儿童湿疹(特应性皮炎)是一种常见疾病。湿疹(特应性皮炎)患者通常有瘙痒皮疹、血IgE增高等。规范的保湿、皮肤外用激素抗炎等治疗后通常好转。但是,很少数的儿童病情严重,血IgE特别高,治疗反应不佳。这是怎么回事呢?

当常见病诊疗不满意时,可能需要想到罕见病
其实他们得的并非常见的湿疹。而是以IgE增高为主要特征的遗传性免疫缺陷综合征。它曾经被命名为“Job综合征”。这缘于《圣经》人物约伯的相关记述:“于是撒但就从耶和华面前退去,击打约伯,使他从脚掌到头顶都长满了毒疮”(约伯记,第2章第7节)。
后来发现本病伴有血清lgE水平升高,所以被命名为:高免疫球蛋白E-复发性感染综合征(hyperimmunoglobulin E, recurrent infection syndrome, HIES)。
目前认为,它是由Janus激酶-STAT信号通路(Janus activated kinase -signal transducer and activator of transcription, JAK-STAT)里的信号转导及转录激活蛋白3(signal transducer and activator of transcription 3, STAT3)存在缺陷。所以也可以命名为STAT3缺陷病。
STAT3缺陷病有三个主要临床征象:
1,反复的(寒冷)皮肤脓肿;
2,反复的肺炎及其他部位感染;
3,高IgE(常常≥正常上限10倍)

很少数的IgE增高是罕见病所致
一,高IgE综合征常见吗?
罕见疾病,确切的患病率不清楚。估计有10万之0.2~1。男女没有区别,非洲裔、亚裔及高加索族裔都有报道。
二,高IgE综合征的发病机制?
JAK-STAT通路的缺陷导致T辅助细胞(T helper cell, Th)17的分化和功能受损。但现在还不清楚具体是如何同时引起发生易感染倾向、皮肤病、骨骼疾病及免疫疾病。
血清中IgE水平升高很可能是疾病的伴发异常,而非发病机制的核心。目前认为该病患者的干扰素-γ的生成或调节缺陷促使IgE水平升高。
三,高IgE综合征的症状与体征
该病可以引起多系统病变:
1,皮肤:始于出生后的最初几周内,为丘疹脓疱性且常结痂的皮疹,始发于面部和头皮,并向躯干上部/肩部和臀部蔓延。该皮疹会进展为湿疹样、脓疱化且严重瘙痒的皮疹,类似于特应性皮炎。皮疹弥漫性分布,并可能产生苔藓样变。
脓疱等感染灶是「寒冷」样该病。一般的感染会引发局部皮肤温度增高,有温热感;但该类病人的皮肤感染灶的局部温度并不增高。
2,呼吸道感染:常有严重感染,但却不发热、感觉良好。
①慢性上气道感染伴持续和/或反复发作的鼻窦炎、化脓性中耳炎,以及乳突炎;
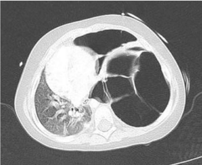
②肺部感染反复发作,并可危及生命;常并发支气管扩张、肺空洞/大泡、肺结节、支气管胸膜瘘等肺结构性病变。这种肺结构病变又易带来真菌、非结核性分枝杆菌等机会性感染。
3,易感染倾向:最常见金黄色葡萄球菌、白色假丝酵母菌、流感嗜血杆菌、A组和B组链球菌、革兰氏阴性病原体(如假单胞菌属)、其他真菌。
金黄色葡萄球菌:皮肤和肺部;
白色假丝酵母菌:口腔、阴道和指甲。
肺部最常见:金黄色葡萄球菌、流感嗜血杆菌;
4,特殊面容:很有意思的是,该病患者之间的面容相似度超过了患者与家人之间的相似度;
最具特征性的表现是鼻翼增宽(宽鼻底)和鼻梁增宽。其他特征包括额头突出(前额隆起)、眼外眦距离增大及眼深凹。在婴儿时期,即可以观察到突出的前额、下唇和宽阔的鼻子;
患者面部和耳鼻的软组织显著增厚,使皮肤外观呈面团质地,常被称为“粗陋面容”;该特征在80%-100%的患者中明显,并且随年龄增长而愈加突出;往往出生时没有,2-5岁时开始软组织增厚,在青春期后尤为突出;

粗陋面容,摘自参考2
5,骨骼异常:骨骼、牙齿异常,并出现生长发育迟滞;
①常见乳牙滞留,导致形成双排齿;
②骨质疏松,易发生轻微骨折;
③脊柱侧凸;可见关节过度伸展。
6,淋巴瘤风险增加。
7,神经系统异常:脑部病变,导致认知技能、视觉-感知技能、工作记忆等相对较差;
8,血管异常:有先天性异常、获得性异常。动脉瘤、假性动脉瘤和血管炎。冠状动脉的异常包括纡曲、扩张及局部动脉瘤。这可能带来严重并发症,甚至死亡。

血管异常可能导致猝死
四,高IgE综合征的实验室改变
最常见血清IgE水平升高和外周血嗜酸性粒细胞增多;
1,IgE:常处于1000U/mL~50000U/mL;但也有低于或高于者。血清IgE水平与疾病的严重程度无关。在婴儿期,患者的IgE水平可能极高。IgE的水平可能随着时间的推移保持稳定或下降,部分成年HIES患者的IgE水平可趋于正常。
2, 嗜酸性粒细胞计数:常在即将发生急性感染时升高。
3,其他:总IgG、IgM和IgA水平升高;补体正常;部分IgD增高等等。
五,高IgE综合征的诊断与鉴别诊断
导致血IgE增高的病因有很多。因此,需要通过症状、体征和实验室检测,最终明确为STAT3突变所致。患者的临床特征越符合,则越可能是STAT3突变相关:
- 典型面容
- 内部器官组织脓肿
- 严重感染
- 肺大泡
- 指(趾)甲和皮肤黏膜假丝酵母菌病
- 脊柱侧凸
- 骨折
医生在诊断时,需积极跟其他引起IgE增高的疾病鉴别。只有这样才能减少误诊和漏诊。
1,湿疹(特应性皮炎):都有剧烈瘙痒、IgE增高。但特应性皮炎更容易有食物过敏;而高IgE综合征则常见有机会性感染、易见严重感染、器官脓肿;且有特殊面容、脊柱侧凸、骨折。
2,胞质分裂作用因子8(Dedicator of Cytokinesis number 8 ,DOCK8 )缺陷:曾经有些医生把它归入高IgE综合征的另一类型。因为跟STAT3突变所致的临床特征很相似。如下临床特征可能有区别:
①DOCK8 缺陷者有肝损伤。且更常见恶性肿瘤、频繁上呼吸道感染、皮肤的病毒感染、更突出的嗜酸性粒细胞增多。它跟特应性皮炎很相似;且易有严重食物过敏。
②STAT3突变则更常见肺结构性病变、乳牙残存、微小创伤的骨折,相对不易有严重特应性皮炎、无严重食物过敏。且有其独有的:新生儿脓皮、特殊面容。
3,酪氨酸激酶2(Tyrosine kinase 2 gene ,TyK2)缺陷:TyK2是JAK激酶家族的成员。STAT3和TyK2的缺陷均导致Th17功能受损。因此TyK2缺陷也曾被归入高IgE综合征。但它似乎更少见,且临床特征也跟STAT3突变者有区别。TyK2缺陷也易有特应性皮炎,更常见皮肤的病毒感染。
4,葡萄糖磷酸变位酶3(Phosphoglucomutase 3,PGM3)缺陷:存在IgE升高、湿疹、反复呼吸道感染、肺炎、假丝酵母菌病和脓肿。它还带来骨髓衰竭、中性粒细胞数下降。但它没有特殊面容。
5,锌指纹341基因(ZNF341)异常:ZNF341基因编码了转录调节因子来调控STAT3表达。这是最新发现的引起高IgE的基因异常。其特征还不了解。
6,湿疹血小板减少伴免疫缺陷综合征(Wiskott-Aldrich syndrome, WAS):WAS患者有血小板减少、血小板体积减小并可能出现瘀斑。除此之外,脓肿在WAS患者中不常见、也不会有特殊面容。
7,严重联合免疫缺陷病:这是一大类疾病的组合。它们有易感染,也可以IgE增高;如行流式细胞术通常显示T细胞数量明显减少。

高IgE综合征病人更易有肺大泡、特殊面容、骨骼异常等,摘自参考1
六,高IgE综合征的治疗
目前并无高质量的前瞻性随机对照试验来支持我们的诊疗措施。更多是基于观察性数据和临床经验。
1,皮肤病:湿疹样皮炎的治疗与特应性皮炎的治疗相似。但不宜全身用激素、环孢素;皮肤外用钙调磷酸酶*制剂抑**及光照疗法。
2,预防性使用抗菌药物:预防性使用复方磺胺甲噁唑。它可有效预防皮肤葡萄球菌感染(包括脓肿)、鼻窦炎、中耳炎,还可能预防肺炎。这点跟跟慢性肉芽肿病患者相似。而预防性抗真菌方案可参看HIV患者。
3,感染的治疗:深部细菌性感染应采用全身性抗生素积极治疗,也可能需要外科手术引流,且临床医生应警惕发生骨髓炎。口服和外用抗真菌药物对慢性皮肤黏膜假丝酵母菌感染有效。
4,控制肺部并发症:大面积、持续的肺大泡可能需要采用肺段切除、甚至肺叶切除进行治疗。但该情况很少见。或许跟预防性抗菌治疗减少肺部并发症有关。
5,免疫调节治疗:重组人干扰素-γ治疗可能有益。但缺乏高质量的前瞻性随机对照试验支持。静脉用大量免疫球蛋白治疗的益处也不肯定,除非有免疫球蛋白或IgG亚型水平降低且对蛋白和/或多糖抗原的抗体反应下降。
6,针对骨骼的治疗:双磷酸盐可以改善骨密度,但尚不肯定是否减少骨折风险。补钙、维生素D也类似。
7,骨髓移植:可能改善患者的长期预后。但需要更高质量临床试验来协助判断。
七,生活上的注意事项
减少感染风险是关键。因此减少去有感染性疾病高风险地区、勤快洗手、保证洁净的食物、饮水等有益。能否从疫苗接种里获益?这还不清楚。但通常建议避免接种减毒活疫苗。
参考资料:
1,Primary Immunodeficiency Diseases :Definition, Diagnosis, and Management(第2版)
2,Uptodate临床顾问