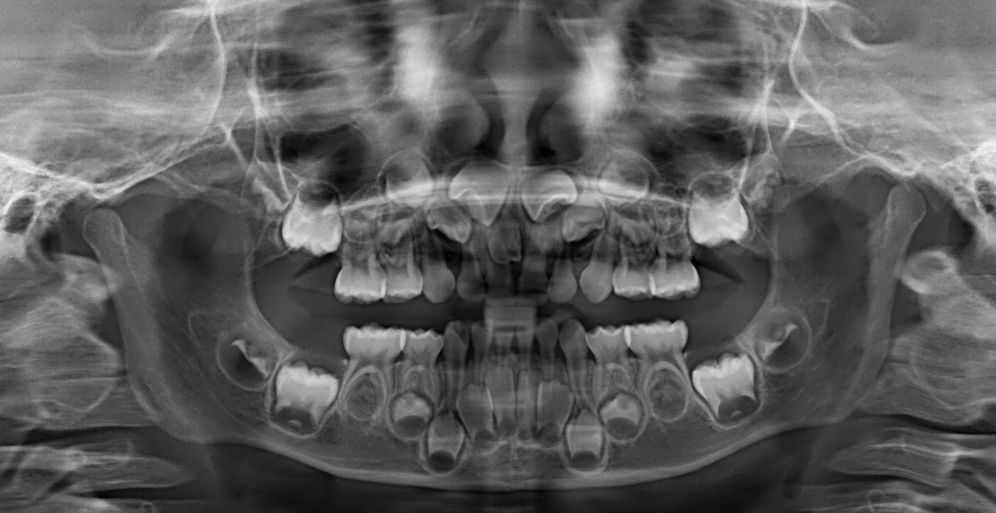
因为不拍牙片,
你根本不知道牙齿,
可以长得会有多奇葩!
▼

由于牙医没有透视眼,
所以需要牙片的辅助,
来确定孩子的牙齿情况。
比如说通过牙片牙医可以了解到,
孩子蛀牙的范围有多大;
乳牙恒牙萌出的位置正不正常;
孩子颌骨发育畸形等等问题。
而以上这些问题,
如果我们只靠肉眼检查,
是根本检查不出来的。

所以,
拍牙片是为了科学诊断,
避免误诊,避免盲操作,
所以,
正规口腔门诊会要求患者在治疗前拍牙片。
因此,在口腔治疗过程中,
牙片对于口腔疾病的诊断很重要,
“拍牙片”是必要的!

拍牙片有辐射吗?
拍一张牙片的辐射量是很小的,
大家不要排斥拍片诊断牙齿问题。
平常拍牙片的辐射剂量,
远远小于我们平时受到的生活辐射,
比如拍一张小牙片,
相当于乘坐一个多小时飞机受到的辐射,
一张曲面相当于坐两个小时左右的飞机。

孕妇儿童可以拍牙片吗?
孕妇一般不建议拍牙片,
就像不建议孕妇用电脑、手机等一样,
因为这些都有辐射,
不管辐射大小,
为了宝宝的健康,
一般都建议孕妇远离辐射。

而儿童是可以拍牙片的,
拍牙片前医生会为他们穿上铅衣或铅裙,
良好的抗辐射保护措施
会将辐射的效果降到微乎其微。

原来如此,
牙小抠恍然大悟,
所以说,小朋友可以拍牙片,
而且拍牙片的辐射会很低,
基本对孩子不会造成什么影响!
以后家长们可以放心啦!
拍牙片是为了让医生更好的确诊
孩子牙齿的情况哦!
早发现早治疗,
孩子才能开心的大笑,
并健健康康的茁壮成长哦!

其实作为家长,
当然都希望孩子能有一口
健康、坚固、漂亮的好牙。
但是,
孩子的牙齿总是会出现大大小小的问题,
如龋齿等,
如果不及时治疗,
则会直接影响到孩子恒牙的生长。
每次给孩子治疗牙齿时,
家长们都会有很多的疑虑。
如果孩子需要做治疗
如拔牙,根管治疗等,
而这些治疗都需要打麻药,
家长就会问道:
打麻药会不会影响到孩子智力呢?
答案是:当然不会!

什么情况下孩子需要打麻药?
下面我们举个拔牙的例子吧!
拔过牙的朋友都知道,
拔牙之前如果不打*醉药麻**,
拔牙的疼痛连大人都难以承受,
更别说是孩子。
然而,
当孩子牙齿真的坏到不得不拔除的时候,
家长们往往会很犹豫,
担心打*醉药麻**会给孩子各方面成长
带来伤害;
但不打*醉药麻**,又怕拔牙进展不顺利。

其实,
孩子在牙科治疗中的疼痛经历
会对他将来的口腔治疗产生负面影响,
因此医生要将每次治疗时的不适感降小,
而做到这点很好的方法就是采用局部麻醉。

打麻药是否会影响智力?
有些家长担心麻药会影响到孩子的大脑。
其实,
儿童的牙科治疗中常常采用
表面麻醉、浸润麻醉和传导麻醉。
这些麻醉方法都是局部麻醉,
主要作用于局部的
牙齿、黏膜、骨,很少进入血液,
因此宝妈宝爸们可以放心。
在口腔治疗过程中,
由于麻醉的剂量很小,
打麻药是不会损伤到孩子的智力。

所以家长们可以放心了,
需要进行打麻药的治疗项目,
是为了让孩子舒适的进行治疗,
不会影响孩子的智力发育,
更不会影响到孩子看牙的体验,
造成恐惧心理。


小小牙医招募活动
1、招募要求
活动时间:2019.1月-2019.3月(具体时间待通知)
活动地点:天府广场百扬大厦34楼河马口腔
报名电话:400-058-1717
小牙医招募年龄要求:4岁至10岁之间
小牙医每场招募数量:10位孩子,报满为止
2、活动流程
1.变身小牙医:孩子换装,穿上医生服装。
2.爱牙小课堂:讲解儿童口腔护理知识及儿童常见口腔疾病的预防方法。
3.宝贝学刷牙:教孩子正确的刷牙方法。
4.宝贝当牙医:孩子体验牙医职业,为自己的爸爸妈妈检查牙齿。
5.宝贝口腔检查:儿童牙科医生为孩子进行口腔健康检查。
6.颁发毕业证书:为每个孩子颁发毕业证书,合影留念,活动结束 。

河马口腔





河马口腔,
给宝贝最美的微笑!

本文为原创文章
转载请注明出处
欢迎读者分享至朋友圈