提起冲击波
其超大爆发力
超强穿透力
让人不寒而栗

如果告诉你,用冲击波能治病,你信吗?
冲击波治疗到底是啥?
冲击波治疗就像是一把“绿色的手术刀” ,利用电磁冲击波能量聚焦后作用于人体,激活成骨细胞和组织细胞,具有空化效应、成骨效应、代谢激活效应、镇痛效应可以改善局部血细胞吸氧功能,加速微循环,从而松解组织粘连,改善局部血液循环,加速康复。可以解决患者的疼痛困扰,被誉为治疗肌肉、筋膜、软组织等疾病的“绿色疗法”。具有裂解硬化骨、松解粘连、刺激微血管再生、促进骨生成等作用。兼具声、光、力学特性的机械波,在穿越人体组织时,其能量不易被浅表组织吸收,可直接到达组织深部。
冲击波治疗有哪些优势?
- 相比较吃药、打针而言,安全便捷,门诊上就能治疗;
- 不伤及正常组织,只针对患处尤其是坏死细胞起作用;
- 治疗时间短,周期3-5次,视患者病情而定;
- 快速缓解疼痛,治疗后疼痛即可得到缓解;
- 适应症广泛,尤其是针对疼痛以及软组织病症。
理论太抽象?来看三个病例感受一下!
病例一
股骨头水肿综合症


患者孙某,女性,65岁,1个月前出现右下肢疼痛,伴有活动受限并有放射痛,到当地医院多方求治都考虑腰椎间盘突出症,给予对症治疗,但孙某右下肢疼痛不见好转,反而逐渐加重,夜间疼痛严重时无法入睡,生活痛苦不堪,家属经多方打听找到骨病·骨肿瘤科I王顺利主任,经过详细细微的查体,王顺利主任发现患者右髋部疼痛、活动受限明显,并伴有右下肢放射痛,结合患者已有的影像学检查,考虑股骨头病变引起,给予办理入院手续后,完善髋关节MRI检查后,果不其然是右侧右侧股骨头坏死、股骨头水肿综合征,结合患者年龄大,有高血压、冠心病等内科疾病,采用综合保守治疗,并应用体外聚焦式冲击波治疗,在应用冲击波治疗两次后,右髋部及右下肢疼痛,用孙某的话“奇迹般不疼了”,右髋部活动度恢复,患者及家属都非常感激王主任。一个多月没有看好的疼痛,来到郑州市骨科医院骨病·骨肿瘤科I,治疗两天后,疼痛就好了,非常高兴。王主任再次叮嘱患者,虽然目前疼痛缓解,但疾病还没有好,需要继续治疗,后面经过三个疗程的冲击波治疗,患者孙某右下肢疼痛消失了,恢复行走。
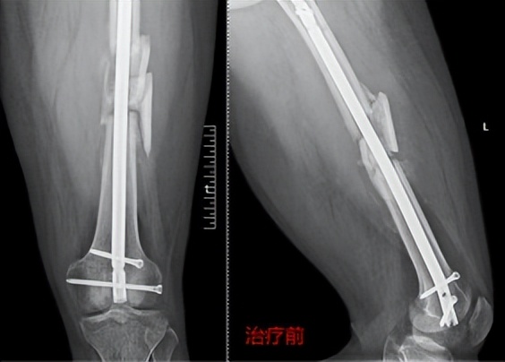
病例二
骨干骨折术后骨不愈合


患者袁某,男,22岁,正值风华正茂的年龄,不幸的是1年前因车祸致左股骨干粉碎性骨折,在当地医院行切开复位髓内钉内固定术,术后伤口愈合良好,患者满怀希望疾病早点康复,早点回学校读书,但随着术后的每一次复查,都是一次次的打击,因为每次复查都没有发现骨折愈合迹象,且在术后一年的时候出现了更不好的是股骨髓内钉近端锁定钉断裂,到省级多家医院求医,给的治疗方案都是手术植骨治疗,患者及家人都十分焦急,经多方打听,慕名来到郑州市骨科医院骨病·骨肿瘤科I找到王顺利主任,王主任详细询问病史及阅片后,告诉患者可以行骨伤病最新绿色疗法冲击波保守治疗,不用手术植骨治疗,并为患者制定了个性化治疗方案,袁某非常高兴并满怀信心告诉王主任一定配合治疗,经过三个疗程的冲击波治疗股骨干骨折愈合了。
病例三
慢性损伤性疾病
冲击波疗法就是一种不错的物理治疗方式。冲击波爆发力强,穿透力大,在相同的组织中会均匀地传播,而一旦遇到病变粘连的组织,则会因传播受阻而发生碰撞,产生强烈的能量释放,被动性剥离粘连的软组织,从体外松解受损的软组织,从而缓解关节周围疼痛的症状。来自商丘夏邑张大娘常年受髋关节炎疾病的困扰,在骨病·骨肿瘤科I王顺利主任医师的指导下用冲击波疗法治疗2个疗程以后,关节炎疼痛的症状明显减轻,延缓疾病进展,保守治疗达到患者预期疗效。

[声明]文章内容与信息来源于互联网或转载,如涉及版权问题,请立即与我们联系,我们将迅速采取适当措施。