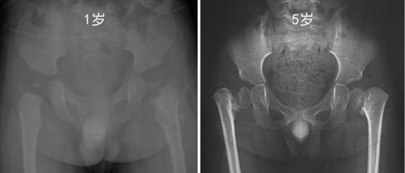
前几天,诊室里来了个5岁小男孩,父母介绍从孩子1岁开始就发现孩子走路摇摇晃晃的,带到当地医院去拍片,报告说没事,也就放心了,以为等孩子长大一些会好的,因为孩子没说疼痛不舒服,也就没在意。随着孩子越来越大,这种情况越来越明显,父母开始担心了,就带着孩子去医院再次就医,又给孩子做了骨盆正位X线片,这次报告提示孩子股骨颈干角小于正常范围,股骨颈干骺端与股骨头骺间明显增宽、碎裂的透亮带区域,股骨颈内下方还有不规则骨化,这个是儿童髋内翻的症状!!经验不足的话,容易误诊为股骨颈骨折不愈合或慢性股骨头骺滑脱。

什么是髋内翻
髋内翻是由于孩子原发性软骨缺陷的发育性疾病。通过拍X片,我们可以看到我们的骨颈干角降低、股骨颈短缩、大转子相对的过度生长及患侧肢体短缩。这种表现在孩子出生时,表现并不明显,在孩子学会站立行走后,才逐渐表现出来。
这种疾病,具体病因暂时无法确定,可能是因为股骨颈内侧软骨钙化导致的原发性缺陷,使得股骨颈内侧支撑减弱,在肌肉牵拉和体重压力下,相对薄弱的股骨颈会出现进行性内翻成角畸形,而股骨头骺会经股骨颈的薄弱区向下滑移。也可以是因为外伤引起,也可能和内分泌与家族遗传有关。

发生髋内翻的原因
髋内翻疾病大致有以下三种情况:
1.获得性髋内翻,创伤、感染和骨病导致宝宝股骨近端内翻变形;
2.先天性股骨缺陷型髋内翻,合并先天的股骨短缩或缺损;
3. 发育性或先天性髋内翻,多合并骨软骨发育不良
发育性髋内翻要和获得性髋内翻进行区分,如果患儿身材矮小,应该要及时到医院检查,是否存在骨发育不良,一般来说表现为颅锁骨发育不全造成的锁骨和耻骨支的内侧部分缺陷,干骺端发育不全导致的广泛骺板增宽及成角畸形。

如何治疗
先天性髋内翻患者在股骨头与股骨颈干之间存在着非生理性的剪应力与变应力,原则上应在儿童成长期减少弯曲应力使至达到正常或接近正常,变股骨头与颈之间剪应力为生理性的压应力。
对于轻度髋内翻可采用非手术治疗,而颈干角小于100°时多需手术矫形,增加颈干角,恢复其正常的生理压应力,消除剪应力。手术为粗隆下外展截骨矫形术,把原来垂直的骨骺线,变成水平骨骺线。由于截骨方式及固定方法不同,手术术式有多种,这里就不一一介绍。具体需要到相关医院检查后医生根据诊断采取最佳手术方案!
日常生活中父母要多观察自家孩子的相关行为,发现不对劲就要及时检查
本病最突出的表现是日益加重的跛行。婴儿时症状不明显。早期以髋痛为主,之后患肢无力,易疲劳,行走时身体摇晃,跛行。站立时,患肢呈外旋及轻度内收位,骨盆斜向患侧,脊柱出现侧凸畸形,在腰段凸向患侧,在胸腰段凸向健侧。
祝平安健康(图片来源网络如有侵权联系马上删除)