
胸腔积液,顾名思义就是患者胸腔内出现了液体,因为液体压迫肺脏的正常空间会给病人引起呼吸困难或者咳嗽等症状。胸腔积液从何而来又因何而来,则是一系列复杂的病因造成的。胸腔积液与多种因素有关,常见的有炎症、肿瘤、结核病以及心功能不全、肾功能不全、低蛋白血症等多种病因,因其生成原因不同,因此患者除了呼吸困难之外的伴随症状也大多不同,比如肺炎或结核引起的胸腔积液常伴有发热咳痰、心衰引起的胸腔积液则伴有明显的喘息活动困难和水肿等等。
多数人认为,既然胸腔里出现了不该有的液体,就通过胸腔穿刺或者置管,抽取胸水不就可以治愈疾病吗?这种看法是非常武断的。因为不同的疾病引起的胸腔积液,一定要从病因入手,釜底抽薪才能解决问题,否则,大部分胸腔积液都会在抽取积液后,反而更快更多的出现胸水再生引发恶性循环。另外,胸腔积液的性质,也是帮助诊断病因的一个重要因素。
明确积液的病因除了需要完善常规检查化验以外,最重要的就是取得病理学的结果,那么如何穿透胸壁的阻挡,看见并且取得患病的病理组织呢?区医院胸外科利用该科非常成熟的胸腔镜技术,在全麻或局麻下,只在胸壁打1-2个小孔,就可取得胸水并直观准确的看到病变,在给患者尽可能小的创伤同时,可快速获得组织学标本,并通过病理手段来明确诊断,从而使患者得到及时有效的治疗,不但免除了患者反复抽胸水的痛苦,而且患者恢复快,并发症少,明显缩短了住院时间,深受患者好评。
目前区医院胸外科针对“胸腔积液”患者已成功实施多例“胸腔镜探查、胸膜活检及肺组织活检术”,最终明确了病理诊断,给予针对病因的治疗后,通过长时间随访,治疗效果良好。下面小编为您介绍两例典型病例:
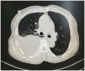
患者某老年男性,因胸闷喘憋入院,胸部CT提示右侧大量液胸(图1),在外院抽液后胸腔积液反复出现,长期诊断不清,家属非常着急,入科后与患者及家属沟通后果断选择了局麻胸腔镜检查,发现肺表面散在粟粒样结节,遂行脏层胸膜结节活检,术后3天病理即提示腺癌,在我院应用肺癌靶向药物克唑替尼治疗。目前健康生活已两年余,近日复查胸部CT肺部肿瘤消失,未见胸腔积液(图2)
图1

图2

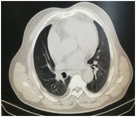
某女性患者,64岁,因咳嗽发热入住内科治疗,胸部CT提示右侧胸腔积液及右肺不张(图3),后转入我院胸外科治疗,经讨论后全麻下行胸腔镜检查,术中见壁层胸膜多发灰白色结节,遂行结节活检术,术后病理诊断为胸膜结核,予以正规抗痨药物治疗,6个月后复查胸部CT,积液消失,肺部情况良好(图4),目前仍在随访中。
图3

图4

患者胸腔镜取积液术后只留下一个小瘢痕