经常说「眼睛是心灵之窗」,也是人衰老的开始。预防眼周边的细纹,从护肤开始。大家做好笔记啦,记得收藏~
1、眼部的脂肪粒是怎样产生的呢?
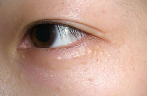
脂肪粒是一种长在皮肤上的白色小疙瘩,约针头般大小,看起来像是一小颗白芝麻,一般发生在脸上,特别是女性的眼睛周围。

来自网络,侵删
知识点1、体内因素:脸上出现油脂粒很可能是因为近期内身体内分泌有些失调,致使面部油脂分泌过多,同时皮肤又没有彻底清洁干净,导致毛孔阻塞,就会出现一颗颗脂肪粒;
知识点2、外在因素:另外一个原因可能就是使用的护肤品过于油腻,这也是比较常见的原因。
眼睛周围是全身最薄的皮肤呐,所以特别容易缺水、干燥、疲劳,所以比其他地方更容易有皱纹极易容易形成脂肪粒。

平时注意保养好皮肤:
又有脂肪粒,所以建议用眼部嘟喱产品,成分中有绿茶精华,透明质酸等成分的。它可以防止眼部油脂粒的形成。也可以使用敷眼水,这种做法可以消除黑眼圈、浮肿、疲劳。具体方法是:
1、卸妆及清洁完眼部后,用敷眼棉沾湿敷眼约10分钟。
2、用无名指蘸取适量的眼部嘟喱,沿眼部肌肉文理轻轻按摩,以指尖围绕眼周轻轻弹按直至完全吸收。
3、使用眼部护理精油,因为它含有促脂细胞因子,可以通过皮肤的快速渗透,消除多余的脂肪来消除眼袋。

——————分割线————
2、你的眼霜都「擦」对了吗?这些错误的方法会让你细纹更多。
知识点:每天眨眼近一万次,每一次眨眼就牵动22条肌肉的大量眼部动作。
大错特错一:用食指、中指、小拇指轻拍?
都不对,最正确的要使用「无名指」!原因是无名指是我们五指最无力的一指,这样也会有最轻柔的效果,避免拉扯眼周肌肤,毕竟眼周肌肤比其余肌肤来的脆弱、细薄。不仅是涂抹眼霜要用无名指,假如你要用手指上眼影的话,最好也是用无名指。
注意哦:用无名指轻点上眼霜,由内到外轻点、轻拍。
大错特错二:「擦」上眼霜?
第一点提到眼周肌肤的脆弱,因此用无名指来沾取眼霜,但是我们常常用「擦」这个动词来提及眼霜使用步骤,让不少人以为,「擦上粉底」和「擦上眼霜」两个「擦」力道是相同的,千万要记住,眼周肌肤不比脸颊,除了使用无名指,更要用「拍」与「点」来涂抹眼霜,同时此手法能让肌肤更容易吸收。
注意哦:轻点、轻拍、轻压,不是「擦」。
大错特错三:多按摩、消浮肿?
很多人点上眼霜后,接着会轻压眼周按摩,借此消除浮肿,增加血液循环,原则上是没错,以无名指,用眼霜带来的滋润度,轻轻由眼头轻压至眼尾,接着眼窝,沿着眼周画圆按摩。
注意哦:按摩可以,力道是关键,轻压不是轻拉。
——————分割线————
3、到底什么成分才能拯救你的眼周?
我们使用眼霜无外乎是想达到保湿、抗氧化、除皱等功效,那么,认清眼霜中各种成分的功能,就能帮助我们挑选一款拯救眼周肌肤的眼霜。
知识点:常见保湿补水成分
甘油:最古老、最普通的保湿剂,适用于各类肤质,安全性好,不至引起敏感不适。但是保湿效果不算卓著。
小分子的透明质酸:小分子透明质酸能携带大量的水分渗入真皮。此外,还具有轻微扩张毛细血管,增加血液循环、改善中间代谢、促进皮肤营养吸收作用,具有较强的消皱功能,可增加皮肤弹性,延缓皮肤衰老。

(透明质酸的结构式)
葡萄糖胺:高效的保湿成分,通过促进皮肤的水合功能达到美白效果。此外还能抑制酪氨酸酶的活性,从而达到祛黑眼圈的功能。
知识点:常见的抗氧化成分:
维生素C:维生素C是常见的抗氧化剂,能清除人体内的自由基,以免自由基使细胞氧化衰老。同时,因有修复胶原蛋白的作用,还能淡化细纹。
茶多酚:茶多酚有清除自由基的作用,可抑制皮肤线立体中脂氧合酶和脂质过氧化作用,从而具有抗衰老效应。
知识点:常见的除皱成分:
烟酰胺:是一种水溶性稳定的小分子量物质,可以迅速穿过角质层,减轻和预防皮肤在早期衰老过程中产生的肤色黯淡、发黄、菜色。还能抑制黑色素的形成,淡化黑眼圈;促进真皮胶原蛋白的生成,增强皮肤弹性。
维生素A:直接作用于真皮深层,促进胶原蛋白和弹力纤维的再生,更新老旧的细胞角质,甚至还可以加强细胞彼此的连结力,改善和预防细纹。
就成分来说,我可以推荐一下NOVU的两款产品「紧致提升眼胶」和「亮透滋润精华露」涵盖了大部分比较热门的成分,而且还有大牌都喜欢用的高科技成分。
——————分割线————
4、面霜可以当眼霜用吗?
有很多美女或许会说,「哈,其实我不需要眼霜,面霜就能替代眼霜。」
这怎么说呢,个人看来这就好比沐浴露能当洗面奶用吗?
大家都知道眼部周围的肌肤比较敏感,加上每天你要眨眼那么多次,眼部是最容易长皱纹、出现问题的地方,所以眼部的肌肤自然是需要特殊护理的,眼部面板需要滋润度适中、抗氧化能力强、能促回圈、刺激性低的成分。
一些高阶的抗衰面霜也是比较接近眼霜的需求~
但是眼周的皮肤和面部皮肤没什么不同,但油脂分泌较少,所以更容易干燥。所以,如果单纯使用面霜和乳液来做保湿,对于很多人来说可能就不那么够用了,这和护手霜是一个道理的。
但是眼霜里也有油脂含量低的,还有「眼胶」这个品类,而面霜里也有油脂含量高的。所以只能说普遍眼霜比面霜的油脂含量高,而不能说一定。
抗衰方面建议使用含有「六胜肽」眼部精华,还好我脸部没什么动力性皱纹,哈哈哈~ 所以也不需要用六胜肽,但是眼部保湿还是一定要的呐!

图片来自网络,侵删
——————分割线————
5、眼霜到底什么时候开始用好呢?
不管什么时候,总是有人会产生这个问题呢~

眼霜顾名思义是专门针对眼周皮肤护理的产品,眼周皮肤因为皮脂腺和汗腺都很少,会特别容易干燥。而且这块是眼周皮肤最薄的地方,人一天到晚脸部运动有多少真的是数都数不清,也就更加容易导致眼周的表情纹产生了。
个人建议不能一刀切的用年龄来划分是否应该使用眼霜,如果身处干燥地区或者肤质比较干燥,那十几岁至二十岁出头就可以开始使用眼霜;如果肌肤状态较好,可以在25岁以后再开始使用。

你也可以问问你的父母,并且观察他们眼周的皮肤状况。如果你的父亲或母亲有细纹或者眼袋困扰,那么你要尤其注意预防同样问题的出现,可以提早使用眼霜来减缓眼部衰老。
我记得我在一本杂志上看过一句话,是对眼部产品最详细的诠释:
「眼霜可以为皮肤保湿,消灭因为干燥产生的细纹,能让人看上去更年轻。当眼周已经存在的细纹变得干燥时,它们看上去就会更深更糟糕。眼霜能起到一种温和有效的保湿作用,能让肌肤保持润泽,防止细纹产生。」
当眼部皱纹已经出现,再贵的眼霜已经救不了你了,可以考虑医美手段。
