
文字/喵喵
编辑/喵喵

«——【 ·前言· 】——»
Rho激酶*制剂抑**(ROCKi) 是目前唯一可用于直接靶向和改善传统流出功能的青光眼药物,但由于Rho相关蛋白激酶(ROCK)在多种细胞过程中其抗纤维化作用的机制复杂多样,所以针对不同组织和病理状态的特异性研究,对于评估ROCKi作为抗纤维化药物的疗效极为重要。

本研究中,我们将探讨奈塔舒地尔NT在治疗类固醇诱导OHT中的恢复和抗纤维化机制,主要为了鉴定ROCKi 能否降低对传统药物治疗无效的类固醇诱发青光眼患者的高眼压症(OHT,即眼内压升高[IOP])。

实验最终的目的是为了揭示rho激酶*制剂抑**在免疫特权环境下,能够预防或减轻糖皮质激素诱导的高眼压症引发的纤维化疾病进程,进一步的确认rho激酶*制剂抑**对于无法被传统药物有效控制眼压的患者有着潜在的临床疗效。
我们确信,局部给药 ROCKi NT 可以降低对传统药物治疗无效的类固醇诱发青光眼患者的眼压,并且有望对患有类固醇引起高眼压的患者,提供新的临床治疗策略。

一、C57小鼠眼压测量及流出设施研究
本研究中,我们使用3至6个月龄的C57BL/6(C57)小鼠,雌雄各半,保存在21°C的饲养室,光照定为黑暗周期为12小时,通过注射含有地塞米松的NP(DEX-NP)到结膜下或眼周间隙来诱导小鼠的眼球高压(OHT),将DEX-NP在PBS中稀释至最终浓度50 µg/µl,涡旋10分钟后超声处理10分钟,用100 mg/10 mg/kg氯胺酮/甲苯噻嗪麻醉小鼠。

拔出针后,把新霉素和硫酸多粘菌素B抗生素软膏涂抹在眼睛上,并将小鼠置于温热垫上恢复,每周1-2次,持续3-4周,在逆转研究的最后4天,每天一次将DEX眼药膏涂抹于双眼。
在上午10点至下午1点之间,小鼠处于轻度睡眠状态时使用回弹眼压计测量眼压,每次测量6次并取平均值。

每周使用iPerfusion系统测量小鼠眼压两次,在4周的NT/PL治疗结束后,使用异氟醚实施安乐死,去核小鼠眼球,然后将眼球装入位于灌注室中心的稳定平台。
随后注入预热的杜氏磷酸盐缓冲盐水和5.5 mM D-葡萄糖(DBG)至灌注室中,浸没眼球并将温度调至35°C,使用两个玻璃微针连接的系统,微针后部充满过滤后的DBG。

再用微型机械手将一根微针分别插入配对眼睛的前房,但不接触虹膜,两只眼睛在9 mmHg下灌注30分钟以适应和稳定,然后在4.5、6、7.5、9、10.5、12、15、18和21 mmHg的九个压力步骤下进行灌注。
根据既定标准剔除了质量较差的步骤和后续压力步骤,每个压力步骤4分钟内的平均稳定流速(Q)和压力(P)用于数据分析,以便我们计算流出设施。

二、NT 降低类固醇引起的青光眼患者的 IOP
基于之前在类固醇性青光眼研究中观察到小梁网(TM)的变化,我们测试了奈塔舒地尔(NT)在对传统一线治疗反应不佳的类固醇引起的眼压升高患者中的降压效果。
通过回顾性审查患者记录,从三个治疗中心筛选受试者构建两个队列,第一个队列通过对杜克眼科中心电子病历的无偏见回顾性搜索而建立,在该搜索中,鉴定出19名患者(平均年龄66.8岁)的21只眼睛曾因多种眼部疾病接受过糖皮质激素(GC)治疗,进而发展为高眼压症。

而治疗后平均眼压降至16.4 ± 4.9 mmHg,处于正常范围内,其中不容忽视的是,在治疗的第一个月内,患者未减少类固醇使用剂量,因此眼压下降不可能是由于停用类固醇引起,针对第二组患者,由经验丰富的青光眼专家回顾病历,包括单次诊断为类固醇诱发青光眼,都未能通过传统治疗控制病情的患者。

我们从8名患者中选择了11只眼睛,患者平均年龄为58.4岁,治疗前眼压与第一组相似,为26.5 ± 7.7 mmHg,NT同样显著降低第二组患者眼压,平均降低7.0 mmHg(p=0.0003),使眼压降至19.5 ± 5.8 mmHg。

三、NT 减少类固醇引起的 TM 硬化
TM 是传统流出途径中的关键组织,GC 治疗显示其机械刚度增加,与流出设施呈负相关,我们之前表明,GC 治疗降低了施累姆氏管 (SC) 管腔在眼压升高时塌陷的趋势,这种效应似乎是由 TM 硬度的变化介导的。
由于 NT 等 ROCKi 会降低细胞收缩力并充当抗纤维化药物,我们假设 NT 会逆转类固醇引起的传统流出组织僵硬,并在眼压升高时导致更多 SC 塌陷,为了检验这个假设,我们使用了上面的逆转方案。

最后一次 NT/PL 治疗后第 5 天,将小鼠麻醉并固定在定制成像平台上,用连接到储液器的单针对 NT 或 PL 治疗的眼睛的前房进行插管,从而控制 IOP。
使用光学相干断层扫描 (OCT) 对传统流出组织进行成像时,眼压被钳制在五个不同的水平,随着眼压的增加,NT 和 PL 治疗眼的 SC 管腔变小,但程度不同。

在 PL 治疗的眼睛中,SC 管腔在 IOP 为 20 mmHg 时仍然开放,而在 NT 治疗的眼睛中 SC管腔几乎完全塌陷,事实上,在每个压力水平下,NT治疗组和PL治疗组之间的SC管腔横截面积存在显着差异。
接下来,我们基于体内获取的 OCT 图像,使用逆有限元建模 (iFEM)量化了 NT 对 TM 刚度的影响,这种 iFEM 程序使我们能够根据 SC 塌陷和相关 TM 变形的结构分析来推断 TM 刚度,该程序是对 NT 和 PL 处理组的 OCT 图像进行的。

我们推断 NT 治疗组的 TM 组织硬度值为 22 kPa,而 PL 治疗组的 TM 组织硬度值为后一个值,与我们之前在 DEX-NP 治疗的眼睛中测量的 69 kPa 的 TM 刚度一致。
值得注意的是,我们在 NT 治疗眼中估计的 TM 硬度接近于我们之前在幼眼中确定的 29 kPa 值,对于因长期 GC 给药而导致高血压的眼睛,仅给药 4 天后,NT 似乎就使 TM 硬度恢复到接近对照水平。

我们希望能够对一组接受 NT 处理的小鼠眼睛进行独立且直接的 TM 硬度测量,为此,我们使用了原子力显微镜(AFM),使用逆转治疗方案,我们观察到与对侧眼睛相比,NT 显着降低了 TM 组织硬度 23%。
当 PL 和 NT 组的硬度测量值标准化为未治疗的对侧眼睛时,我们观察到 NT 引起的软化趋势,但可能由于样本量较小而并不显着(p = 0.15)。

四、NT 在 GC 处理的常规流出组织中的抗纤维化活性
在光学显微镜水平上,我们观察到 NT 与 PL 治疗的类固醇诱导的 OHT 眼中传统流出组织没有明显的形态变化,相反,我们观察到 NT 治疗降低了 α 平滑肌肌动蛋白 和 纤连蛋白 的表达,这两种纤维化指标已知在 GC 后传统流出组织中升高治疗。

PL 与 NT 治疗组切片 TM 区域的平均荧光强度以 掩蔽方式量化 ,但 NT 处理显着降低了 αSMA (4K,p=0.037)和 FN 蛋白表达 (4J,p=0.007),事实上, NT 介导 的下调导致 αSMA 和 FN 水平类似于之前在用 磷酸盐缓冲盐水 (PBS) 负载(假) NP 治疗的眼睛。
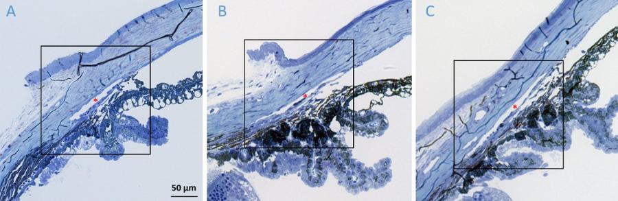
当在电子显微镜水平上进行检查时,我们观察到 NT 治疗对类固醇引起的 OHT 眼睛的两个主要影响,首先是 SC 内壁下方的基底膜材料 (BMM) 的数量和密度显着减少,第二个是接受 NT 治疗的眼睛 TM 中“开放空间”的数量明显增加,特别是在近泪管 (JCT) 区域,我们把这两个变化以 半定量 的方式进行评分,证实了 NT 治疗的观察印象。

此外,我们按照 Lütjen-Drecoll 方法量化了每个治疗组中 SC 内壁以下的 BMM 量,与 Overby 等人报告的结果类似,我们发现 DEX 治疗后小鼠中 SC 下的 BMM 长度显着增加。
事实上,我们对对照小鼠和 DEX 治疗小鼠的 BMM 比率测量结果在数量上与 Overby 及其同事报告的结果相似,最重要的是,这些数据证实了 PL 和 NT 治疗的眼睛之间存在显着差异,其中 NT 似乎部分恢复了内皮下区域的 超微结构 。

结论
当前我们在研究中发现,NT 有效降低了标准青光眼药物难治性的两组不同患者中类固醇诱导的 OHT,这一临床观察结果是在可靠的、已建立的类固醇诱导 OHT 小鼠模型中进行的机制研究。
与患者一样,NT 可以减少小鼠体内长期类固醇诱导的 OHT,并预防类固醇诱导的 OHT 的发生,NT 介导的小鼠 OHT 救援伴随着正常流出设施和传统流出组织硬度的恢复,以及 TM 的显着形态改变。

在 NT 治疗的小鼠中观察到的 IOP 效应大部分或完全可以通过流出设施的变化来解释,这与我们对 TM 硬度的直接和间接测量一起表明 TM 是介导 NT 对 IOP 影响的组织,因此,这是 FDA 批准的“TM 活性”青光眼药物预防和拯救类固醇诱导的 OHT 的首次证明,并表明 ROCKi 化合物在 TM 中具有有效的抗纤维化活性。

虽然患者数据令人鼓舞,但方法仍然存在局限性,于是我们回顾性图表审查,涉及少数患者,这些患者是一些(但不是所有)医生将 NT 治疗作为最后手段的,因此没有对照组来确定有多少患者接受一线或二线药物的有效治疗。
这些局限性以及本文提出的新数据激发了对 NT 与一线抗青光眼药物在降低类固醇诱导的 OHT 方面进行随机前瞻性临床研究的需要。

因为使用纳米技术在小鼠中产生类固醇诱导,从而产生了一个与人类条件下类固醇诱导的观察结果密切匹配的模型(流出设施减少,TM 中 ECM 积累增加,眼压升高) )。
本研究表明我们的类固醇诱导 OHT 小鼠模型的实用性及其与人类临床状况的转化相关性,在接受玻璃体内 GC 递送植入物治疗葡萄膜炎或黄斑水肿的患者中,OHT 的发生率很高,对标准青光眼药物难以治疗的人类类固醇诱导的 OHT 患者对 NT 反应良好。

这项回顾性研究鼓励开展一项前瞻性研究,测试 NT 作为类固醇引起的 OHT 的一线药物,我们的研究利用 OCT 和 iFEM 对传统流出功能、健康进行非接触、非侵入性估计。
结果证实,该技术可能具有分辨率来检测由于 GC 治疗和药物治疗后功能恢复引起的常规流出功能障碍的变化。
参考文献
1. 克拉克AF,斯蒂利·HT,迪克森乙脑,英语-赖特 S,斯特罗普基·K,麦卡特尼医学博士,雅各布森N,谢泼德 AR,吉克拉克松岛H,佩斯金德急诊室,莱弗伦茨 JB,威尔金森CW,斯威德斯基RE,芬格特 JH,谢菲尔德 VC,石EM: (2001) 糖皮质激素对人和猴小梁网细胞和组织中青光眼基因 MYOC 的诱导
2. 豪德克SB,古普塔D,德瓦尔德·O,施瓦茨RJ,魏丽审判J,恩特曼:(2009) Rho激酶-1通过调节成纤维细胞前体细胞分化介导心脏纤维化
3.刘斌,麦克纳利小号,基尔帕特里克·吉,贾维斯 SP,奥布莱恩 CJ :(2018) 青光眼的衰老和眼组织僵硬