门诊上很多患者因为轻微外伤或大量活动后,引起某个部位疼痛,经过多项检查均未发现明显异常。最后进行了核磁共振检查,报告提示:**部位

患者一看,骨髓水肿?啥意思?是骨髓肿了吗?只听说过软组织水肿,没听说过骨髓也能肿!能治疗好吗?需要多长时间?
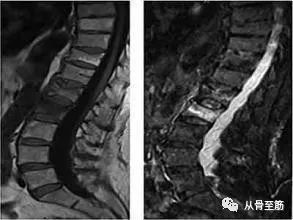
骨髓水肿这个名词,是随着磁共振成像(MRI)技术的应用而出现的,也就是说,只有在MRI检查中才能发现这种现象。病变区在MRI的T2WI压脂像上白,在T1WI上黑,与软组织水肿的影像学改变相似,故称为骨髓水肿。
其他影像检查不能够发现或诊断骨髓水肿(包括X线片、CT、超声等)。“骨髓水肿”并不是独立的疾病,只是某些疾病中的表现之一或某一阶段。就像关节腔积液不是一个独立疾病一样。外伤造成的骨髓水肿通常称为骨挫伤或隐匿性骨折,这是由于骨小梁的微骨折,引起局部的出血水肿和局部微细结构的改变。

骨髓水肿见于哪些疾病?
骨髓水肿可见于:
1、骨感染性疾病:如骨髓炎、结核;
2、骨关节外伤:特别是X光片无明显骨折的挫伤;
3、肿瘤,转移性病变更明显;
4、骨的缺血性疾病:如股骨头坏死、距骨坏死;
5、骨关节免疫性疾病:最常见的是类风湿性关节炎、强直性脊柱炎等;
6、退行性骨关节病;血液系统的疾病:白血病,骨髓瘤等;
7、其他:中毒性骨病,如镉中毒等造成骨溶解而伴骨髓水肿;痛风性关节病等。
骨髓水肿怎么办?
MRI是目前诊断、评价骨髓水肿的最佳手段。疼痛的程度与骨髓水肿的严重程度相一致,随着MRI骨髓水肿严重程度的减退,患者的疼痛的程度也相应减轻。发现骨髓水肿,首先应查明病因,积极治疗原发病。

对于外伤性骨髓水肿,累及负重肢体部位应充分卧床休息,避免关节负重,休息时间要足够长(骨髓水肿一般会在六个月左右才能消退,疼痛持续可能达3-6个月,甚至更长),必要时口服非甾体类抗炎止痛药物,辅以局部理疗,针灸、烤电,超短波等。中药外敷效果也不错。对于椎体骨质疏松压缩性骨折引起的骨髓水肿,可行椎体成形术,止痛效果良好。
“ 骨髓水肿”并不是真正的骨髓“肿”了,只表示局部含水量增加,局部有病变。一旦发现,应按医生嘱咐积极正确处理。