病史
现病史
91岁女性,10年前开始间断出现心悸不适,发作心电图提示为心房颤动(房颤),每月发作1~2次,持续数分钟至数十分钟可自行缓解。近2年患者自觉发作频繁,时间延长。1年前开始口服利伐沙班10 mg/d和胺碘酮200 mg/d,心悸症状有减轻。5个月前外院住院期间突发晕厥,心电监测示心脏停博最长达10秒,即植入永久起搏器。术后继续服用胺碘酮200 mg/d,仍有反复心悸。
既往史
高血压病史10余年,最高170/128 mmHg,口服苯磺酸氨氯地平片和氯沙坦钾片,控制在130/80 mmHg左右。2型糖尿病史10余年。有输血性丙肝病史,曾行宫颈癌手术、胆囊切除术。对杜冷丁过敏。
家族史、个人史及婚育史
无特殊。
体格检查
一般情况良好,呼吸平稳,体温正常,脉搏60次/分,血压140/70 mmHg,呼吸频率18次/分。肺部叩诊清音,双肺听诊无干湿啰音。心尖搏动点左锁骨中线上第五肋间,心律齐,心尖区可闻及Ⅲ级收缩期杂音,未闻及心包摩擦音。无腹型肥胖,触诊无压痛,无肝脾肿大。无杵状指、无水肿;足背动脉搏动正常。
辅助检查
经胸超声心动图
LA 39 mm×41 mm×63 mm,MA 39 mm,LVED 48 mm,EF 60%。左房增大,主动脉瓣钙化,二尖瓣钙化,升主动脉增宽,主动脉瓣反流(轻度),二尖瓣反流(轻度),三尖瓣反流(轻度),左室舒张功能减低。
左房肺静脉CTA
左心房增大,心脏起搏器植入术后。
下肢动、静脉超声
双下肢动脉、双髂动脉显示段多发斑块;双下肢静脉、双髂静脉未见明显阻塞。
实验室检查
血常规
WBC 3.22 G/L,N% 69.3%,RBC 3.22 G/L,HGB 104.0 g/L,PLT 110 G/L。
生化
糖化血清白蛋白(GA)20.6%,TG 2.04 mmol/L,LDL 1.63 mmol/L。计算其肌酐清除率为62ml/min。
甲状腺功能
TT3 0.930 nmol/L(1.34~2.73),TT4 51.220 nmol/L(78~157),FT3 3.930 pmol/L(3.8~6),FT4 7.100 pmol/L(7.9~14.4),TSH 11.440 mIU/L(0.34~5.6)。
凝血功能
PT 10.0s,APTT 30.7s,INR 0.91,D-Dimer(HS)238 ng/ml。
诊断
入院诊断
心律失常
阵发性心房颤动
起搏器植入术后
高血压病3级
2型糖尿病
高脂血症
宫颈癌术后
胆囊切除术后
问题1. 患者5月前植入起搏器后,维持窦性心律选用下列哪种药物最合适?
A. β受体阻滞剂
B. 胺碘酮
C. 钙拮抗剂
D. 地高辛
专家解读
正确答案是:B。
房颤的药物治疗中,控制心室率和节律是重要的内容。
β受体阻滞剂、钙拮抗剂、地高辛是最常见的用于控制房颤发作时心室率的药物。β受体阻滞剂和钙拮抗剂(非二氢吡啶类)常作为首选药物。与二者相比,地高辛对于心室率--尤其是运动心室率的控制作用较差,常作为辅助用药,特别对于伴有心力衰竭的房颤患者更为适宜。
胺碘酮为广泛应用的抗心律失常药物。广泛被引用的CTAF研究和SAFE研究,都证明胺碘酮维持窦性心律的作用优于其他抗心律失常药物。本患者房颤发作频繁,但能够自行转复,减少发作和维持窦性心律相对更为关键,但应注意监测不良反应,如甲状腺功能等。患者本次入院前无甲状腺功能减低的情况,故当时选择胺碘酮治疗是合理的。
问题2. 本患者的抗凝治疗,可以选择的是?
A. 阿司匹林
B. 华法林
C. 新型口服抗凝药(NOACs)
D. 双联抗凝(阿司匹林+氯吡格雷)
专家解读
正确答案是:B、C。
按照2014AHA/ACC/HRS房颤指南推荐的CHA2DS2-VASc卒中风险评分标准,本患者为女性,存在高血压、糖尿病、年龄>75岁的危险因素,CHA2DS2-VASc评分(图1)计5分,为房颤卒中的高危患者,需要给予规范的抗凝治疗。
阿司匹林仅适用于CHA2DS2-VASc评分0~1分的低危患者。对CHA2DS2-VASc评分>2分的高危患者,指南推荐华法林和NOACs。对于本患者而言,华法林和NOACs均能达到满意的抗凝效果。但考虑到华法林在用药过程中,尤其在初期,需要频繁监测INR调整剂量,本患者91岁高龄,多次至医院抽血化验会造成一定的负担,且华法林与多种药物、食物之间存在相互作用,实际使用中困难较多,因而最终选择了应用更简便的NOACs。另外,参考HAS-BLED出血评分标准(图2),本患者计3分,表明存在出血风险。患者入院时估算肌酐清除率62ml/min,低于正常值。综合考虑,最终给予利伐沙班10 mg/d,为个体化、经验性治疗。

图1. CHA2DS2-VASc评分标准

图2.HAS-BLED出血评分标准
问题3. 对于本患者,治疗策略应如何选择?
A. 控制心室率药物治疗+抗凝药物治疗
B. 抗心律失常药物治疗+抗凝药物治疗
C. 经导管射频消融术根治房颤
D. 左心耳封堵术
专家解读
目前最为适宜的方案是C。
选项A的方案更适合于持续性房颤患者,特别是不能接受手术治疗者,以控制心室率,预防卒中等风险事件。
抗心律失常药物治疗联合长期抗凝治疗,是可以考虑的治疗策略。患者年龄达91岁,选择相对风险较小的药物保守治疗方案,不失为合理选择。但对于本患者,其房颤发作逐渐频繁,症状明显难以耐受,药物治疗效果欠佳,长期抗凝治疗出血风险较高,患者迫切要求改善生活质量,若能维持窦性心律,显然更为理想。
本患者存在多项高危因素,对术者的导管操作技术的娴熟程度、患者对射频消融术的耐受程度、术中术后出现心衰、血栓栓塞事件风险等方面均存在一定的挑战。然而,本患者不存在行射频消融术的绝对禁忌,左心房轻度增大的阵发性房颤,行射频消融术成功率较高。行左心耳封堵术可规避长期抗凝治疗的出血风险,但仍然不能缓解其房颤发作时的严重症状。通过射频消融术根治房颤,缓解其症状,改善生活质量,相对药物治疗而言,更为合适。
另外,对于本患者,行导管消融术效果不佳,仍可选择药物治疗或左心耳封堵等手段。通过对患者一般情况和病情综合评定,结合术者经验、患者意愿等因素考虑,将导管消融术作为首要推荐。
诊疗经过
患者对频繁的房颤发作感到焦虑,有强烈的控制发作的愿望,因此最终决定行经导管射频消融术。
术中常规消毒铺巾,穿刺双侧股静脉,置入10极CS电极,穿刺房间隔并行LA-PV造影(图3),LA三维标测建模,行双侧环肺静脉消融及三尖瓣峡部消融,并实现阻滞,反复BURST刺激未能诱发心动过速(图4)。术中考虑高龄人群心肌纤维化增加,保持消融导管贴靠压力维持在10g左右,控制放电时间,以保证消融效果且防止过度消融,X线照射采用低剂量模式,监测血压/5分钟,专人随时与患者沟通,观察生命体征及特殊不适症状。手术过程顺利,双侧肺静脉前庭逐点消融后即实现隔离,避免了重复消融,整台手术历时90分钟。术后患者安返病房(图5:术后心电图)。
术后患者恢复良好,3日均无心动过速发作,维持窦性心律在60 bpm左右,康复出院。嘱其出院后继续口服利伐沙班10 mg/d 三个月;入院时有轻度甲状腺功能减低,不除外既往应用胺碘酮所致,入院后停用,内分泌科随诊;维持其降压、降脂、降糖等治疗,定期随访。

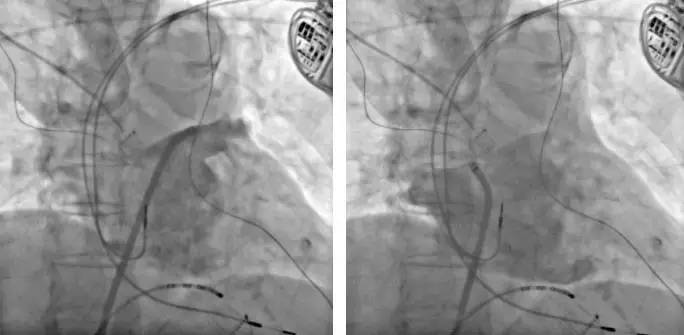
图3.LA-PV造影,左右两图分别为左、右肺静脉造影,同时可见双腔起搏器及电极。




图4.A:右肺静脉隔离;B:左肺静脉隔离;C:三尖瓣峡部阻滞;D:BURST刺激未能诱发心动过速。

图5. 术后心电图
教学点
对于高龄的房颤患者,在选择治疗策略时应遵循"个体化治疗"的原则。
对于房颤卒中高危的高龄患者,应充分评价其出血风险,并根据肌酐清除率等调整抗凝药物剂量和强度。
对于不存在禁忌证的高龄患者,导管消融术仍然可作为推荐的治疗策略,应根据经济/效益比、患者主观意愿、术者或电生理中心的经验等进行综合评估和决策。
作者:首都医科大学附属北京安贞医院 王琎 胡荣 马长生
心在线 专业平台专家打造
编辑 郭淑娟┆美编 柴明霞┆制版 郭文强