【基本信息】女、3岁。
【疾病类型】介入治疗后下肢动脉血栓
【治疗医院】首都儿科研究所附属儿童医院(三甲医院)
【治疗方案】介入治疗
【治疗效果】治愈。
【推荐理由】下肢动脉血栓形成后危害极大,甚至截肢,介入溶栓治疗效果显著,本患儿为典型案例,有较好的参考意义。

初识患者
患儿3岁,因心律失常、心动过速,行介入射频消融治疗后,导致下肢股动脉血栓形成。找到申刚主任的时候,双下肢皮温减低,右下肢足背动脉搏动减弱,超声提示股动脉血栓形成。我带领介入血管瘤科儿童微创介入团队急诊给予孩子动脉溶栓联合血管扩张治疗。
治疗过程
我看到患儿后,告诉家长不用担心,动脉血栓我们团队也是可以治好的。随后急诊,在介入手术室,全麻下给孩子做了动脉造影,明确血管狭窄情况,及血栓形成情况。继而,在导丝、导管的引导下,行动脉溶栓,球囊扩张。治疗后,血管立刻开通。家人十分感激,表示一定要感谢我们介入血管瘤科为孩子保住了双腿。

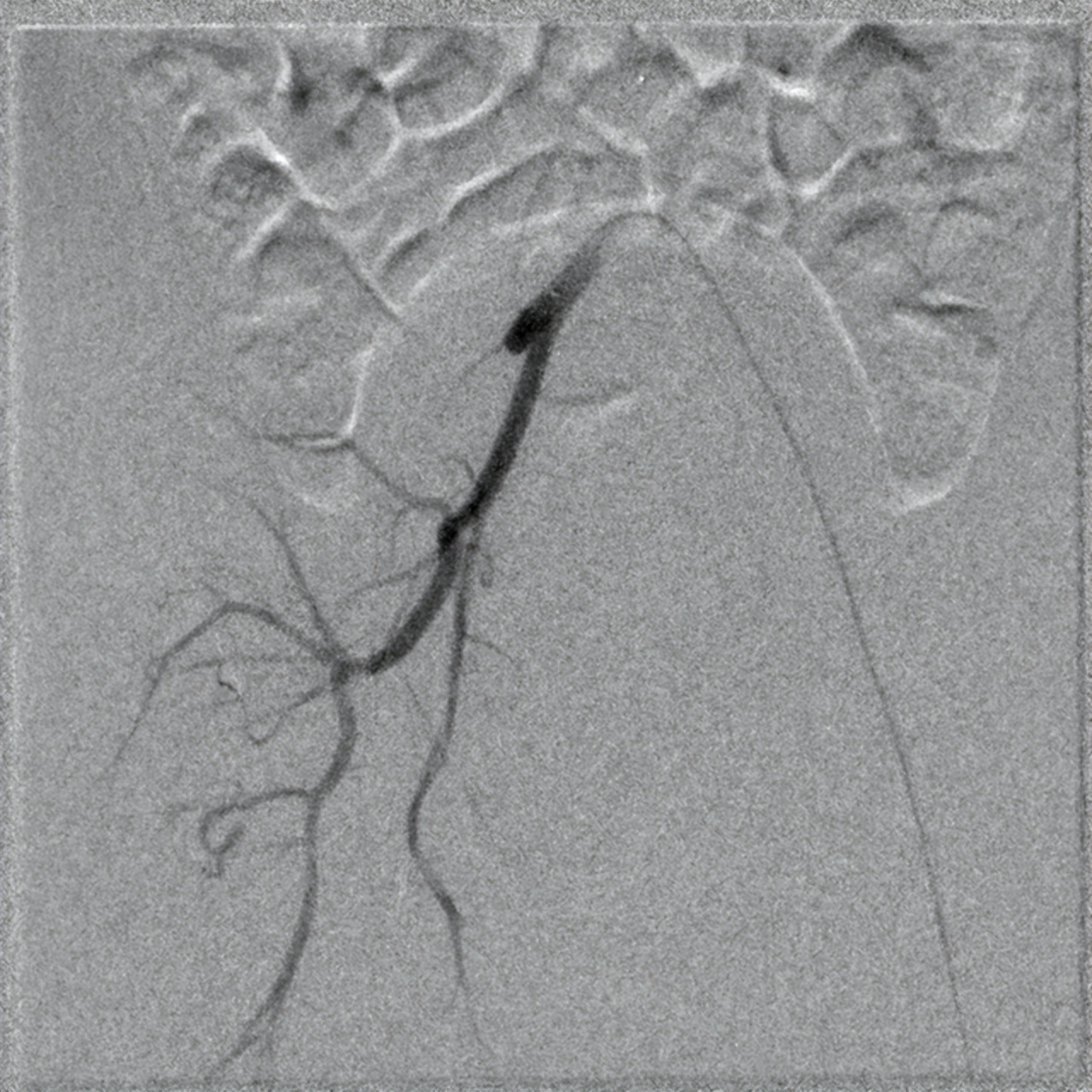
术前造影右下肢髂动脉动脉闭塞、血栓形成
治疗效果
通过半年随访,孩子双下肢血管通畅,未发现任何继发异常。效果显著!

术后右下肢股动脉通畅
医生感悟
下肢动脉血栓闭塞是指下肢动脉的血流不通畅或堵塞。当人们患下肢动脉血栓闭塞症时,会给他们的健康和日常生活工作带来很大的麻烦。因此,我们应该及时了解什么是下肢动脉闭塞性疾病,以便尽快发现和治疗它。
下肢动脉患者的身体不如健康人,在下肢动脉血栓闭塞症等疾病发病的早期,患者不能很好地控制自己的行为,严重影响其健康。随着疾病的发展,下肢动脉血栓闭塞会导致人体肢体疼痛,严重缺乏肢体血液供应,出现肢体麻木,肢体断裂的异常感觉。

虽然该病伴有下肢疼痛,但很少引起大动脉闭塞。下肢动脉血栓闭塞症患者的血液粘度通常较高。为了提高血流速度,人们可以服用降纤酶药物。下肢动脉血栓闭塞症患者通常感觉下肢寒冷,腿部肌肉麻木和痉挛,通常称为痉挛。由于这些早期病变不典型,容易与其他疾病混淆。
随着疾病的发展,患者在行走后会因肌肉耗氧量增加而被迫停止运动,但血液供应不足,从而导致缺氧和痉挛性疼痛。短暂休息后,血液供应将通过侧支循环逐渐恢复,疼痛将得到缓解。更重要的是,患者在不运动时仍然血液供应不足,疼痛,尤其是在夜间睡觉时,会加重下肢疼痛,并且在下垂或轻微活动后疼痛可以缓解,这些症状应及时治疗。