引言
这个年轻女孩刚满22岁,可反复咳嗽咳痰的症状就已伴随她长达20余年,可以说自她婴儿期起,咳嗽咳痰就从未离开。曾被诊断为婴儿肺炎,先天性肺发育不全,事实果真如此吗?随着不断加重的病情,她的双肺出现间质性改变,支气管扩张合并感染,胸部CT呈现「树芽征」,左下肺可见粟粒样结节,是感染还是非感染所致?是癌变的迹象吗?「多发粟粒样结节」是否可以作为探究真相的线索?这一例病程漫长的咳嗽之谜最终是如何揭开谜底的?也许结果能让同道意想不到。
女孩自出生后即出现喘憋,伴咳嗽,咳白色黏液样痰,伴鼻塞……20年间反复发作,反复抗感染,症状始终不能明显缓解
患者是一名22岁的安徽淮南姑娘,尽管她很年轻,但漫长的咳嗽咳痰症状给她带来的痛苦,从她出生以后就一直像个噩梦般纠缠着她。患者自出生后就出现喘憋,伴咳嗽,咳白色黏液样痰,伴鼻塞,至安徽某医院就诊,被诊断为「婴儿肺炎,先天性肺发育不全」,予抗感染、抗病毒、平喘等治疗,但症状缓解不明显。但令她及她的亲人们万万没料到的是,在其后的20年间,她反复发作此类症状,反复抗感染后,症状始终不能明显缓解。一直到2009年1月开始,患者自觉咳嗽咳痰加重,咳黄色脓痰,每日量约100ml,无发热,无咯血,无呼吸困难等。至安徽某儿童医院就诊,完善纤支镜检查提示:支气管黏膜慢性炎症,肺泡灌洗液抗酸染色提示阴性,胸部CT提示:两肺间质性改变、支气管扩张,予地塞米松片抗炎后,症状仍然无明显改善。
2021年9月,患者来到我院胸外科就诊,完善胸部CT提示:双侧支气管扩张伴感染,肺泡灌洗液抗酸染色及T-SPOT均阴性。10月,以主诉「反复咳嗽咳痰20余年,加重12年」转至我科诊治。患者无特殊病史,否认结核病及密切接触史,无药物过敏史。个人史无特殊。未婚,家族史无特殊。
各项检查基本无异常,抗核抗体颗粒型,抗核抗体1:100阳性,抗组蛋白抗体AHA弱阳性,是结核性疾病吗?
患者入院后首先进行了体格检查和检验检查。体温36.5℃,心率88次/min,呼吸20次/min,血压120/70mmHg,SPO2 99%,双肺呼吸运动正常,触诊语颤对称,双肺叩诊清音,听诊双肺呼吸音减低,无胸膜摩擦音。心腹、神经系统查体均未见异常。双下肢无水肿,无杵状指。
血常规:WBC 13.4×10^9/L,RBC 5.27×10^12/L,Hb 156g/L,PLT 342×10^9/L,中性粒细胞计数10.45×10^9/L,中性粒细胞百分比78.0%,淋巴细胞百分比16.5%。
肝功能,肾功能,心肌酶,电解质均正常。
凝血功能:D-二聚体 1.20ug/ml。
输血前三项均阴性,肿瘤标志物均正常。
感染相关指标:CRP<0.5mg/L,PCT 0.026ng/ml,内毒素试验阴性,真菌D-葡聚糖阴性。
自身免疫指标:抗核抗体颗粒型,抗核抗体1:100阳性,抗组蛋白抗体AHA弱阳性。
结核相关指标:抗酸染色阴性,T-SPOT阴性。
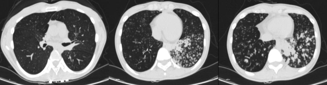
胸部CT(图1):双侧支气管扩张伴感染,结核性疾病不排外。
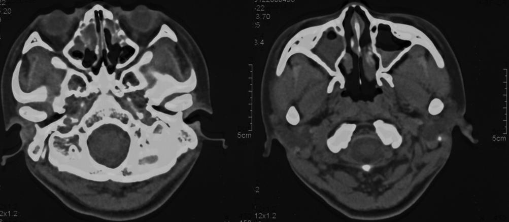
鼻窦CT(图2):双侧慢性上颌窦炎、双侧筛窦炎。
心脏超声:心脏大小、结构功能未见明显异常。
腹部超声:双肾结晶。
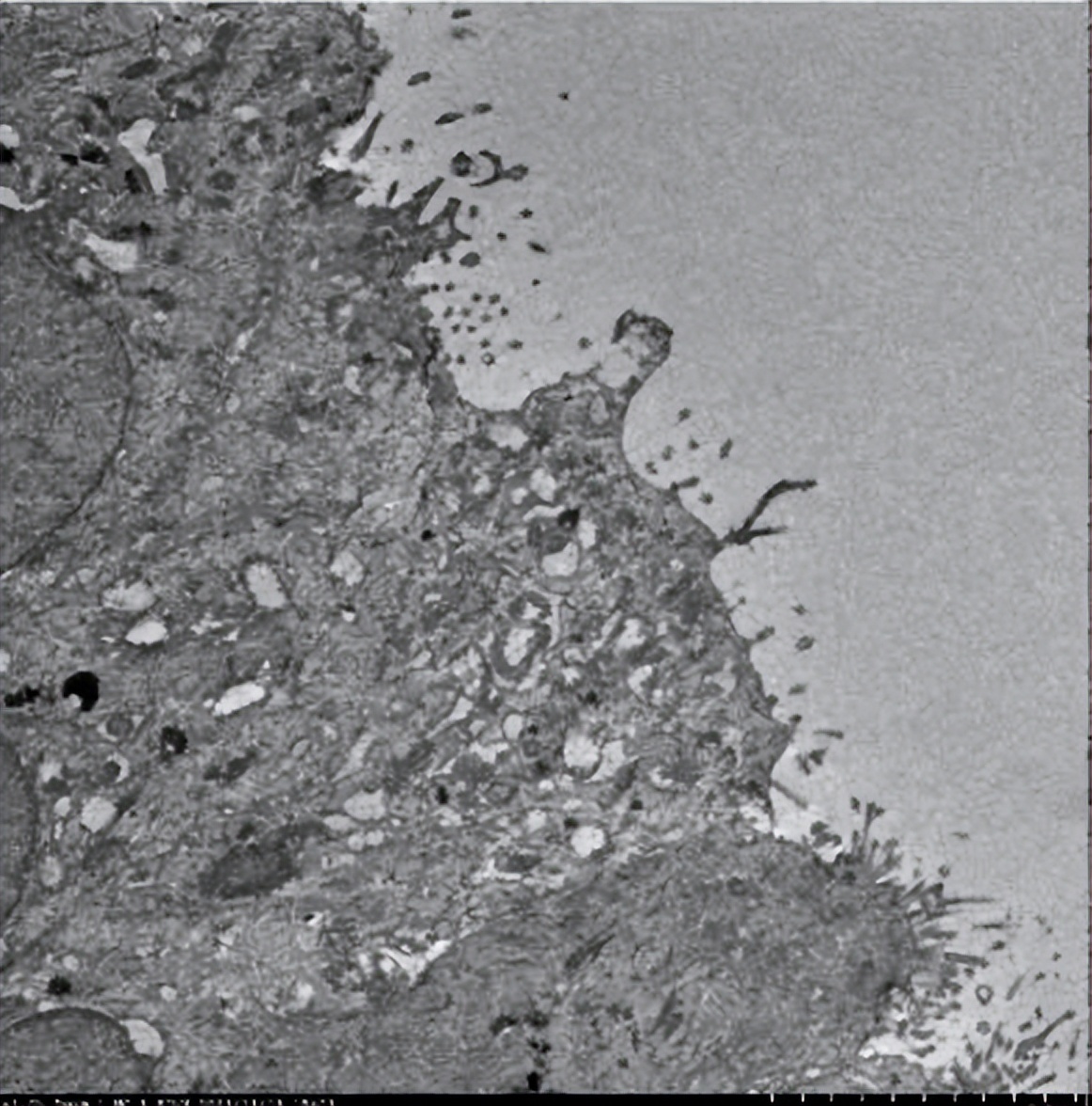
电镜(图3):部分上皮细胞纤毛少,有纤毛缺失、短小,未见动力臂(放大1000倍)。
支气管镜(图4):气管-支气管炎性改变。

图1.2021年9月胸部CT

图2.2021年12月鼻窦CT

图3.电镜示部分上皮细胞纤毛少,有纤毛缺失、短小,未见动力臂(放大1000倍)

图4.2021年10月支气管镜
肺内多发粟粒样小结节,反复抗感染、抗炎、抗病毒治疗均无明显改善,以胸部影像学特点为切入点进行分析
结合患者上述检查进行临床特点回顾:
1、症状:咳嗽、咳痰20余年,加重12年。
2、体征:体温正常,听诊双肺呼吸音减低,可闻及Velcro啰音。
3、辅助检查:①实验室检查:WBC、N%轻度升高,CRP、真菌D-葡聚糖、内毒素试验阴性;②抗酸染色和T-SPOT阴性;③胸部CT:支气管扩张合并感染,可见「树芽征」,左下肺可见粟粒样结节;鼻窦CT:双侧筛窦、上颌窦可见黏膜增厚、水肿,未见骨质破坏,右侧筛窦较左侧病变重;④支气管镜活检组织电镜:部分上皮细胞纤毛少,有纤毛缺失、短小,未见动力臂(放大1000倍)。
总结患者的病例特点: 青年女性,自婴儿期起反复出现咳嗽、咳痰,感染指标未见明显升高,肺内多发粟粒样小结节,反复抗感染、抗炎、抗病毒治疗,均无明显改善。此时诊断从何入手?团队认为应以多发粟粒样结节这一影像学特点为切入点进行分析。诊断思路线路图如下(图5):

图5. 诊断分析线路图
1、感染性疾病
(1)结核分枝杆菌感染
支持点:可以表现为慢性过程,临床症状有反复咳痰,胸部CT可以表现为粟粒样结节。
不支持点:患者无结核中毒症状,如长程午后低热、盗汗、消瘦、乏力。实验室检查抗酸染色阴性,T-SPOT阴性。不支持结核分枝杆菌感染的特点。
(2)新型隐球菌感染
支持点:临床症状有反复咳痰,胸部CT可以表现为粟粒样结节。
不支持点:缺少新型隐球菌感染的相关病原学依据。
2、非感染性疾病
(1)弥漫性泛细支气管炎: 是一类累及双肺呼吸性细支气管的慢性炎症性疾病,炎症通常可累及呼吸性细支气管全层。
支持点:本病患者合并有鼻窦炎,临床症状有反复咳痰,并且也符合白痰转变为黄脓痰的特点,同时有支气管扩张的表现。
(2)外源性过敏性肺泡炎: 是易感人群反复吸入各种具有抗原性的有机粉尘、低分子量化学物质,引起的一组弥漫性间质性肉芽肿性肺病。
支持点:本病患者有咳嗽,胸部CT表现有弥漫性粟粒样小结节影。
不支持点:患者并没有有机粉尘吸入病史。
(3)弥漫性细支气管肺泡癌: 单纯的细支气管肺泡癌被定义为沿着肺泡结构鳞片状扩散,没有基质、血管和胸膜侵犯的肺癌。弥漫性细支气管肺泡癌是肺腺癌的一个特殊亚型。
支持点:胸部CT表现为弥漫性粟粒性结节。
不支持点:肿瘤标志物均阴性,无肿瘤性疾病相关确切依据,暂不予考虑。
(4)原发性纤毛运动障碍: 属常染色体隐性遗传,是各种遗传性原发纤毛结构缺陷引起的纤毛功能异常,常见的是呼吸道纤毛功能异常,引起反复的呼吸道感染。
支持点:自婴儿时期反复出现呼吸道感染症状,抗感染无效。
(5)囊性纤维化: 该病是由位于第7对染色体CF基因突变引起的常染色体隐性遗传病。
支持点:呼吸系统症状可表现为反复支气管感染和气道阻塞,新生儿出生后数日内即可出现症状。本例患者正是于婴儿期开始出现症状。
不支持点:未有汗液中氯化物增高,全外显子基因检测未找见本病的致病基因,暂不予考虑。
(6)支扩: 由于支气管及其周围肺组织慢性化脓性炎症和纤维化,使支气管壁的肌肉和弹性组织破坏,导致支气管变形及持久扩张。
支持点:长期有咳嗽、咳痰症状,胸部CT可见支气管扩张、「树芽征」。
综合患者情况我团队高度怀疑疾病为原发性纤毛运动障碍,尝试通过全外显子测序检测某种致病基因
由于患者自出生时就反复出现呼吸道症状,但无发热等其他表现,也无感染指标、结核指标、肿瘤标志物、自身免疫相关指标的明显变化,抗感染治疗无效,因此,我们逐步排除了感染性疾病、肿瘤性疾病,高度怀疑为某种遗传性疾病所致——原发性纤毛运动障碍。
原发性纤毛运动障碍(PCD)是一种罕见的、由于纤毛超微结构及功能异常,从而导致纤毛运动、清除功能异常的疾病,是一种常染色体隐性遗传或X连锁相关的双等位基因突变的遗传性疾病[1]。在严重病例中,至少50%的患者在新生儿时期出现不明原因的呼吸窘迫,甚至需要机械通气。最常见的症状包括支气管扩张、内脏转位、不孕不育,这是一种独特的先天性综合征[2]。PCD的诊断有赖于多种诊断手段的综合运用,据报道,超过40种基因的突变导致原发性纤毛运动障碍[3-7]。
我们根据纤支镜活检组织电镜下呈现纤毛短小、动力臂消失的特点,拟诊为PCD,这也符合患者反复咳痰的临床表现。为了进一步验证,我们通过全外显子测序,尝试是否可以检测出某种致病基因。经测序,患者携带有CCNO致病基因c.303C>A杂合变异以及c.248_252dup杂合变异。最终,我们诊断为原发性纤毛运动障碍。
反复呼吸道感染是PCD最常见的临床症状,如果治疗不当,PCD肺病会逐渐发展,更好地控制症状有赖于尽早干预治疗。据报道,PCD常见的感染微生物是是流感嗜血杆菌和铜绿假单胞菌,也有肺炎链球菌、金黄色葡萄球菌和非结核分枝杆菌的报告[8]。大环内酯类药物的使用可以一定程度上改善PCD患者的呼吸道症状,从而改善预后,但尚不明确二者之间的确切机制。但从临床疗效上看,日本有研究对PCD患者使用大环内酯类药物,PCD患者呼吸道症状的改善,一定程度上得益于大环内酯类药物的免疫调节作用[9]。
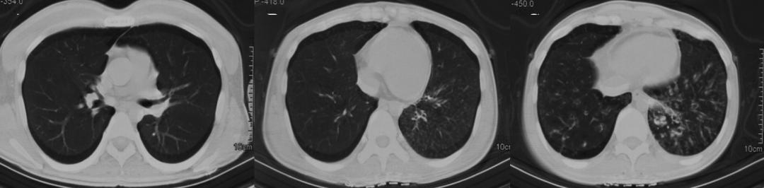
该患者雾化排痰及服用阿奇霉素2个月后复查,咳痰症状明显好转,咳痰次数和痰量减少,肺内病灶明显变淡变少(图6)。

图6.2022年1月胸部CT
这种疾病目前的诊断仍依赖于多种测试的组合,由于报道病例数有限,又集中在儿童群体,不少临床医生对它认识不深,可能导致漏诊
结果水落石出,患者最终确诊为原发性纤毛运动障碍。诊断依据如下:
1、症状:咳嗽、咳痰20余年,加重12年。
2、体征:听诊双肺呼吸音减低,可闻及Velcro啰音。
3、辅助检查:①胸部CT:支气管扩张合并感染,有典型的「树芽征」,并且在左下肺可见粟粒样结节;②鼻窦CT:双侧筛窦、上颌窦可见黏膜增厚、水肿,未见骨质破坏,右侧筛窦较左侧病变重;③支气管镜活检物电镜:部分上皮细胞纤毛少,有纤毛缺失、短小,未见动力臂(放大1000倍);④全外基因检测:CCNO基因c.303C>A杂合变异以及c.248_252dup杂合变异,根据ACMG致病性证据,该变异为无功能(LOF)变异,可能导致翻译产生的蛋白截断或降解。
尽管结果已经明了,但我们应该从这个病例中认识到,原发性纤毛运动障碍(PCD)是一种罕见的、由于纤毛超微结构及功能异常,从而导致纤毛运动、清除功能异常的疾病,它是一种常染色体隐性遗传或X连锁相关的双等位基因突变的遗传性疾病。CCNO被认为是一种细胞周期蛋白样蛋白,含有两个细胞周期蛋白盒折叠,预测其功能为可能参与细胞周期和转录控制的蛋白结合结构域。因为测序技术的快速发展,有学者在因气道清除不足而患有慢性破坏性肺病的患者中鉴定出隐性CCNO突变[10,11]。据报道,CCNO突变会导致慢性呼吸道疾病,从而导致呼吸功能逐渐丧失[10]。
而对于原发性纤毛运动障碍的诊断,目前我们仍依赖于多种测试的组合。由于报道病例数有限,又集中在儿童群体[12-15],使得不少临床医生对这一疾病认识不深,有可能导致漏诊。从这个案例中得到的经验和体会是,基因测序技术的快速发展开拓了基因领域的探究,对临床表型的认识也大有助益。由于PCD是一种罕见的诊断不足的疾病,虽然近年来对潜在的遗传学和疾病机制的理解有了实质性的进展,但仍然缺乏治疗的证据,需要我们进一步探讨。
参考文献
[1] I. Honoréa, P.-R. Burgel. Primary ciliary dyskinesia in adults. Revue des Maladies Respiratoires (2016) 33, 165—189
[2] Kartagener M. Zur pathogenese der bronchiectasien. I Mitteilung: bronchiectasien bei situs viscerum inversus. Betr Klin Tuberk 1933; 83:498-501.
[3] Wei Chen1,2, Changzhou Shao1, Yuanlin Song1, et al. Primary ciliary dyskinesia complicated with diffuse panbronchiolitis: a case report and literature review. Clin Respir J. 2014 Oct;8(4):425-30.
[4] Geremek M, Witt M. Primary ciliary dyskinesia: genes, candidate genes and chromosomal regions. J Appl Genet. 2004;45:347-61.
[5] Chodhari R, Mitchison HM, Meeks M. Cilia, primary ciliary dyskinesia and molecular genetics. Paediatr Respir Rev. 2004;5: 69-76.
[6] Blouin JL, Meeks M, Radhakrishna U. Primary ciliary dyskinesia: a genome-wide linkage analysis reveals extensive locus heterogeneity. Eur J Hum Genet. 2000;8: 109-18.
[7] Ana Raquel Henriques, Carolina Constant, Andreia Descalço MSc, et al. Primary ciliary dyskinesia due to CCNO mutations—A genotype‐phenotype correlation contribution. Pediatr Pulmonol. 2021 Aug;56(8):2776-2779.
[8] Bush A, Chodhari R, Collins N, et al. Primary ciliary dyskinesia: current state of the art. Arch Dis Child. 2007;92:1136-40.
[9] Kido T, Yatera K, Yamasaki K, et al. Two cases of primary ciliary dyskinesia with different responses to macrolide treatment. Intern Med. 2012;51:1093-8.
[10] Julia Wallmeier, Dalal A Al-Mutairi, Chun-Ting Chen , et al. Mutations in CCNO result in congenital mucociliary clearance disorder with reduced generation of multiple motile cilia. Nat Genet. 2014 Jun;46(6):646-51.
[11] Maja C Funk, Agata N Bera, Tabea Menchen, et al. Cyclin O (Ccno) functions during deuterosome- mediated centriole amplification of multiciliated cells. EMBO J. 2015 Apr 15;34(8):1078-89.
[12] Strippoli M-PF, Frischer T, Barbato A, et al. Management of primary ciliary dyskinesia in European children: recommen- dations and clinical practice. Eur Respir J 2012;39:1482-91.
[13] Barbato A, Frischer T, Kuehni CE, et al. Primary ciliary dysk- inesia: a consensus statement on diagnostic and treatment approaches in children. Eur Respir J 2009;34:1264-76.
[14] Strippoli M-PF, Frischer T, Barbato A, et al. Management of primary ciliary dyskinesia in European children: recommen- dations and clinical practice. Eur Respir J 2012;39:1482-91.
[15] Magnin ML, Cros P, Beydon N, et al. Longitudinal lung func- tion and structural changes in children with primary ciliary dyskinesia. Pediatr Pulmonol 2012;47:816-25.
专家介绍

唐昊
上海长征医院(海军军医大学第二附属医院)呼吸与危重症医学科主任,中华医学会呼吸病学分会 9/10届青委会委员,中国医师协会呼吸医师分会青年委员,上海市医学会呼吸病学分会委员兼哮喘学组副组长,上海市医学会变态反应分会委员,上海市医师协会呼吸医师分会委员,上海市优秀学术带头人,上海市曙光学者,上海市浦江人才,上海市青年科技启明星,上海市卫生系统“新优青”,主持国家自然科学基金4项,第一作者/通讯作者发表SCI论文20余篇,IF>10分3篇,累计影响因子95分。

黄海
上海长征医院(海军军医大学第二附属医院)呼吸与危重症医学科主任医师,全科医学科主任;上海市医学会呼吸病学专科分会第十一届委员会委员、中国医药教育协会肺部肿瘤专业委员会会青委会委员、中国医师协会呼吸病分会中青年工作委员会委员、上海市住院医师规范化培训结业综合考核考官。主持国家、*队军**、省部级课题6项,近年来发表SCI论文15篇,发表各类论文50余篇。参编《内科手册》、《内科学年鉴》等专著2部。

张云雁
上海长征医院(海军军医大学第二附属医院)医师、助教,参与多项国家自然科学基金及上海市、*队军**课题,发表多篇SCI、国内核心论文,参编多部专科著作。
本文完
采写编辑:冬雪凝;责编:Jerry