摘要:“冷先生,47岁。因反复颈腰疼痛导致活动受限已有10年......"

冷先生,47岁。因反复颈腰疼痛导致活动受限已有10年,近半年症状加重。遂于2021年10月9日来我院住院治疗。
住院时颈腰部疼痛伴活动受限,晨僵。
体征检查
脊柱僵直,颈部、腰部肌肉紧张;
直腿抬高试验(-);
双侧四字试验(-);
schober试验(+);
指地距离26cm,枕墙距9cm。
实验室检查
HLA-B27阳性。
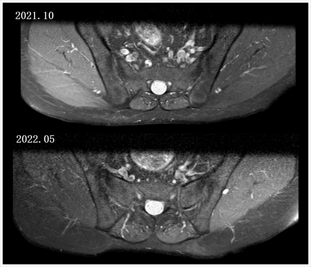
影响学检查
DR骶髂关节正位检查提示:腰椎及骶髂关节改变。

主要诊断: 强直性脊柱炎
其他诊断:高尿酸血症,高脂血症,脂肪肝。

2021.10.09—2021.10.15
口服依托考昔、沙利度胺片。
2021.10.15—2022.01.14
皮下注射格乐立(阿达木单抗注射液)40mg,每2周一次;
口服依托考昔片。
2022.01.15—2022.05
皮下注射格乐立(阿达木单抗注射液)40mg,每月一次;
口服依托考昔片。

脊柱僵直和肌肉紧张症状已缓解,指标也逐渐下降好转。

(炎症指标及体征改善)


患者坚持使用格乐立8个月,症状逐渐好转,好转后病情相较稳定,用药期间无不良反应发生。
强直性脊柱炎(AS)是一种慢性、进行性、炎性风湿病,遗传因素与AS关系密切。肿瘤坏死因子-a(TNF-a)在AS活跃期的监测和临床诊断中具有重要作用。而对TNF-a的特异性*制剂抑**阿达木单抗,也已在临床上大量应用于AS的治疗,并取得良好的疗效。
疾病的治疗具有一定的个性化特征,该病例仅供患友学习。如有不适请及时线下就医。


黎学建(主治中医师)
黎学建
- 东莞市中医院主治中医师
- 广东省中医药协会风湿专业委员会委员
- 从事内科临床、教学工作,2020年于上海仁济医院风湿科进修一年。