
顽固性恶心呕吐是消化科常见问题,其原因众多,从胃肠道感染到全身性疾病都可以引起,而有一种疾病常常被大家忽略——视神经脊髓炎(NMO)。
作者:齐鲁医院 王晓
来源:医学界消化频道
视神经脊髓炎是一种自身免疫性疾病,自身抗体主要靶点为水通道蛋白4(AQP4),视神经与脊髓同时或相继受累的急性或亚急性脱髓鞘病变,进而导致视力受损和脊髓功能障碍。典型的视神经脊髓炎主要表现为单眼或双眼的突然失明,并再接下来的几天或几周内出现不同程度的四肢瘫痪症状。绝大多数患者视神经受累和横断性脊髓损伤的间隔时间较长,可达数年,但是也有进展迅速的病例报导。
恶心呕吐以及顽固性呃逆在视神经脊髓炎患者中较少见,而以恶心和呕吐为首发症状更是十分罕见,极易导致漏诊和误诊,需要引起临床的重视。
由视神经脊髓炎导致恶心和呕吐有什么特点?
典型的视神经脊髓炎呃逆和呕吐的症状多发生于视力受损以及四肢瘫痪之后,一般认为是病变累及脑干时的表现;临床表现为顽固性的恶心和呕吐,常规止吐治疗效果不好,而激素治疗有效,在呃逆和呕吐之后有可能出现视神经和脊髓受累的表现。
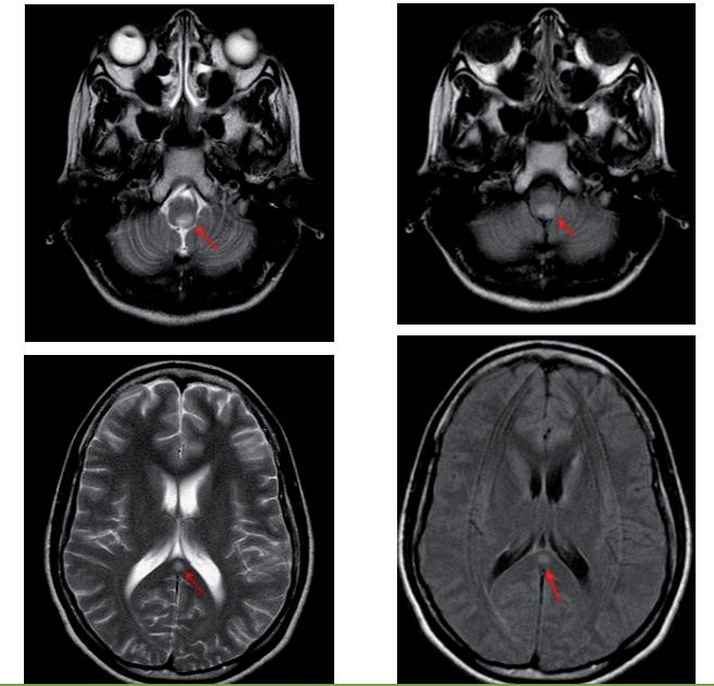
哪些检查有助于发现视神经脊髓炎?
(1)临床上诊断由视神经脊髓炎主要靠核磁共振检查
视神经脊髓炎病灶在Tl上常为等或稍低信号,T2及常表现为高信号。特征性病灶位于下丘脑、丘脑、三脑室、导水管、桥脑被盖及四脑室周围。神经脊髓磁共振成像通常显示多个脊髓节段受累,急性期常见脊髓肿胀和明显实质性、环形或线性强化;相对严重的病例可出现髓内多个节段的空腔样坏死灶,更为严重者颈髓病变累及低位延髓,疾病晚期可出现脊髓萎缩。

T2及FLAIR序列延髓背侧和胼胝体压部病变区高信号


(2)除了磁共振外还有一些检查也可为诊断提供线索
1)胃镜检查常为阴性结果
2)无肠梗阻的典型临床表现
3)脑脊液检查 急性期脑脊液中性粒细胞和嗜酸性粒细胞增多较常见,约13-35%患者细胞数大于 50/mm3。46-75%患者脑脊液蛋白升高。小于30%的NMO患者脑脊液寡克隆区带可阳性。
4)血清 NMO-IgGNMO-IgG是NMO的免疫标志物,是鉴别NMO与MS的重要参考依据之一,需反复检测。此外,NMO 患者 NMO-IgG 强阳性其复发可能性较大,其滴定度有可能作为复发与治疗疗效的评价指标。实验方法不同阳性率不同,NMO患者血清 NMO-IgG阳性率大约50-75%。最敏感的方法是细胞转染免疫荧光法。
5)血清自身抗体约 40-60%的 NMO 患者可伴有其他自身免疫疾病抗体阳性。如抗核抗体、抗 SSA/SSB抗体、抗心磷脂抗体,甲状腺相关抗体,乙酰胆碱受体抗体等。
确诊之后的治疗过程中,应用的许多药物会有胃肠道不良反应,应予以重视,避免造成更严重的后果。
参考文献:
1.Neuromyelitis Optica: An Often Forgotten Cause of Intractable Nausea and Vomiting
Chijioke Enweluzo Pradeep Yarra
Section on Hospital Medicine, Department of Internal Medicine, Wake Forest School ofMedicine, Winston Salem, N.C., USA
2.A Case Study of Intractable Vomiting with Final Diagnosis of Neuromyelitis Optica Rachel Bramson and Angela Hairrell
College of Medicine, Texas A&M Health Science Center College of Medicine, Bryan, TX 77807, USA 2 Family Medicine, Scott and White University Clinic, College Station, TX 77845, USA
3.视神经脊髓炎脑部病灶的影像学特征及临床表现 陈道文 徐俊 刘文 王凌玲 狄晴
欢迎投稿到小编邮箱:liushiyi@yxj.org.cn 来稿邮件主题为:【投稿】医院+科室+姓名
小编微信:choudan110