粉丝提问:髋关节发育不良出现疼痛,吃了布洛芬效果不佳,问黑锅还能吃什么药物来缓解疼痛?
黑锅评论圈回复有时候比较简单,常常以一个医生的角度去理解,有时候粉丝朋友们有可能听不太懂,或者不相信为什么一定要做这些个检查。

因此,写了这篇文章,给有相同问题的髋关节发育不良患者借鉴一下。
首先,髋关节发育不良又有一个名字,叫先天性髋关节发育不良,顾名思义,先天生下来就有了!
刚刚出生的小孩子,由于发育问题,可能会出现生理性的髋关节松弛及髋臼的不成熟,这都是正常的,大部分小孩子会持续几周后继续发育。但存在先天性髋关节发育不良的患儿却不是这样的。
随着年龄的增大,髋臼却不会跟着发育,还是保持那样。
这个病的临床特征取决于病人的年龄以及病变的严重程度。
小baby髋关节外展轻微受限,儿童步态不对称跛行,青少年出现活动后疼痛,成年人一般到30岁出现骨关节炎甚至股骨头坏死......(怀疑自己得了这个病,对照每个年龄段可能出现的症状,可以到医院做相关检查早期发现早期治疗)
越早查出这个病,治疗相对来说越简单、有效,结局也更好。【1,2】
一、做什么检查去确诊这个病?
1、超声
适用于评估婴儿,一般是6个月以下婴儿的重要辅助检查【3-5】,国内有一些儿童医院是1岁以内都可以做儿童的髋关节多普勒超声检查,大部分要求是半岁以内。
具体怎么看,如果你不是超声科医生,还是不要去学习了,复杂的要死,看看下面图就知道了。

2、X线
主要用于评估6个月大以上的患者【3-5】。
这是因为6个月以下的小孩,髋臼和股骨头都还是软骨,没有完全变成骨头,做X线看不清楚,还有辐射,做了基本浪费。除非是考虑可能存在其他疾病的时候,可以用于半岁以下儿童。
如何看出来有脱位,看下面这张图左右一对比就知道了!更高层次的说了也不懂,略!

其他检查还有一些,但以上两个检查最常用!
二、患者应该如何治疗?
网络上的咨询,有一点最头痛的就是,他们往往一上来就问,有过的治疗和做过的检查都不说!
结合黑锅后台分析,粉丝患者年龄段大概集中在30-40岁。
对于这个年龄段的髋关节发育不良患者,如果没有经过早期的处理,由于长时间的髋臼变浅,股骨头半脱位或者脱位,下肢的负重力线受到改变,股骨头不均匀的压力,常常会导致患者出现股骨头坏死,坏死后股骨头内部压力增高,使坏死加重,形成恶性循环,出现疼痛......最后股骨头随着负重被压塌,做关节置换......
以上是大部分早期没经过处理患者的转归,临床上出现疼痛症状的患者一般也在30岁左右。
所以重点来了:
对于这个病人,第一步要做的就是到医院去拍一个骨盆的正位X线片,如下图。

假设这个图就是这名患者的骨盆正位片,是可以看到右边的股骨头半脱位的,如果存在明显的股骨头坏死或者股骨头直接塌掉了的话,X线上也可以看出来。
如果骨盆正位片X线上股骨头直接变塌了,不圆了,如下图所示的话,那就没其他办法了,直接做髋关节置换手术吧!(来张夸张一点的图,谁都看得清楚啦!)

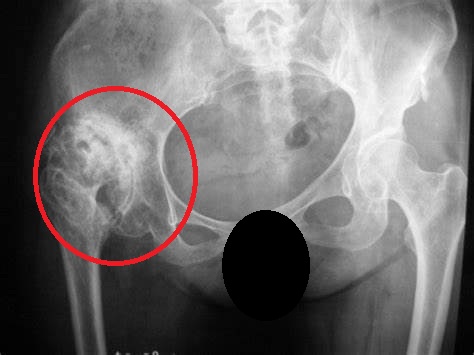
如果头还是圆的,但是股骨头里面可以看到坏死灶的话(如下图),那么这种病人可以尝试保髋手术。

目前来说保髋手术众多,但确切能减轻缓解疼痛症状的无非于股骨头钻孔减压手术了,这个手术通过小切口(相比髋关节置换来说)打钉到患者的股骨头坏死的病灶处,将股骨头局部增加的压力通过钉道释放出来,术后患者疼痛常常可以好转。
但请记住一点,钻孔减压的手术,仅仅适用于股骨头形态良好,用于延缓关节置换年限的手术,后期股骨头坏死也可能进一步加重,导致股骨头变扁塌陷需要置换的,但能延缓一年是一年咯!
如果骨盆正位X线片上没有看到股骨头塌陷,也没有看到坏死灶,那并不能排除是否存在股骨头坏死早期的情况,髋关节的磁共振检查(MRI)可能必须做一个。
对于早期的股骨头坏死,X线片的检出率没有磁共振检查高,临床很多病人X线片看着没事,但磁共振一做就能看到微小的股骨头坏死病灶。
对于这种病人,一般建议避免长时间行走及站立,适当行高压氧舱治疗,适当补充骨量,避免坏死加重!

三、参考文献
1、Weinstein SL, Mubarak SJ, Wenger DR. Developmental hip dysplasia and dislocation: Part II. Instr Course Lect 2004; 53:531.
2、Shaw BA, Segal LS, SECTION ON ORTHOPAEDICS. Evaluation and Referral for Developmental Dysplasia of the Hip in Infants. Pediatrics 2016; 138.
3、Lehmann HP, Hinton R, Morello P, Santoli J. Developmental dysplasia of the hip practice guideline: technical report. Committee on Quality Improvement, and Subcommittee on Developmental Dysplasia of the Hip. Pediatrics 2000; 105:E57.
4、Elbourne D, Dezateux C, Arthur R, et al. Ultrasonography in the diagnosis and management of developmental hip dysplasia (UK Hip Trial): clinical and economic results of a multicentre randomised controlled trial. Lancet 2002; 360:2009.
5、American College of Radiology. ACR Appropriateness Criteria. Developmental dylsplasia of the hip--child. www.acr.org/Quality-Safety/Appropriateness-Criteria (Accessed on August 21, 2012).
关于今天的话题,你有什么意见或者建议?欢迎在评论区留言~如果还有什么其他想了解的话题,也可以告诉我们。写文不易,快快收藏转发给需要的那个TA吧!(图片来源于网络,如有侵权请联系删除)#小黑锅说科普# #预习你的60岁# #清风计划#