
环节一
病例介绍:
朱某某,男,64岁,入院日期:2021年3月15日
主诉: 咽痛、咳嗽伴胸痛35天
现病史: 35天前因用嗓过度出现咽部疼痛,伴干咳,咳嗽时伴前胸部疼痛,闷痛,无放散,与呼吸运动无关,无发热,无咯血,无呼吸困难。未在意,半个月前因上诉症状持续不缓解就诊于外院,完善肺CT(2021年2月18日)发现「双肺多发结节影、团片影」,并应用「青霉素类抗生素」静脉治疗半月,治疗后咽痛缓解,复查肺增强CT(2021年3月5日)病灶未吸收。为求进一步诊治来我院。病来自觉口干眼干,无吞咽困难,无关节疼痛,无皮疹。精神状态可,饮食睡眠可,二便如常,体重无明显变化。
既往史: 糖尿病10年,血糖控制尚可(用药:拜糖平和利格列汀)。慢性乙型肝炎10年(乙肝病毒携带者)。否认慢性肺脏疾病、高血压、心脏病病史。否认肺结核病史。患者1年前因「感冒」曾完善肺CT,未见异常。
个人史: 否认烟酒嗜好。职业是钢琴老师。
家族史: 否认家族性遗传病史。
入院体格检查:
T:36.6℃,P:88次/分,R:20次/分,BP:152/94mmHg。一般状态可,神清语明,肺脏查体无异常。心律齐,心脏各瓣膜听诊区未闻及病理性杂音。腹平坦,无压痛,肝脾肋下未触,双下肢无浮肿。
辅助检查:
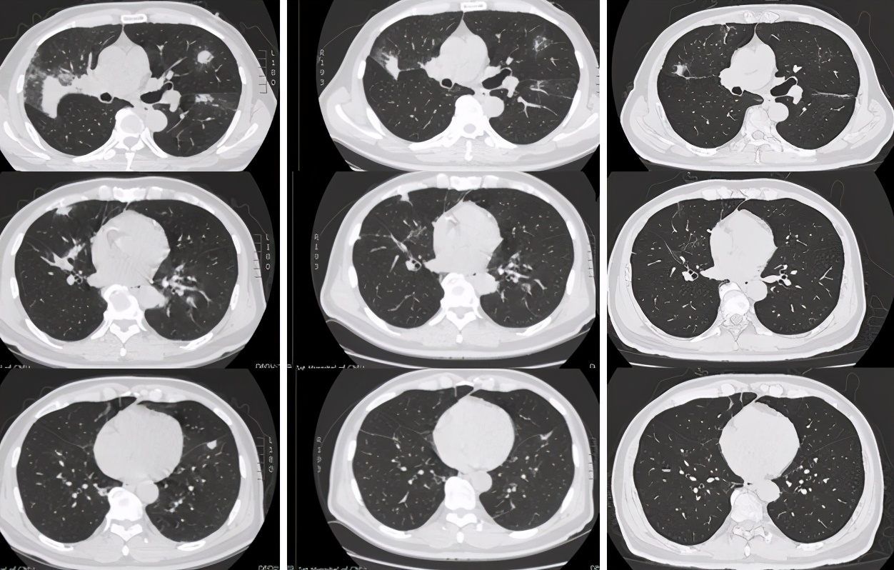
1年前肺CT(2020.3.12)


本次发病时肺CT(2021.2.18)


外院治疗后肺CT(2021.3.5)


1年前肺CT和发病时肺CT比较:


外院治疗前后肺CT比较:


外院肝脏增强CT(2021.3.5):
肝右前叶弱强化病灶,请结合临床及相关检查。肝右叶、右肾囊肿。腹腔钙化灶。

赵洪文教授(主持人): 总结病例特点,分析是感染还是非感染性疾病?肺脏和肝脏病变是一元论还是两元论?
潘蕾博士(PCCM学员): 患者亚急性起病,主要症状为咳嗽、胸痛,无明显发热。由于缺乏相关实验室检查结果,仅根据病史和影像学检查来看感染和非感染两类疾病都有可能,但我更倾向于非感染性疾病。用一元论解释,肝肾同时受累的非感染性疾病我认为排在第一位的应该是肿瘤。患者既往肝病病史,是否可能是原发性肝癌的肺转移?原发性肺癌的肝转移也不能排除。患者有口干眼干的病史患者是否存在血管炎等系统性风湿免疫性疾病?此外,患者有没有周身淋巴结的肿大?血液系统疾病淋巴瘤也不能排除。用一元论解释在感染相关疾病中,根据患者10年的糖尿病病史及影像学表现来看,我更倾向于首先关注结核和真菌感染的可能。排在第一位的是结核病。继发性肺结核多发于右肺上叶尖后段及下叶背段和后基底段,与患者肺部团片影位置相近,可能存在播散性感染且无发热症状。排在第二位的是侵袭性真菌感染如念珠菌、曲霉菌、毛霉菌等真菌感染在糖尿病患者中也非常常见,也可能存在肝脏受累。此外,患者是否存在养鸽史,是否存在隐球菌感染?排在第三位的是特殊病原体感染,如我们之前诊疗过的播散性诺卡菌感染有待排除。排在第四位的是非典型病原体感染,如军团菌感染,可以仅有轻微的流感样症状,也可引起肝脏的受累。用二元论解释,患者既往乙肝病史非常可能导致原发性肝癌,那么肺部的影像学表现可能是原发性肝癌合并上述感染、非感染性疾病,也可能是原发性肝癌合并机化性肺炎。综合来看,我更倾向用一元论解释,患者为系统性疾病,首先应排除恶性肿瘤可能。
宋丹丹博士(主讲人,PCCM学员): 同意潘蕾对病例特点的总结。我们在诊治过程中是这样分析的:感染性疾病和非感染性疾病都有可能。感染性疾病方面,因为患者有糖尿病病史,当肺脏和肝脏都有病灶时,不能除外细菌的血流感染,尤其是金黄色葡萄球,除此之外患者前期青霉素类抗生素治疗无效,应注意肺克以及其他耐药菌的感染,除了细菌以外真菌、结核和少见的弱毒力的奴卡菌也应该鉴别。在非感染性疾病方面,主要考虑到了恶性疾病中的肺癌和肝癌,还有淋巴瘤;非恶性疾病中考虑到了血管炎、机化性肺炎。以上疾病均可以出现多器官受累,因此患者可能是一种疾病累及多个器官。与此同时因为患者有慢性乙肝病史,肝脏的占位是否是肝癌?而肺脏病灶又是另外一种疾病?所以一元论和两元论都有可能。诊疗计划是左氧氟沙星0.5日一次静点,并完善进一步检查。
黎庶教授(放射科)点评: 该患者的右肺门可见一团片影,其内可见正常走形的支气管,右肺上叶后段临近叶间胸膜处又可见一团片影,类圆形,边缘有毛刺,周围类似有晕征,除此之外肺内还可见多发散在的结节,边缘不规则。上述病灶经抗炎治疗没有改善,似乎有所加重。根据目前这些资料,无法确定感染还是非感染,一元论还是两元论,但肝癌肺转移肯定不是,因为肺内转移瘤不会形成大片状的改变,影像学不支持肝癌肺转移。肺CT改变更倾向于非感染,病灶沿支气管血管束旁和胸膜下分布,是多发的多种形态的,MALT淋巴瘤有这种特点,除此之外,炎性肌纤维母细胞瘤也有这种特点,血管炎、肉芽肿性病变也可出现。肺CT病变还有一个特点是既有实质改变又有间质改变,感染性疾病中TB、NTM和隐球菌都可以出现这种影像学改变。将肺脏和肝脏结合在一起分析,淋巴瘤可以同时多器官受累,风湿免疫系统疾病也可能。
徐秀英教授(消化科)点评: 该患者肝脏增强CT中不典型的弱强化结节没有任何特异性,可以是早期肝癌,也可以是良性疾病如血管瘤、炎性假瘤,如果要确定病变性质必须要结合其他的临床资料,包括病史、血生化、肿瘤标志物等,如果要最终确定病变性质可能需要进行肝穿刺活检。
刘宁教授点评: 肺CT病灶的形态是多样的,有结节影,有斑片影,有实质改变也有间质改变,单纯从肺CT看,这是不能排除肺结核的。肺结核可以合并肝结核,但是肝结核病灶一般位于包膜下,并且往往有钙化灶,做增强CT之后,中心是弱强化,周边因为有肉芽组织和纤维组织增生是环形强化,从这个角度来看,肝脏这个病灶不太符合肝结核的表现。肺部改变不能完全除外肺结核,肝脏不符合结核,这样分析的话就是两元论,但临床上一般多是一元论分析问题,所以反倒不支持肺部是结核了。
环节二
入院后完善的相关检查:
动脉血气分析:PH 7.45,PaCO2 38mmHg,PaO2 91 mmHg。
血细胞分析:WBC 7.03*10^9/L,N% 73.1%,LY% 17.5%(↓)
CRP:7.80mg/L(↑),ESR:55mm/h(↑)
PCT正常,支原体抗体(—),军团菌抗体(—)
空腹血糖:7.31mmol/L(↑)
D-D:0.64ug/mL(↑)
乙肝五项:HBsAg (+),HBeAb (+),HBcAb (+)
丙肝,梅毒,艾滋病:均阴性
尿常规、粪便常规、肝肾功能、凝血四项、BNP、肌钙蛋白、CK-MB均正常。
风湿抗体系列(9项):无异常。
抗中性粒细胞胞浆抗体:pANCA(-),cANCA(-),MPO-ANCA(-),PR3-ANCA(-)
肿瘤标记物:CEA, AFP, NSE,ProGRP,CYFRA21-1,SCC,CA125, CA153, CA199 均为阴性。
血T细胞亚群:正常。
心电图:窦性心律,88次/分。
心脏超声:主动脉瓣退行性变静息状态下左室整体收缩功能正常。
颈部、锁骨上淋巴结超声:双颈部淋巴结回声(2级)。右颈部可见数个淋巴结,最大者1.46*0.48cm,位于II区,可见门样结构及血流。左颈部可见数个淋巴结,最大者1.29*0.46cm,位于II区,可见门样结构及血流。双锁骨上下窝未见明显异常肿大的淋巴结。
赵洪文教授(主持人): 基于上面的化验检查,再来分析感染还是非感染?一元论还是两元论?下一步诊疗计划?
韩冰博士(PCCM学员): 结合目前的辅助检查还不能确定病人是感染还是非感染,一元论还是二元论,如果从感染一元论考虑的话,由于这个病人有糖尿病病史,考虑结核,真菌感染,合并肝脓肿是有可能的,针对感染方面,可以进一步完善气管镜,收集肺泡灌洗液做NGS检查;从感染的二元论考虑,一般非典型病原体不会合并肝脓肿,这个病人也有可能是肺部非典型病原体感染合并肝脏的肿瘤性病变。如果从非感染的一元论考虑,肺癌合并肝转移,或者肝癌合并肺转移都是有可能的。这个病人肺部,肝部两个脏器同时受累,临床症状不明显,也有可能是淋巴瘤,因为淋巴瘤表现为无痛性的全身淋巴结肿大,而以颈部和锁骨淋巴结肿大为首发的全身系统疾病,该病人颈部淋巴结彩超提示2级,是良性表现,但也不能完全除外淋巴瘤,可以进一步去淋巴结活检做病理进一步确诊。非感染二元论的话,该病人也不除外是肺脏的机化性肺炎,伴肝脏的肿瘤性病变,可以进一步肺部和肝脏的穿刺取活检做病理进一步明确。
赵洪文教授(主持人): 降钙素原PCT在诊断感染性疾病中有什么意义?
韩冰博士(PCCM学员): PCT是感染重要的一个生物标志物,尤其在细菌感染时升高最多,要高于非典型病原体和结核菌感染,在一些侵袭性真菌感染时,PCT也可增高,但是PCT升高的不仅仅是细菌感染,比如在晚期肿瘤,严重肾功能不全,持续性心源性休克时,PCT也可以增高。
宋丹丹博士(主讲人,PCCM学员): 基于入院后完善的这些化验,我们的分析是:患者本次发病以来无发热、咳痰等急性呼吸道感染症状,血常规白细胞总数和粒细胞分数均正常,PCT正常,因此细菌感染的可能性不大。但真菌、结核和其他少见病原体仍不能除外。患者的抗中性粒细胞胞浆抗体ANCA均为阴性,并且尿常规正常,所以我们也不考虑患者存在血管炎。但其他非感染性疾病不能除外。下一步诊疗计划是完善经皮穿刺肺活检
夏书月教授点评: 患者的病程是亚急性过程,受累的器官现在有肝脏、肺脏和淋巴结。感染和非感染性疾病都有可能。根据目前的化验结果血常规,c反应蛋白,降钙素原都是几乎正常的,风湿抗体和ANCA都是阴性的,所以血管炎和细菌感染的支持力度小了。所以我认为,在非感染性疾病中,肝脏、肺脏和淋巴结都受累,恶性疾病和免疫系统疾病这两个角度是我主要思考的方向。我认为下一步完善颈部淋巴结的活检更能确定诊断。
王秋月教授点评: 刚才大家讨论的很多,根据现有材料感染还是非感染,一元论还是二元论,还无法确定。从感染的角度来讲,不支持细菌感染,因为第一感染指标不高,第二患者无发热症状,第三抗生素治疗没有效果。影像学也不支持非典型病原体,对于真菌感染,无法排除隐球菌,因为隐球菌感染常常发生于免疫力低下的患者,而这个病人是糖尿病患者,也属于免疫力低下,隐球菌肺炎患者影像学也可表现为胸膜下结节影、斑片影,建议病人进行穿刺活检并且检测血清荚膜抗原来排除隐球菌感染。对于结核感染来说,病人患有糖尿病,有感染结核的风险,但病史和影像学不支持结核。NTM多发生于有结构性肺病的病人身上,如支气管扩张。诺卡菌多发生于免疫力低下患者,并且是脓肿样改变,这个患者这么长时间并没有出现脓肿样改变,所以不支持。曲霉菌也多发生于免疫力低下病人,肺内影像可以出现斑片影和结节影,但很快会出现空洞,这个患者发病至此并没有出现空洞,所以也不考虑曲霉菌感染。所以从感染角度来讲,我觉得隐球菌感染不能除外。从非感染角度,影像学表现为斑片影,类结节影,不支持肺部原发肿瘤。对于肝癌伴肺转移,影像学也不太支持。但是淋巴瘤我不能除外,因为淋巴瘤可只发生于肺脏,表现为各种影像学特征。对于血管炎,根据现有资料以及ANCA阴性,我不考虑血管炎,但是其他自身免疫疾病可以多脏器受累,我不能除外。对于机化性肺炎,有的是因为既往炎症延迟吸收,有的是没有原因的如COP,影像学表现为多发多变多形的,但是这个患者的影像学都是在原有的肺部病变基础上增大加重,所以我不支持机化性肺炎。目前隐球菌、淋巴瘤、自身免疫疾病多脏器受累是我不能除外的。下一步需要病理进一步明确诊断。
环节三
经皮穿刺肺活检结果:

病理结果: (经皮肺穿刺活检)纤维化伴慢性炎症,以浆细胞为主的淋巴细胞浸润,请结合临床。免疫组化结果:CK(上皮+),Bcl-6(散在+),MUM1(+),CD30(—),Ki-67(约10%+),CD138(+),CD38(+),CD3(T细胞+),CD20(B细胞+),Pax-5(灶状+),Bcl-2(+),CD21(—),CD10(—),CD5(T细胞+),CyclinD1(散在+)。分子病理结果:EBV+(—)
李庆昌教授(病理科)点评: 这个是肺穿刺的标本,镜下可见大量的淋巴细胞和浆细胞的浸润,有轻度的纤维组织增生,但不太明显。再来看一下免疫组化结果,免疫组化中有三个指标MUM1、CD38、CD138是表达浆细胞的,所以整体上是以浆细胞浸润为主,混杂少量淋巴细胞的浸润。淋巴细胞和浆细胞的浸润一般多见于慢性炎症性病变,也可以在淋巴组织增殖性疾病中出现。慢性特异性炎症如梅毒就是以浆细胞为主的,也可见于慢性非特异性炎症,还有肿瘤性病变如炎症性肌纤维母细胞瘤,炎性假瘤等,也可以出现浆细胞浸润,另外,IgG4相关疾病的特点就是纤维化伴随浆细胞的浸润,但其浆细胞浸润要求达到一定数量,特别是IgG4阳性的浆细胞要达到一定的比例,还有其纤维化要很明确。
赵洪文教授(主持人): 病理回报后,如何考虑感染还是非感染?一元论还是两元论?
乔鑫博士(PCCM学员): 结合患者的病理结果,考虑非感染性疾病可能性大,以浆细胞为主的淋巴组织浸润我想到的有多发性骨髓瘤,IgG4相关疾病,需进一步完善血尿免疫固定电泳,血清蛋白电泳,血清IgG4化验等。至于肝脏占位病变,我倾向用二元论解释,因为患者为慢性乙肝患者,不能除外肝癌,可请介入科和肝脏外科会诊评估是否需要完善其他检查以及能否进行肝脏穿刺活检以明确病变性质。但患者感染性疾病仍不能完全除外,需进一步完善相关化验检查除外特殊病原体感染。
李文扬博士(PCCM学员): 我首先考虑非感染性疾病,但是感染性疾病不能完全除外,我进行以下两点补充,从一元论非感染性疾病角度分析,我觉得MALT淋巴瘤、炎性假瘤是不能除外的,从感染性疾病角度分析,不能除外少见致病菌感染,如NTM、隐球菌、毛霉菌、曲霉菌等。因此基于上面两点的分析,建议患者完善气管镜TBLB,针对右肺靠近肺门的病灶进行活检,同时完善支气管肺泡灌洗,病理染色进行肺组织的特殊染色,如六胺银、PAS、抗酸染色等,同时完善结核菌PCR检测。
何娟教授(血液科)点评: 淋巴瘤是发生于淋巴结和淋巴组织的恶性疾病,但目前全球报道的病例,除了毛发以外,身体所有的部位都可以发生淋巴瘤,子宫、眼部房水均可以发生。所以我们淋巴瘤的病人可能来自各个科。确诊淋巴瘤要靠病理金标准,病理诊断后做PET-CT判断部位。淋巴瘤肺部浸润很常见,但是原发肺淋巴瘤一般最常见的是MALT淋巴瘤,还有弥漫性大B,以及罕见的外周T和滤泡淋巴瘤。浆细胞疾病的概念是浆细胞克隆性增生的一组疾病,特点是血和尿中查到M蛋白,也就是我们所说的单克隆性免疫球蛋白或轻链,Kappa链和Lambda链。包括多发性骨髓瘤、浆细胞性骨髓瘤、浆细胞瘤、淀粉样变性、轻链病、重链病以及原因未明的免疫球蛋白增多症等。此病例应该与浆细胞瘤鉴别。此病人病理显示更倾向于浆细胞浸润,并不是浆细胞瘤,也可以再进一步完善相关检查。判断浆细胞是反应性还是克隆性增多要看CD56的表达,它是恶性的标志,表达越强,预后越差。此外还要看轻链是正常的还是限制性的。
由继辉教授点评: 首先从感染性疾病方面分析,该病人病程较长,结合感染指标,可除外金葡、肺克等高致病力高毒性的病原体感染。曲霉菌方面,病理没有提示,可能还需要进一步做特殊染色除外。隐球菌不能除外。关于结核,病理不支持结核,并且影像学没有看到树芽征、空洞、卫星灶等结核表现。奴卡菌是一个低毒力的细菌,目前不能除外。非感染性疾病中主要需要鉴别是在淋巴瘤和浆细胞疾病。所以接下来可能需要将病理组织进一步做NGS和一些特殊染色来明确诊断。
宋丹丹博士(主讲人,PCCM学员): 在肺脏病理中提到以浆细胞为主的淋巴细胞浸润,让我们想到了浆细胞疾病,如多发性骨髓瘤、浆细胞肉芽肿、IgG4相关疾病等。正如之前病理老师所说,浆细胞浸润可见于一些慢性炎症,所以,感染性疾病仍不能完全除外。另外,基于一次的病理结果,我们也没有完全除外肺癌、肝癌、淋巴瘤这几种恶性疾病。具体诊疗计划如下:

赵洪文教授(主持人): 特殊病原体的病理特殊染色有哪些?
乔鑫博士(PCCM学员): 特殊染色在临床诊断中具有重要作用,其中PAS染色可以将大部分真菌显示出来,六胺银染色对曲菌、念珠菌、放线菌、卡氏肺囊虫具有较好的显示效果,抗酸染色用于分枝杆菌检测,弱抗酸染色阳性提示奴卡菌感染和分枝杆菌感染,Giemsa染色主要检测疟原虫、卡氏肺囊虫。此外还有刚果红染色,可以显示淀粉样变性。
环节四
结果回报:
肺组织抗酸染色:(—),六胺银染色:(—)。
结核相关化验:T-SPOT阴性,PPD阴性,痰查抗酸杆菌(—)。
G试验:阴性,GM试验:阴性。痰培养7天,未生长细菌和真菌。隐球菌荚膜抗原:阴性。
血清IgG4测定:1.850g/L(我院正常值:0.03—2.01g/L)。
血清蛋白电泳:Alb 49.7%, α1 4.9%, α2 11.1%, β 10.7%, γ 23.5%。(正常)。
免疫固定电泳(IgD,)(IgG.A.M):未见单克隆条带。
BALF液细胞学计数: M 98.00%,N 1.00%,L 1.00%,E 0.00%。
BALF液T细胞亚群:CD4:2个/ul,43%,CD8:1个/ul,31%,CD4/CD8 :1.38。
BALF液 涂片查抗酸杆菌: 未找到抗酸菌。
BALF液真菌培养:未生长。
BALF细菌培养:未生长。
灌洗液NGS结果:真菌序列可见白色念珠菌(序列数29);病毒序列可见EBV(序列数204)。

TBLB病理:(肺组织)慢性炎症,结合临床。
赵洪文教授(主持人): 灌洗液NGS结果如何解读?根据目前回报的结果如何分析诊断?
林莉博士(PCCM学员): 结合患者的病史,两次的肺组织活检,气管镜灌洗液NGS结果及结核,隐球菌,尿轻链等检查,感觉越来越接近真相。这虽然是一个糖尿病的患者,但免疫力正常的,并且没有环境的暴露,NGS呈现出低拷贝数的念珠菌及疱疹病毒,并不考虑感染。所以到目前为止从感染角度,不管是细菌,真菌,结核或者少见的奴卡菌,我认为目前都不考虑,我考虑非感染性疾病可能性大,我把肿瘤排在首位,包括淋巴瘤,肺癌的肝转移,第二位考虑淋巴细胞浸润的肺疾病,包括IgG4相关疾病。因为两次肺活检并没有特殊的指向,所以我考虑下一步可以在肝脏方面做一些工作。
封辰叶博士(PCCM学员): 首先分析一元论还是两元论,我更倾向是一元论,但是完全确定还有些困难,因为到目前为止对于肝脏的检查包括病理都没有得到。我基本同意林莉的观点,虽然灌洗液NGS查到了白念和EBV,但是白念在正常人气道内是有定植的,做气管镜的过程中灌洗液标本是有可能被定植的白念污染的,并且患者发病以来已经一个月余,并没有发热等感染的症状,所以考虑白念是定植不考虑致病。EBV感染多见于儿童感染,感染前期多有免疫力下降,本例患者虽有糖尿病但血糖控制尚可,T细胞亚群正常,另外EBV感染肺脏时,影像学多表现为间质改变,因此不符合EBV感染。到目前为止其他关于细菌、真菌、结核方面的化验都为阴性,所以我考虑感染性疾病可能性不大。非感染性疾病方面,肺脏的两次病理都不提示肺癌,接下来我们可能需要更关注肝脏的病变,完善进一步检查甚至完善肝脏病理。另外需要注意的是肺脏病理提到浆细胞浸润,我想到了多发性骨髓瘤,但多发性骨髓瘤的相关化验都是阴性的,患者没有贫血等表现,所以也不考虑。最后考虑的是IgG4相关疾病,患者有符合的地方,如多脏器受累,血清IgG4虽然在我院的正常值范围内,但大于1.35g/L,病理有浆细胞浸润,但是可能还需要做一些更特异的检查,所以接下来肝脏的检查就非常重要了。
宋丹丹博士(主讲人,PCCM学员): 基于以上的结果,我们基本排除了肺脏的感染性疾病。另外经过2次的肺活检结果,也排除了肺癌。患者的免疫固定电泳阴性,也除外了多发性骨髓瘤。另外根据病理科会诊意见我们也不考虑淋巴瘤。针对肝脏的病变,消化科和普外科的会诊意见是完善肝脏增强磁共振。肝脏增强磁共振结果提示肝右叶可见类圆形略长T1略长T2信号影,增强后可见持续强化。肝脏外科考虑不除外恶性疾病,建议做肝脏穿刺活检。
肝穿刺病理:




李庆昌教授(病理科)点评: 左上图是大量的淋巴细胞和浆细胞浸润,与肺部表现很像,右上图是MUM1染色,可见大量的浆细胞,左下IgG4染色可见大量IgG4阳性的浆细胞。IgG4阳性的浆细胞大于50个/HPF,这支持自身免疫性的病变。IgG4相关疾病的诊断,指标之一就是IgG4阳性的细胞数在高倍视野下明显增多,不同器官不一样的数值,另外还需要血清IgG4升高。所以从这里来看,相对比较明显是自身免疫性相关性疾病的可能性比较大。另外患者的kappa和Lambda是多克隆的,所以不支持MALT淋巴瘤和浆细胞性肿瘤。
宋丹丹博士(主讲人,PCCM学员): 基于肺脏和肝脏的病理,均为纤维化伴慢性炎症,以浆细胞为主的淋巴细胞浸润,并且肝脏病理中IgG4局部热点区>50个/HPF,我们考虑IgG4相关疾病不除外,并且请风湿免疫科会诊,会诊后建议完善相关检查。
补充的化验检查:
复查IgG4:0.983g/L (我院正常值:0.03—2.01g/L)。
IgE:85.60IU/mL(正常)。
PCT:<0.02ng/mL,CRP:16.4mg/L(↑),ESR:65mm/h(↑)。
细胞因子检测:IL-6 18.57pg/mL(↑),IL-2,IL-4,IL-10,IL-12p70,IL-17,IFN-γ ,TNF-α均正常 。
乙型肝炎病毒载量检测(HBV Load):<1.00 E2IU/mL。
颌下腺泪腺超声:双颌下腺回声减低,弹性值正常范围。左腮腺内淋巴结显示,弹性值正常范围。右睑部泪腺回声稍低,血流局部丰富,双侧泪腺弹性值正常范围,双颌下I区淋巴结显示。
肺组织病理行IgG4重新染色:阴性。
宋丹丹博士(主讲人,PCCM学员): 结果回报后再次请风湿免疫科会诊,会诊意见考虑:IgG4相关疾病可能性大,并给于激素和免疫*制剂抑**治疗。
田百玲教授(风湿免疫科)点评: 关于IgG4相关疾病的诊断,无论是新标准还是老标准,都有很重要的一条就是要除外慢性感染性疾病、血管炎类疾病、淋巴瘤、炎性肌纤维母细胞瘤等。这个患者诊治到这里,感染性疾病基本已经除外了,淋巴瘤病理不支持,血管炎也证据不足,在肝脏病理上可以看到大量的IgG4阳性的浆细胞,这些都是支持IgG4相关疾病诊断的,但是我们确实没有看到IgG4阳性的浆细胞占IgG阳性的浆细胞的比例,这个比例会更有意义,在诊断标准中,IgG4阳性的浆细胞增多和比值增加是「并且」的关系。该患者按照老标准诊断符合两条,按照新标准诊断可以基本达到20分。所以给予了IgG4相关疾病可能性大的诊断,但确实IgG4相关疾病最常累及的器官是腺体,如腮腺、颌下腺、泪腺,以及胰腺和胆系等,肝脏实质受累确实少见,但是这个病人诊治到这里,用IgG4相关疾病合并炎性假瘤这个诊断可能性是最大的,患者的病变在进展,我们需要给患者治疗了。IgG4相关疾病的治疗可以单用激素,但因为这个患者是肺脏和肝脏两处的病变,并且进展较快,所以就比较早的把免疫*制剂抑**加上了。
激素治疗前后肺CT


激素治疗前后肝脏磁共振

张榕教授(风湿免疫科)点评: 该患者诊断IgG4相关疾病依据不充分,首先血清IgG4开始时略增高,未治疗已经下降至正常。其次,病理诊断标准中要求IgG4+浆细胞是弥漫性的浸润,不是局灶性,IgG4+浆细胞/IgG+浆细胞比值大于40%意义更大,该患者肺脏大量浆细胞浸润,但IgG4+浆细胞染色为阴性。其次,患者受累器官是IgG4相关疾病的非常见器官及非典型表现,该病常见受累器官是外分泌腺,如唾液腺,胰腺等。肝脏受累多表现为原发性硬化性胆管炎,肺脏受累多为间质改变和炎性假瘤,炎性假瘤多是单发,而这个病人是多发病灶,伴有晕征,且呈亚急性进展。患者肝脏增强磁共振表现比较符合IgG4相关疾病的,但是需要注意的是肝脏穿刺的背景是慢性乙型肝炎,并存在乙肝病毒复制,乙肝病毒的激活与消退与机体免疫相关,乙肝活动也会诱发T、B细胞活化;穿刺的深度也可能影响病理结果的判定。最后从治疗反应来看,患者对激素治疗的反应太敏感了,IgG4相关疾病病理改变是纤维化病变伴闭塞性静脉炎,对激素治疗反应相对比较慢。总之,目前对IgG4相关疾病的认识时间还比较短,需要加强IgG4相关疾病的鉴别诊断,是模拟IgG4相关疾病还是并存抑或单纯IgG4相关疾病,还需要在诊断中治疗,治疗中再诊断,再观察,随时发现问题,再进一步检查,这也是很多风湿免疫疾病的诊断思路。
王玮教授点评: 这次病例讨论展示了PCCM学员的学习思路,这里有两点需要跟大家探讨。首先,这个患者是两个器官受累,如果考虑感染性疾病,要么是临近脏器的互相影响,要么是病原体入血。但本例患者没有感染症状,并且感染的标志物也几乎正常,这样的感染太少见了。所以要重点考虑对非感染疾病的判别。其次,如果是非感染性疾病,病理诊断往往是金标准,如果病理有明确结果就可以诊断,恰恰是病理结果模棱两可的时候,是我们诊断最困难的时候。因为我们知道疾病是一个不断进展的过程,有可能在我们找到它发现它的时候,它正好处于这样一个达不到诊断标准的一个状态,所以,CTD-ILD出现了,IPAF出现了,这就是我们医学在不断攀登不断进展的原因之一。所以我想有这样一个病例,以后我们会有更多的认识来完善这个诊断。我们的医学探讨一直在路上。
作者介绍

宋丹丹
2018级专培学员,主治医师。
本文完
直播导演:刘迪
*今条头日**排版排版:刘旋