一中年女性,突然左下腹痛,一开始以为是吃的不好,结果跑了几趟厕所,也不管事。就来了医院,做B超,怀疑左下腹肠子有肿瘤。
主管医师一听,先收入院吧,先做CT检查,并预约了结肠镜检查,病人的家人也看这架势,很紧张,难道真的是癌吗?

CT图像出来了,早上读片的时候,年轻的住院医认为B超考虑结肠肿瘤,CT上叶看到局部肠壁厚,因此也考虑为癌可能很大!
放射科的早读片,是日常医疗活动的一种类型,由年轻医师开始读片,然后逐级发言,大家讨论,属于科内的会诊活动,通过这个,可以很好的促进学习,提高业务能力。
但其实,同样的CT,在老大夫眼里,完全就是另外一回事,首先把癌的可能排除了。
有的读者可能会说,B超都报了肿瘤了,为何你敢先除外癌呢?

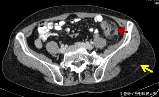
红箭为病变,黄箭为皮下脂肪
原因是CT片子上的各种征象提示这不是癌,另外,B超和CT很多时候意见是完全相左的,这很正常。
经过讲解,大家明白了,这是一种国内不太常见的急腹症,叫肠脂垂炎。
什么叫肠脂垂?
其为沿结肠带两侧分布的许多小突起,由浆膜及其所包含的脂肪组织形成,这个结构是有血供的,里面也有小的血管存在。

原发性肠脂垂炎,顾名思义就是肠脂垂发炎,但其实并非感染,而多数是脂肪梗死引起的。是急性腹痛的一种不常见的良性自限性疾病,其早期临床表现似外科急腹症。这个病被认为与肥胖者有关,因为肥胖的人体重增加,结肠脂肪垂也会跟着变大变重,因为结肠脂肪垂变大变重和内部脂肪增多,末端游动度大,在静脉发生栓塞时易于旋转、扭绞和拉长,易发生出血坏死而引发周围炎,因此,最为多见的发病位置为乙状结肠,盲肠其次,相对较少的发生于其他结肠。本病是一种自限性疾病,多数情况下无需治疗即可痊愈。
这个病CT是最好的检查方法,有一定的特异性。从CT上可以看出来,病变位于肠脂垂区,主要是脂肪密度增高,边界不清楚,仔细分辨,其实局部肠壁是没有病变的。另外,可以看出病人的皮下脂肪很厚,病人很胖!
这个病人后来做了肠镜,结肠镜显示完全正常。很好理解,因为病变部位位于肠脂垂,局部的肠壁并没病变。
那为何B超怀疑是肿瘤呢?
当肠脂垂发生炎症的时候,正常的脂肪回声发生了变化,看起来就像肿块,由于紧紧挨着局部肠壁,加上肠脂垂炎在国内比较少见,在B超上不好区分。另外,结肠肿瘤近年来发生率越来越高,因此B超往这方面考虑也是应该的。