在临床实践中,影像学表现常常可遇见脑囊肿及囊肿样占位,因此,对其准确的识别及早期的诊断有助于提高患者的预后。本君今日小结18大脑囊肿或囊肿样占位性疾病,以飨大家:
1.
脉络丛囊肿

2.
VR间隙扩大



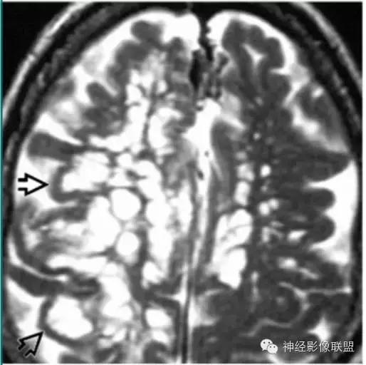
3.
室管膜囊肿

4.
神经胶质囊肿


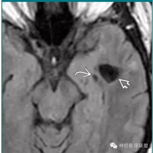
5.
松果体囊肿


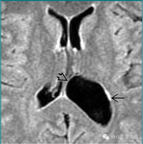
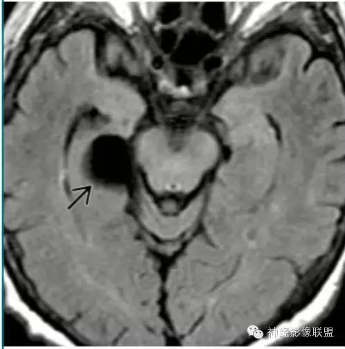
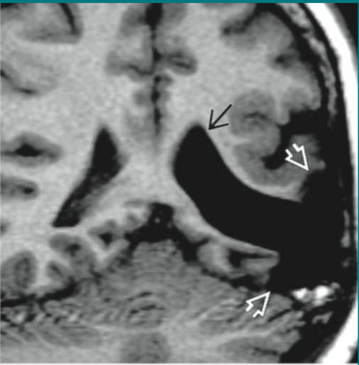
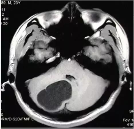
6.
蛛网膜囊肿


7.
胶样囊肿

8.
表皮样囊肿


9.
皮样囊肿破裂

10.
神经肠源性囊肿

11.
Rathke裂囊肿

12.
脑穿通畸形囊肿

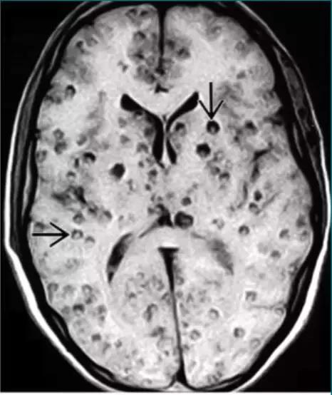
13.
神经脑囊虫病

14.
脑包虫囊肿

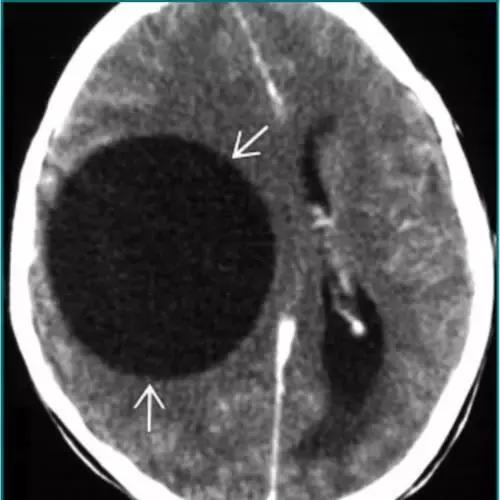
15.
阿米巴脓肿


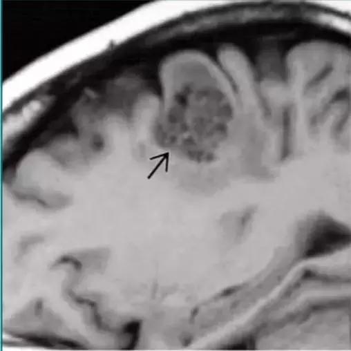
16.
肿瘤相关良性囊肿


17.
囊性转移



18.
VHL


注:
匆忙之中整理了18大脑囊肿疾病,而很多疾病没有概括进去,感谢Beauty84的文献及神经影像联盟的公众号平台;如大家有新的补充,可公众号留言或直接联系我共同进步,感激不尽。
参考文献:
Oprişan, A. & Popescu, B. O. Intracranial Cysts: An Imagery Diagnostic Challenge. The Scientific World Journal 2013, 1–9 (2013).
Osborn, A. G. & Preece, M. T. Intracranial Cysts: Radiologic-Pathologic Correlation and Imaging Approach 1. Radiology 239, 650–664 (2006).
来源:神经影像联盟首发
【版权声明】本平台属公益学习平台,转载系出于传递更多学习信息之目的,且已标明作者和出处,如不希望被传播的老师可与我们联系删除