在一周前,上海交通大学医学院附属仁济医院胆胰外科接诊了一位特殊的患者。该患者被当地省人民医院诊断为无法手术。而来院后,肝胆胰外科的专家团队成功为患者切除了巨大的肿瘤。
张女士因为下腹部胀满不适数月,就诊于当地省人民医院。省人民医院的知名专家经过检查后,认为张女士的病情已经无法进行手术,只能回家等待自然发展。张女士听到这个结果无法接受,她慕名来到上海仁济医院,胆胰外科的王从俊主任在看到患者的CT和磁共振之后,也感到有些吃惊。
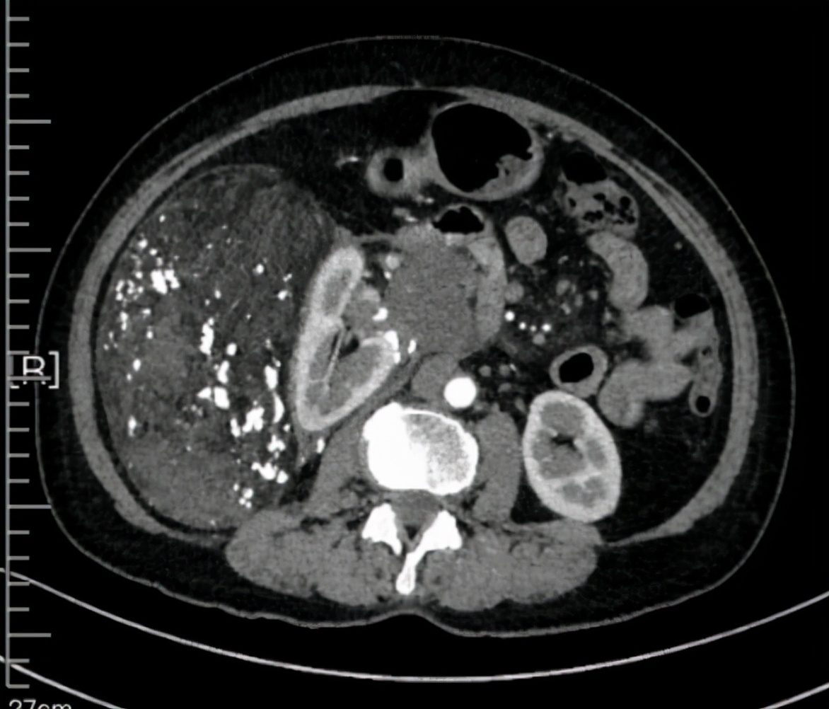
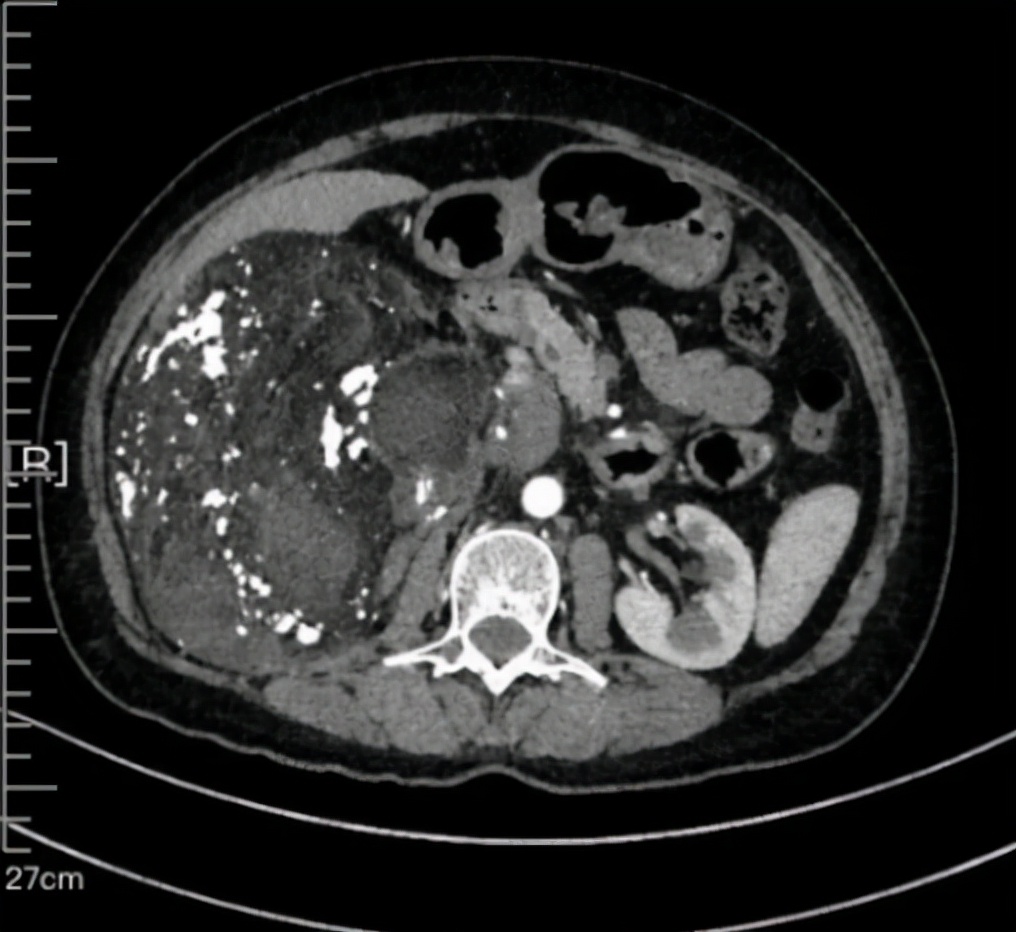
这个患者表现为右侧腹部后腹膜巨大肿瘤,上级侵犯到第二肝门,压迫下腔静脉和肝右静脉,右侧压迫下腔静脉,肿瘤侵犯下腔静脉上下,右侧侵犯肾门。肿瘤最右侧在腹主动脉左侧,直径超过25公分,压迫结肠十二指肠等。

术前

术前
由于肿瘤体积巨大,血供丰富,手术创伤大,手术时间长,而且肿瘤与邻近器官组织或大血管粘连、浸润,操作空间很小,极大限制了对肿瘤的切除。可以预见的是手术难度极大。但是患者具有强烈的手术愿望,要求手术。在泌尿外科,内分泌科等会诊后,全科讨论后决定对张女士进行全麻下腹腔后腹膜肿瘤切除术。王从俊主任将手术方案与患者、家属充分沟通后,取得了患者和家属的理解和信任。
术中肿瘤固定,为了术后病人恢复顺利,术中采用腹正中切口,小心分离肿瘤周边组织。为了完整切除肿瘤,术中切除了部分腰大肌肌膜,使得肿瘤完整切除取出,术中出血100毫升左右。在近3个小时的手术后,当医生小心翼翼地将肿瘤“掏”出后,在场的医护人员也不禁对这颗完整摘除出的肿瘤表示出了惊讶。测量显示该肿瘤大小为28×25×20cm,约8斤多重,十分罕见。术前病理穿刺提示脂肪肉瘤,目前张女士恢复良好,正在等待正式病理报告,决定下一步的治疗。
拓展阅读:
据介绍,后腹膜脂肪肉瘤是腹膜后肿瘤的一种形式,在临床中较为罕见,且因腹膜后间隙大、组织疏松、部位深等特点,疾病早期症状不明显,患者难以察觉。
腹膜后肿瘤是临床较为少见的肿瘤类型,在全身肿瘤疾病中占 0.1%~0.6%,中老年(40~70 岁 )为高发人群。放疗或化疗等手段,对腹膜后肿瘤的治疗均不敏感,临床对该病的治疗主要以手术为主,在保障安全的前提下,尽可能行根治性切除,即便可以完全切除,仍有52%的患者会复发。因为术后易复发,很多术者望而却步,术中为保护器官、血管容易残留肿瘤。因此术后患者应定期随诊,B超或CT等追踪检查可及早发现其复发,以利于尽早治疗。
专家介绍

王从俊,主任医师,医学博士,博士后,副教授,留美访问学者,上海交通大学医学院附属仁济医院胆胰外科主任医师。1995年毕业于同济医科大学,2006年获得博士学位,2006年在上海交通大学器官移植中心博士后,晋升副主任医师,2010年晋升副教授,硕士研究生导师,担任上海市普外科学会青年委员,美国胰腺病学会会员,国际胰腺病学会会员,中国研究型学会胰腺病青年委员。上海中西医结合胰腺病委员会委员,上海市中西医结合胆胰学组秘书长兼委员,《世界华人消化杂志》编委,《临床外科杂志》编委,中华实验外科杂志通讯编委等10杂志编委和审稿专家,国家自然科学基金评审专家,上海市自然科学基金评审专家,2014.2-2015.6美国密歇根大学癌症中心,胰腺癌中心访问学者,师从美国外科学会主席,美国胰腺病学会主席Simeone教授,从事大量的临床、手术及基础研究。主持国家自然科学基金面上项目3项,主持完成省市科技攻关重点项目5项,发表SCI文章20篇,国内权威杂志40余篇,核心期刊20余篇。
擅长:复杂胰腺、胆道、肝脏外科疾病的诊治。腹腔镜胰十二指肠切除术,腹腔镜肝切除,腹腔镜胰体尾切除术。