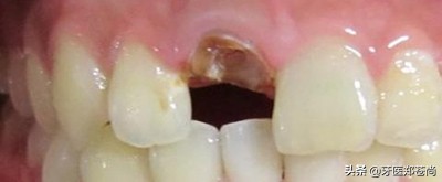
患者提问:我是后面的一颗大牙,坏了好几年了,现在基本看不到了,貌似只剩下牙根了,这样的怎么办?(患者有一颗残根)
回复:你这种情况的,建议你及时到医院做个检查看看,看是将牙根拔掉,还是牙根保留,然后进行修复。

关于残根残冠的处理
一定要及时看牙医,无论牙齿坏到了什么程度,医生检查之后,才能告知我们具体情况,是没有了治疗、保留价值,需要直接拔掉再修复,还是可以治疗,经过治疗后,可以在原来的基础上打桩做冠,进行修复。

护齿注意事项
做好口腔清洁,定期洗牙,保持好基本口腔卫生。定期检查牙齿,大人、小孩儿都要养成定期看牙的习惯。
拒绝“拖延”,很多缺失牙都是拖延造成的,蛀牙不补,牙龈出血不洗牙,牙周病不及时治疗,最终造成牙齿缺失。
蛀牙补牙比较简单,不及时治疗,发展到残根残冠、失牙的地步,再治疗修复起来就复杂多了。
最后呢,还是要说,有蛀牙一定要早点补牙治疗,越拖越不容易治疗,失牙的情况也是有很多的。

两个要点能帮你了解牙齿残根
1、残根残冠是可以治疗,还是拔掉再修复,需要检查之后才知道。
2、要想牙齿好,卫生、口腔健康一定要做好,如果发现有问题,一定不要拖延治疗。