1.诱发因素:围绝经期和绝经后激素补充治疗;
长期服用激素类的保健品;
20~40岁的女性;
肥胖; 高血压,糖尿病;
乳腺癌术后长期用药 等 2. 是常见良性病变,表现为子宫不规则出血,或者月经过多,可造成不孕,流产 , 有些无临床症状 。 3.子宫内膜在超声有什么表现?

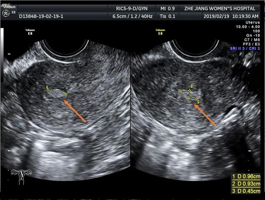
子宫息肉成中-高回声结构,可单个也可多个。
子宫内膜息肉导致宫腔线消失或变形,宫腔内见中-高回声结构,可单发或多个,大小差别很大,常成蛇形,带形或椭圆形。基底部子宫内膜连续可与黏膜下子宫肌瘤鉴别。结节边界清晰,可位于颈管内或宫颈外口。息肉较大时,内膜线显示不清。与子宫内膜癌不易鉴别。 彩色血流显示:中等高阻力的动脉血流或低速的静脉血流信 。 4.子宫内膜息肉病情需要日常监测哪些指标?
接受观察保守治疗的子宫内膜息肉患者,在日常生活中应注意观察自身症状,症状加重或有复发迹象者应及时就诊。


标记处息肉