近日,潍坊市昌乐县人民医院心血管内二科介入团队顺利为一名不稳定性心绞痛患者完成了冠脉血管内超声检查,并在血管内超声检查辅助下,完成了冠状动脉介入治疗。
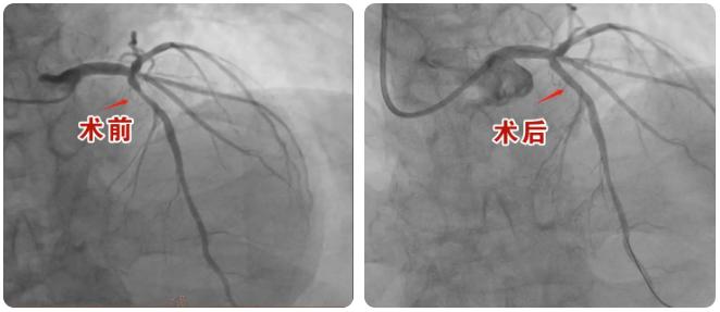
42岁的患者朱先生,因“发作性胸痛2个月,加重2天”到心血管内二科就诊,入院后诊断为不稳定型心绞痛,造影检查显示前降支近段斑块浸润,局部70%左右狭窄。为准确评估冠脉病变、指导下一步治疗,昌乐县人民医院心血管内二科主任孟祥江建议患者行血管内超声(IVUS)检查,明确其血管病变处最小管腔面积仅2.32mm?、斑块负荷80%,狭窄程度70%-80%,已经达到冠脉支架植入标准,遂予以冠状动脉腔内成形术及冠状动脉药物涂层支架植入术,借助血管内超声精准“导航”,犹如具有“火眼金睛”,将血管内病变“看得”更直观、仔细。术后再次应用血管内超声(IVUS)检查,对冠脉病变情况及治疗后评估,显示支架贴壁良好,无夹层及血栓征象,达到预期手术效果。

血管内超声
血管内超声(Intra Vascular UltraSound ,IVUS)技术,简单通俗地说,就是在心脏血管内做超声检查,将微型化的超声探头通过导管的技术送入血管腔内,从而提供在血管壁内的横截面图像,精细程度堪称心血管介入手术中医生的“火眼金睛”。

目前确诊冠心病的金标准是冠脉造影,但冠脉造影有一定的局限性,只能显示血管的轮廓,不能显示血管结构及斑块性质。对于冠脉血管狭窄需要进行介入治疗的患者,IVUS对疾病的诊断和治疗起到关键性作用:该技术能清晰显示管壁结构的厚度、管腔大小和形状等,精确地测量血管腔径及截面积,甚至可以辨认钙化、纤维化和脂质化等病变。在支架植入前为选择合适的支架提供准确的参考依据,使术者能够更好地选择支架的直径和长度,使支架和血管更好地匹配。在支架植入后,可对支架的大小、位置、贴壁程度、膨胀情况进行系统的评价,保证支架充分扩张和贴壁良好。
2023年以来,心血管内二科开展血管内超声技术指导下的冠心病介入诊疗,术前应用IVUS检查,准确评估冠脉病变情况,术后应用IVUS检查评估支架贴壁情况、有无夹层及血栓征象,患者胸痛症状均改善、恢复良好,得到患者及家属的一致好评。进一步提升了医院在心血管疾病循证化、精准化、个体化治疗水平,更好地为广大心血管疾病患者提供更优质的精准医疗服务。