其实牙神经只是牙髓的一部分,还有结缔组织、淋巴等,既然病变牙髓都取出了,说明已经根管治疗,来到第二步了,你中途不做,牙齿虽说不痛了,但根管还没消毒,大量细菌滋生,没办法根管充填,长期还会感染起根尖炎,甚至牙体脆性增加,容易劈裂。

为什么要坚持做完根管治疗?
1、根管到一半没继续复诊,风险很大,根尖会产生脓液,炎症恶化到牙槽骨,牙齿有浮起感,咬合的时候还会痛,当积累一定量,牙龈产生脓包,并且不断扩散,还会连累到邻牙,后期慢性炎症还会演变成囊肿。
2、没有牙髓营养支持,牙体颜色也会变暗,牙体会逐渐裂开,到时要想再根管都做不了,一旦裂到根部就无法治疗,到时还得拔掉,换成假牙得不偿失,你如果坚持做完根管,及时复诊,一个月内全部搞定,有牙套保护,使用寿命起码10年以上。

抽掉牙髓后正确做法是怎么样的?
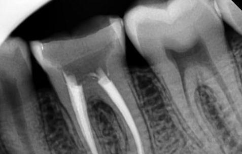
1、经过根管冲洗后,上药进行消毒,观察后没任何不适,就能钻开根管,扩大后预备完,就能到根管充填,将牙胶尖填满紧密,尽量避免超充欠充,但有些情况复杂,有的牙根弯曲,给根管带来一定难度,像这种要找经验丰富的医生处理。
2、这时根管结束,但牙体缺损还要再修复,超过一半牙体已经没了,要装个牙套,有条件建议二氧化锆全瓷牙,要是牙体量保留较多的,也可以嵌体修复,不用再磨牙,咀嚼效率比没根管完的牙体好很多。

对此,广大口腔医院综合治疗科专家建议:牙髓都取了,就要坚持做完根管治疗,保护好牙齿,才能使用更久。