金华的某A,今年已经80岁了,前些天检查发现右下肺部占位,让我会诊。我打开电脑一看图,发现右下肺是典型的实性分叶状的占位,基本可肯定肺癌,余肺仍有多处磨玻璃影及类似慢性炎的病灶,是不是合并炎症?还是多原发肺癌?鉴于其中叶肺门部混合磨玻璃结节边缘略显模糊,为了防止炎性病灶,让其进行了10天的静脉抗炎治疗,但复查靶扫描后发现病灶无任何吸收好转,靶扫描上把细节显示的更清楚了,反而更坚定了我判断其为肺癌的结论。对于这样年纪的多原发癌,我们该如何来进行临床思考呢?治疗该如何建议与决策?当然最后的结果要如实告知患方后,由他们自己决定。






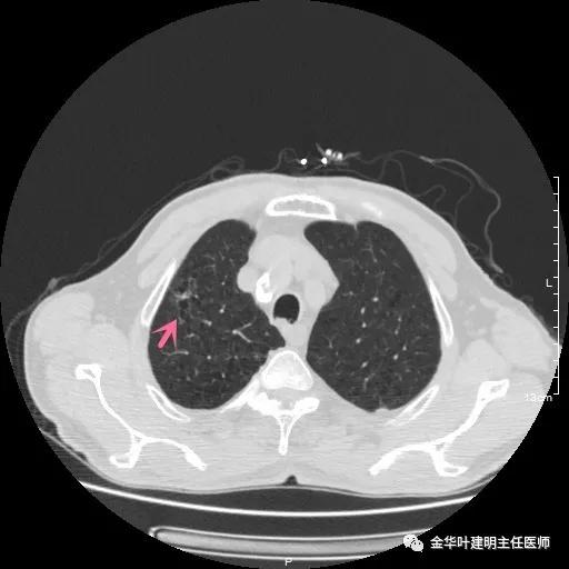
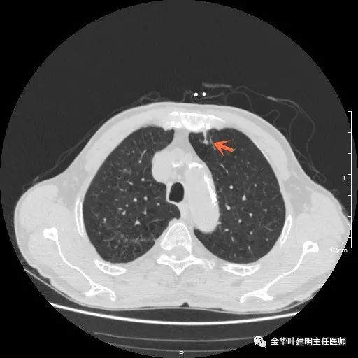
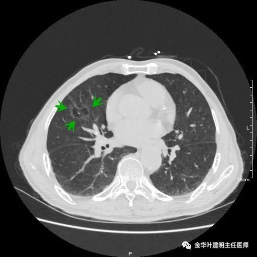
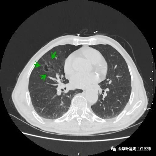
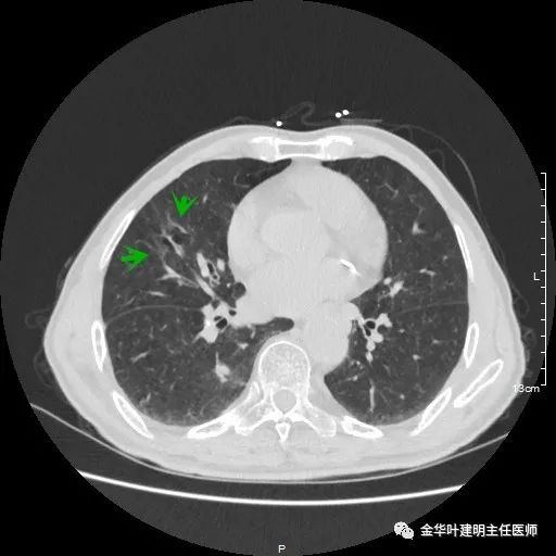
以上示右上病灶,我们称其病灶1。为囊腔型病灶,边缘为磨玻璃影,且轮廓清楚,局部有点状高密度,需考虑为囊腔型肺癌。单纯从单一病灶来看,这样的年纪可以随访或局部切除。







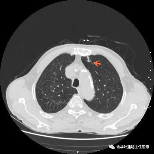
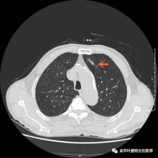
以上示左上叶病灶2。病灶虽然似慢性炎,但有收缩力,有毛刺征,在右侧诸多病灶考虑多原发肺癌的前提下,此灶是恶性的可能性非常大,不能单纯认为其是慢性炎性病灶。就此单灶来看,可以局部切除病检,若示浸润性腺癌,则有肺叶切除的指征。







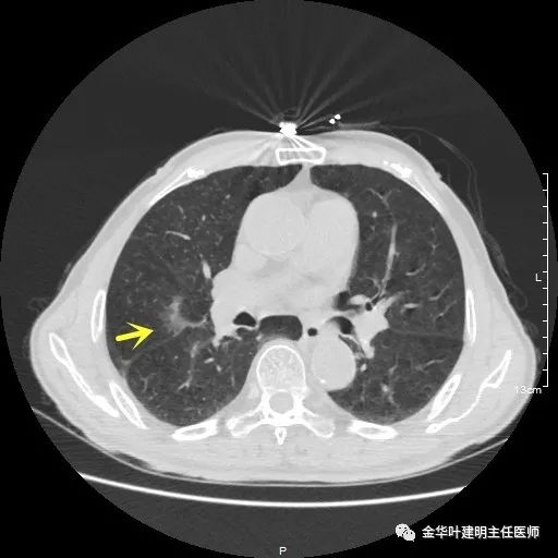
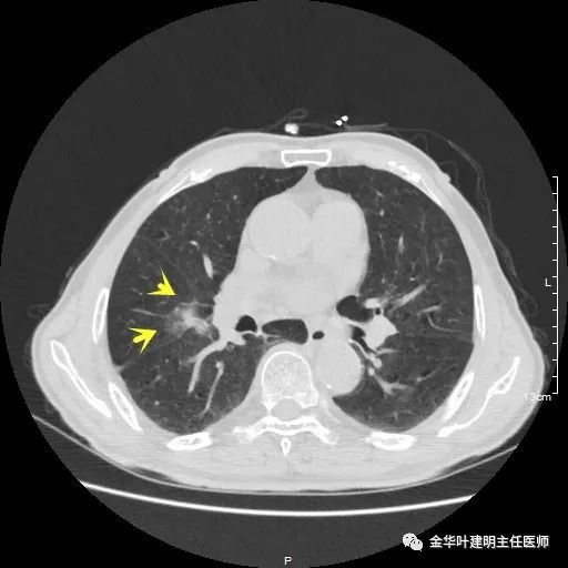
以上示右肺中叶病灶3。是混合磨玻璃结节,位置差,邻近肺门部,无法局部楔形切除,抗炎治疗后靶扫描显示了更清楚的细节,是典型的肺癌影像特征(此处未另提供)。从单病灶来看,需要行右肺中叶切除并清扫淋巴结才能得以治疗。











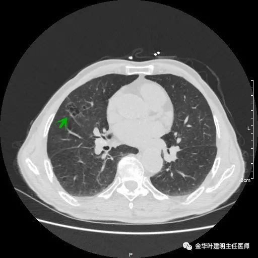
以上示右中叶病灶4。也是囊腔型病灶,病灶大,囊壁是磨玻璃密度,亦是较为典型的囊腔型肺癌影像。单病灶看,需中叶切除来治疗,因病灶3的存在,中叶切除可同时解决病灶3与病灶4。












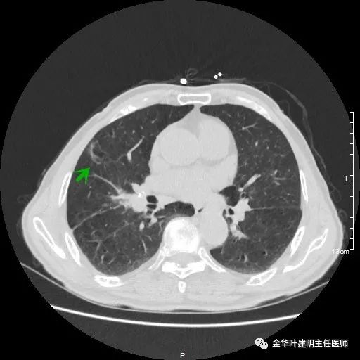
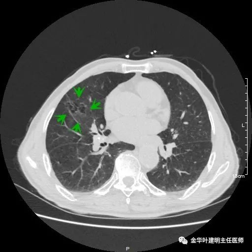
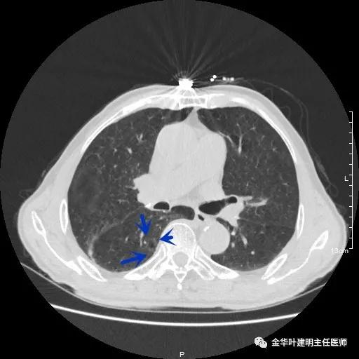
以上示右下叶病灶5。也是主病灶,是实性块状分叶的占位性病变,基本可以肯定是肺癌。单病灶看需下叶切除并清扫淋巴结。






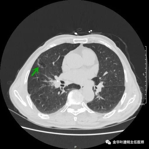
以上示右下叶病灶6。同样是囊腔型病灶,但较前几个范围小,可囊壁同样为磨玻璃影,也是较为典型的囊腔型肺癌表现,单灶来看可下叶背段切除。
如此多的病灶,这样的年纪该如何考虑?我们先来分一下:病灶3与病灶5是混合磨玻璃及实性病灶,不能继续观察等待,得干预;病灶1、病灶4与病灶6是囊腔型肺癌考虑,恶性程度低,可观察随访,若处理病灶3与5的话,能附带则要附带处理;病灶2在左侧,目前较小,而且在肺外周部位,若对右侧进行干预,则左侧先观察随访,下次可考虑局部楔形切除。
治疗有以下方案考虑:
1、年纪已经这么大,肿瘤又这么多,由它去吧,不予以西医治疗或手术,以服用中药、提高免疫力,增加营养支持等保守治疗;
2、肺穿刺取得病理依据,主要针对病灶5穿刺,送基因检测,若能靶向治疗则口服靶向治疗药物。若无靶向药则回方案1或进入方案3;
3、取得病理结果后化疗(多发癌,两侧,放疗显然不)合适;
4、局部治疗,包括冷冻、微波、SBRT等。但从多发病灶来说,而且囊腔型病灶有多个,似乎也不十分适合;
5、右肺中下叶切除+上叶楔形切除并清扫淋巴结,左侧二期楔形切除。此方案最彻底,但切除肺组织多,对肺功能影响大,对于一个80岁的老人来说,风险较大,也不是优选;
6、右肺中下叶切除并清扫淋巴结,左侧随访或二期楔切。这样右上叶不动它,肺功能影响相对小点,但仍留有病灶1在,长远来看仍不妥当,但囊腔型癌发展慢,真要等它长到影响生存,可能需要较长时间,此方案仍是可选的;
7、右中叶切除并清扫淋巴结,下叶行楔形切除,左侧随访或二期楔切。此方案对肺功能影响小,但缺点是右下主病灶只行楔切不放心,但纵隔淋巴结是同样清扫的,切中叶时,下叶支气管根部的淋巴结也可清扫,其实还是相当切的比较干净的,除非右下叶肺实质内有转移播散灶。仍有遗留病灶1,当然也可加上上叶的楔切,但从解决主要问题的角度出发,此方案兼顾肺功能及外科治疗效果;
8、右下叶切除并清扫淋巴结,右上与右中观察随访,左侧随访或二期楔切。这方案是不能选择的,因为中叶的混合磨玻璃不能观察随访,它也是会快速进展的,影响长期预后。
临床的病例千变万化,我们本着一心治病救人心,来全面通盘考虑各种可能的治疗方案,陈明利弊,做选择的还是患方。我推荐方案7,你呢?欢迎文末留言探讨。