一说到肥胖
大家首先想到的
一定是那些看得见、摸得着的赘肉

但内脏中的脂肪
却对健康影响更大
漯河的赵大哥今年才50岁
就忍受了足足10年的
尿频尿急尿不畅的痛苦

近期
因为彩超检查提示为双肾重度积水来到郑州市中心医院住院治疗入院后医生详细询问病史后发现赵大哥的病情并不简单

赵大哥因排尿不畅,已经导致肌酐增高、肾功能损害,需要马上明确病因

原以为是前列腺增生导致的上尿路积水,肾功能损害但细心的医生给病人查体发现,患者下腹部膨隆肛门指检未触及前列腺,这跟普通的前列腺增生症的病人并不相符
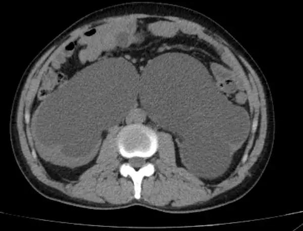
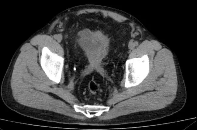
进一步完善泌尿系CT发现患者除了双肾重度积水,输尿管扩张之外盆腔有大量脂肪堆积

CT显示赵大哥双肾重度积水


盆腔脂肪明显增多,前列腺抬高,膀胱挤压变形
明确盆腔脂肪增多症诊断后,医生组织了科内讨论,最后建议患者一期先行双肾造瘘
等肾功能恢复后再决定下一步手术
盆腔脂肪增多症是一种原因不明的良性罕见病,是由于大量脂肪堆积于盆腔,包绕压迫膀胱下段、膀胱颈、直肠,使之变形、狭窄,并出现移位,造成膀胱颈部、输尿管下段、乙状结肠、直肠等梗阻改变
特别是泌尿系统症状尤为明显,输尿管逐渐扩张,肾盂积水进行性加重,若病情得不到有效控制,最终可出现肾功能减退,甚至肾功能衰竭
人体脂肪,也就是通俗意义上讲的肥肉。然而,人体脂肪并不仅仅指外在我们看得到的肥肉,还有很多是我们看不到的。

单纯地凭借体重来判断一个是否肥胖是既不科学和片面的,那些隐藏在我们身体内部不易发现的脂肪更应该引起我们的重视。
生活中有很多看起来体重正常身体均匀的人,体脂率偏高,身体状态实际上比那些全身肥胖的人还要糟糕。

而赵大哥的脂肪,不知道什么原因走错了路,“跑”到了盆腔里
如何判断自己内脏脂肪是否超标
简单直接的方法是做一个腹腔彩超或是CT即可精准的判断是否内脏脂肪超标
但是其实很少有人会这样去做,给大家一个简单的测量方法:男性腰围大于90cm,女性腰围大于100厘米(没错女性的标准比男性的宽泛)即可以认定为内脏脂肪超标

这个数据需要自然测量,测量时自然呼气就好,不要刻意收腹,也不要憋着气不放
还有现在很多智能体重秤都有内脏脂肪的指标,买一个回家测量即可
目前虽然对于盆腔脂肪增多症除了手术,并没有什么特别有效的方法,但我们平时积极锻炼,尽量减少身体脂肪堆积,也是一种好的预防方式

对于内脏脂肪超标的朋友们
减肥吧
瘦了不仅能变美
还能更健康!