
文/叮当派
叮当派,专注5-12岁儿童语文学习的趣味精读导师与时间管理教练;持续推送教育热点、时间管理技巧、高效能语文学习方法等丰富内容,与您共同见证孩子的成长与进步!欢迎转发、收藏本文~
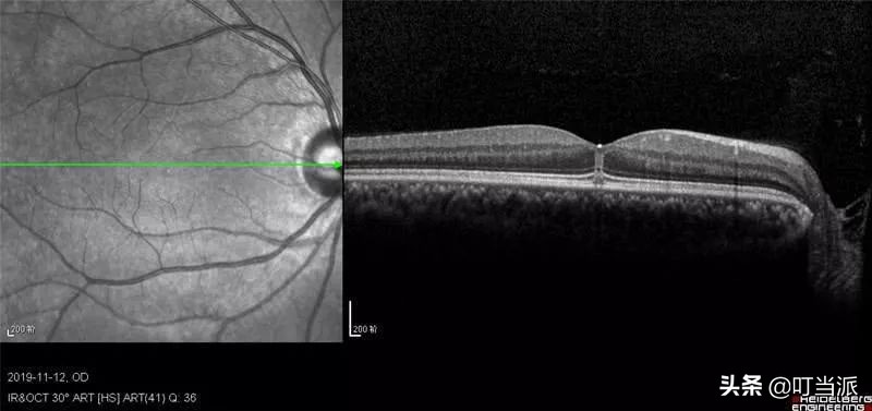
7岁的小武刚上小学一年级,9月份入学时,双眼视力都在0.8以上,最近学校再次组织体检,他的右眼只能看到视力表的第三行。小武告诉医生,他看东西时,右眼有阴影。
怎么回事?难道是孩子学习时不注意用眼卫生,导致近视了?

上周,家人带小武到医院复查。医生发现,小武的右眼视力只有0.15,但没近视。
一开始,医生以为小武眼睛的问题是先天性病变,但仔细检查其眼底后发现,黄斑区有一处淡黄色疤痕,可能是被激光笔灼伤的,而且有一段时间了。
医生一再追问,家人才想起,爸爸给小武买过一支激光笔当玩具,但啥时伤了眼,他们都说不清。
医生说,一些不符合生产规范的激光笔,能量过大,极短时间内就可对眼底造成极大破坏,导致视力下降,甚至一时性失明或永久性失明。

吓?
问题来了!
激光笔的伤害真有这么高?
当!然!有!
不信的话看看下面的实验!
激光爆气球
▼

激光点火柴
▼

孩子的眼睛被激光笔射伤的报道也层出不穷:
东莞11岁的小学生小卓,直视激光笔强光不到一分钟,左眼突然像被纱布遮住了一样,经医生检查发现视力突降为0.3……
12岁的宁波男孩小飞在镜子前玩弄激光笔时激光意外射入眼中,造成眼底黄斑灼伤,经医生检查,他的视力大幅下降,仅有0.02,险致失明。
甚至连成年人也未能幸免:比如这位飞行员。

江苏的一男子好奇激光笔的威力,差点把自己眼睛“玩”瞎了!
这位男子姓黄,平时喜欢夜猎,前不久他买了支激光笔,准备在夜猎时使用。然而,他想测试一下激光笔到底有多亮,于是便对准自己的双眼各照了两三秒钟。黄先生当时就感到看东西变黑了,但过了几分钟眼睛又好转了,所以并未引起重视。
没想到的是,第二天,他看东西时还是有黑影,并且出现了视物模糊,远处事物看不清的情况,便到医院就诊。

右眼黄斑中心凹全层水肿
江阴市人民医院眼科主任徐学东检查后发现,黄先生双眼黄斑水肿、右眼感光细胞层断裂,并且视力从 1.0 跌到了 0.6。医生给黄先生使用药物促进水肿消退,改善局部微循环并且营养眼部神经。
几天后复查,黄先生的水肿明显消退,视力恢复到了 0.8,但是眼睛看东西还是觉得正中间有黑点。
徐学东介绍,激光都有强弱不等的*伤杀**力,具体伤害程度取决于激光的能量和照射时间,有些激光能量高,可能会造成视网膜的损伤。

左眼黄斑中心凹偏颞侧水肿
特别是后极部黄斑区,一旦发生激光损伤,会造成视力下降,眼前黑影。有些严重的损伤会造成视力和眼前黑影永久损害。
国家质检总局曾发布《激光笔、儿童激光枪产品质量安全风险警示和消费提示》,提醒激光器会对人体造成光化学伤害和热伤害,特别是尚处于发育阶段的儿童,如果眼睛和皮肤受激光照射,可能造成更为严重的后果。
校园周边文具店,多家在卖激光笔
《海峡都市报》记者近期走访了福州鼓楼实验小学、钱塘小学、福州市屏东中学等校外周边地区,发现多家文具店都在卖激光笔,学生可随意购买

一些激光笔包装上有警示说明
在钱塘小学附近的鼓屏路,距校门不到300米处,一家文具店将待售的激光笔藏在店内角落挂历的背后。海都君询问后,店家才拿出来,其中一款售价为25元,和钢笔差不多大,印着“激光对眼睛有害、请勿直视”等黄色小字的警示。另一款卖70元,装在黑色纸盒里,没有厂家信息、警示标识。

福州一些中小学周边文具店卖激光笔
在屏东中学附近,3家文具店都摆出了激光笔,价格也在25元至70元之间,其中一家的激光笔包装上只写着韩文,没有中文标识。
走访中,记者问:“小孩可以玩吗?”老板们都说,这些激光笔比较贵,一般当教具用,小学生往往不会买,但如果小孩拿大人的激光笔玩,就不好说了。
福州市市场监督管理局的工作人员说,
“近半年,执法人员严查文具批发市场、超市、中小学校园周边商店,截至目前,已查处假冒伪劣产品2批、“三无”产品128批。如果市民发现激光笔的包装盒上没有厂家信息或中文标识,都可拨12315举报。”
他提醒老师、家长加强监管教育,尤其是家长,不能让儿童买、玩激光笔。
叮当也提醒各位家长,别让孩子玩这害人东西!