导读
垂直眼震(vertical nystagmus)主要有上跳性眼震(upbeat nystagmus,UBN)和下跳性眼震(downbeat nystagmus,DBN)两类。是前庭医学领域较为常见的神经眼科体征。本文首先对上跳性眼震的形成机制进行简介,后续会有文章继续介绍下跳性眼震,以期为眩晕诊疗医师临床定位诊治提供帮助。
作者:陈钢钢,樊辉如
单位:山西医科大学第一医院耳鼻咽喉头颈外科
本文为作者授权医脉通发布,未经授权请勿转载。
上向的前庭眼动信号通路
垂直向的前庭眼动反射(vestibulo-ocular reflex,VOR)直接通路
垂直向的前庭眼动反射直接通路主要分为兴奋性和抑制性两类。其中涉及到的中枢解剖结构包括前庭神经核群、眼动神经核群、内侧纵束、腹侧被盖束等。
➤ 兴奋性的上向前庭眼动传导束:起自前庭神经内侧核(media vestibular nucleus ,MVN),进入对侧内侧纵束(medial longitudinal fasciculus ,MLF)向上传导,至眼动神经核团,即兴奋性MVN-MLF通路。
➤ 抑制性的上向前庭眼动传导束:起自前庭神经上核(superior vestibular nucleus ,SVN),经同侧MLF向上传导,至眼动神经核团,即抑制性SVN-MLF通路,抑制性通路属于辅助通路。
➤ 另外一条兴奋性的上向前庭眼动传导束:腹侧被盖束(the ventral tegmental tract,VTT)起自SVN,接受上半规管兴奋性传入,产生向上的眼球慢速运动。VTT自SVN发出后,在脑干下段走形于小脑上脚的腹外侧,在脑桥中段弓形向内走形并进入脑桥腹侧被盖,紧贴脑桥被盖网状核的上极,并在此水平交叉(该交叉在人类可能位于脑桥后基底部),之后在对侧脑桥上段的腹侧被盖内向喙侧走形,与内侧丘系相邻,止于动眼神经核的上直肌和下斜肌运动神经元。即兴奋性上向SVN-VTT通路。可见兴奋性的上向前庭眼动信号经两条通路传导:兴奋性MVN-MLF通路和SVN-VTT通路。

图1 VTT的解剖通路

图2 病变累及VTT
上向的前庭眼动反射的兴奋性通路和抑制性通路同时作用,兴奋性通路兴奋使相应的上提眼外肌收缩,而抑制性通路又抑制对应的眼外拮抗肌松弛,“一紧一松”协同合作,共同完成上向前庭眼动反射眼球慢速运动。
上跳性眼震(upbeat nystagmus,UBN)
脑血管病、颅内炎症性疾病、自身免疫性疾病、肿瘤、小脑疾病、中毒性疾病等中枢性疾病以及部分外周性前庭疾病可引发上跳性眼震。UBN比DBN相对少见。文献报道UBN最常见的损伤定位在脑桥和延髓。文献报道UBN最常见的损伤定位在脑桥和延髓。
脑桥的损伤
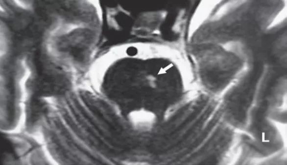
脑桥病变在脑桥腹侧被盖(he ventral tegmentum)和或脑桥后基底部(the posterior basis pontis)。通常病变范围较大,且双侧受累。该区域的损伤恰好伤及兴奋性上向SVN-VTT前庭眼动传导束。
SVN-VTT传导束损伤后,传导至眼动核团内上提眼肌的神经冲动减弱,导致上向和下向的兴奋性眼动张力不平衡,引起眼球缓慢向下偏移,从而引发向上的纠正性垂直扫视,即UBN。UBN一般振幅较大(10-15°),由于中枢前庭自适应机制的作用,UBN大约在2-3个月后可自行消失。

图3 脑桥损伤引起UBN机制示意图
延髓尾侧的损伤
延髓尾侧的损伤可引起UBN。其病理生理学机制尚不明了。目前学界推测主要的责任损伤可能位于舌下神经前置核(NPH)的下方,闰核(nucleus intercalatus ,NI)和Roller核(the nucleus of Roller ,NR)水平。而Roller核目前认为可能与上向前庭眼动通路相关。该核团位于NI上段的前内侧。
Roller核的损伤引起UBN的原因分析:(1)该核团主要在高级灵长类动物中存在(黑猩猩和人类),(2)Roller核接受来自SVN的丰富纤维传入并与VTT关系密切,(3)有丰富的传出纤维投射到绒球,对绒球起抑制作用。(4)当NR本身或周围区域损伤后,延髓NR-绒球抑制性传导束被阻断,对绒球(内有抑制性绒球-前庭神经元)的抑制丧失(失抑制),抑制性绒球-前庭神经炎过度兴奋,引起整个下游通路的过度抑制,引起UBN,同 VTT损伤类似。

图4 延髓尾侧损伤引起UBN机制示意图
知识拓展☟☟☟
有文献报道单侧小脑上脚的损伤也可能出现UBN。但目前该理论受到质疑。小脑上脚(BC)在脑干下段紧邻VTT,可能也参与传导一小部分垂直向慢速眼动信号,理论上小脑上脚的损伤可以出现UBN。但大部分研究者认为,上向前庭眼动信号主要还是经SVN-VTT传导而不是BC。小脑上脚主要介导垂直平滑跟踪信号(包括上向和下向平滑跟踪,上向信号占主导)。这些信号起自小脑齿状核和Y细胞群(位于SVN附近)。因此小脑上脚损伤后影响的更多是垂直平滑跟踪,而不是垂直VOR。
外周前庭系统损伤
外周前庭系统损伤引起纯UBN临床极为罕见,多为病例个案报道。
Sharon等人报道两例双侧上半规管裂修补术后诱发纯UBN的患者,这两位患者均为双侧上半规管裂,行双侧上半规管裂修补术后在原位凝视时出现纯UBN。考虑患者行手术治疗后双侧上半规管堵塞,功能减退,导致偶联的后半规管功能失去起“推拉作用(push-pull)”的上半规管拮抗效应,引起双侧后半规管和水平半规管对称性兴奋,导致双侧眼震的水平和扭转成分抵消,残留纯UBN。
Beyea等人报道一例双侧后半规管良性阵发性位置性眩晕的患者,在垂直头悬位时出现位置性纯UBN(具有1-5s潜伏期,持续时间<30s),CT和MRI检查未发现阳性表现。先行右侧手法复位治疗有效,6周后左侧也自愈。作者认为患者可能为双侧后半规管管结石症,在垂直头悬位检查时,双侧后半规管内耳石向非壶腹端流动,引起双侧后半规管兴奋,扭转成分抵消,上跳成分叠加,表现为纯BUN。但本文作者认为该病例分析亦有不妥之处:
(1)如果是双侧后半规管良性阵发性位置性眩晕诱发纯UBN,患者需具备以下几个条件:①按照Ewald定律,双侧半规管内耳石量相同,变位试验时流速相同,对双侧半规管内淋巴液的拉力相同,对壶腹嵴的刺激相同,才可使双侧眼震的扭转成分完全抵消;②双侧后半规管管石症的复位效果较好,有效率可达95%以上,如果考虑双侧后半规管管石症,患者应在第一时间行双侧手法复位并且有效,但该患者并没有在第一时间行双侧复位。
(2)并非所有中枢性眩晕疾病都可以用CT和MRI等影像学检查发现,如前庭性偏头痛,目前文献研究已经发现,前庭性偏头痛患者可出现位置性眼震,虽然上跳性眼震少见,但并不能完全排除。需结合患者病史,并继续随访观察后续发病情况,才能做出准确诊断。
敬请期待后续文章“下跳性眼震”……
参考文献:
[1] Pierrot-Deseilligny C, Milea D. Vertical nystagmus: clinical facts and hypotheses[J].Brain[J]. 2005 ;128(Pt 6):1237-1246.
[2] Adamec I, Gabelić T, Krbot M, et al. Habek M.Primary position upbeat nystagmus[J].J Clin Neurosci. 2012;19(1):161-162.
[3] Schniepp R, Wuehr M, Huth S, et al. The gait disorder in downbeat nystagmus syndrome[J].PLoS One. 2014 ;20;9(8):e105463.
[4] Kim JA, Jeong IH, Lim YM, et al. Primary Position Upbeat Nystagmus during an Acute Attack of Multiple Sclerosis[J].J Clin Neurol. 2014;10(1):37-41.
[5] Shaikh AG, Ghasia FF, Rasouli G, et al. Acute onset of upbeat nystagmus, exotropia, and internuclear ophthalmoplegia--a tell-tale of ponto-mesencephalic infarct[J].J Neurol Sci. 2013 ;15: (1-2):56-58.
[6] Kattah JC, Dagli TF. Compensatory head tilt in upbeating nystagmus[J]. J Clin Neuro-Ophthalmol 1990; 10: 27–31.
[7] Choi JH, Jung NY, Kim MJ, et al. Pure upbeat nystagmus in association with bilateral internuclear ophthalmoplegia [J].J Neurol Sci. 2012;317(1-2):148-150.