肺癌是发病率和死亡率增长最快,对人群健康和生命威胁最大的恶性肿瘤之一。
近50年来许多国家都报道肺癌的发病率和死亡率均明显增高,男性肺癌发病率和死亡率均占所有恶性肿瘤的第一位,女性发病率占第二位,死亡率占第二位。
病因
1、吸烟。吸烟是肺癌的最重要的高危因素,*草烟**中有超过3000种化学物质,其中多链芳香烃类化合物(如:苯并芘)和亚硝胺均有很强的致癌活性。几乎所有肺癌患者的发病与吸烟有关烟是极酸的物质,极易导致人体酸化,酸性体质容易诱发癌症。
2、环境因素。比如云南个旧和宣威,是全世界着名的肺癌高发地区,氡、锡、砷、甲苯等致癌物质使这个地区成为肺癌高发区。
3、大气污染。工业和交通发达地区环境中存在大量含有苯并芘致癌有害物质,使得肺肿瘤发病率居高不下。
4、职业因素。长期接触铀、镭等放射性物质及其衍化物、致癌性碳氢化合物、砷、铬、镍、铜、锡、铁、煤焦油、沥青、石油、石棉、芥子气等物质,由于人的饮食结构和生活习惯的改变,体质酸化造成代谢循环变慢,整体的免疫机能下降,给这些放射性元素以可趁之机,诱发细胞癌变。
5、人体内在因素。如家族遗传,以及免疫机能降低,代谢活动、内分泌功能失调等,将会对肺肿瘤的发病起到某些促进作用。
6、肺部慢性疾病。如肺结核、矽肺、尘肺等可与肺癌并存,本身这些慢性病的发生就是体质酸化导致的肺部细胞感染,细胞缺氧,细胞活性降低。

分类
肺部肿瘤,分为两种,肺部(包含支气管)发生的原发性肺部肿瘤和由其它器官发生转移到肺部的转移性肺部肿瘤。
另外,原发性肺部肿瘤根据其性质分为良性肿瘤和恶性肿瘤。恶性肿瘤,增殖速度快、对周围组织破坏性大、随着生长向其他脏器转移。
1.肺部良性肿瘤
和皮肤上长瘊子和黑痣一样,人的肺部也会长很多各种各样的良性肿瘤。这些良性肿瘤一般没有症状,长大的速度也比较慢,也没有转移。如果确诊为良性肿瘤而且没有症状的话,定期到医院检查就可以了。
但是,随着时间的推移肿瘤变大,由于肿瘤部位的不同导致咳嗽或者有痰,压迫气管或者支气管导致肺炎或者呼吸困难。另外,通过X线或CT检查不能确认是否是肺癌等重大疾病的情况也有。放任不管最终癌化的情况也有发生。
这种情况下用手术的方式取出肿瘤是必须的。确诊为肺部良性肿瘤的时候,不要过度惊慌,注意定期到医院检查是十分重要的。

2.肺癌
肺部会发生各种各样的恶性肿瘤,其中大部分为肺癌。肺癌,是从覆盖支气管和肺部的上皮细胞发生的。
肺癌,小细胞肺癌和非小细胞肺癌有很大区别。小细胞肺癌占肺癌全体比例的10%~15%,剩下的85%~90%为非小细胞肺癌。
小细胞肺癌和非小细胞肺癌的疾病特征和治疗用药疗效都有很大区别。正确的区别小细胞肺癌和非小细胞肺癌以后,才能正确决定治疗方法,预测肺癌是否能够治愈。
小细胞肺癌,增殖速度特别快,发现的时候就已经转移到其他脏器了的情况比较多,是恶性度极高的癌症。相反,抗癌药或放射线治疗比较有效,所以多数情况下小细胞肺癌的治疗不是通过手术,而是进行抗癌药和放射线治疗。
非小细胞癌症和小细胞癌症相比增殖的速度相对较慢,用抗癌药和放射线治疗很难见效。早期发现的话,如果手术可以完全切除,基本上是可以治愈的。

检查和诊断
疑似肺癌接受检查的时候,除了一般的检查还要加上以下的检查方法。
(1)咳痰检查
咳痰检查,在没有痛苦的情况下检查肺的局部疾病非常有用的检查方法。在检查是否有癌细胞的同时,可以进行结核菌等细菌检查,判断与其他疾病的区别。
最近,对于咳痰困难的患者,吸入盐水促使吐痰的诱发咳痰法也有应用。
(2)肿瘤标志物
有很多肿瘤标志物,就肺癌而言,针对小细胞肺癌的专门GRP、NSE,在非小细胞肺癌中,针对腺癌的CEA,针对扁平上皮癌的SCC等代表性标志物。
(3)支气管内视镜检查
是有一定程度的痛苦和危险伴随的检查项目。是否是肺癌、如果是肺癌的话进展到什么程度,是判断肺癌的不可欠缺的重要检查。
观察支气管内部的同时,从病灶直接取样细胞或者组织进行详细的检查。
(4)CT检查
和以往的胸部X线检查相比,肺部所有的区域都能够正确的检查。是否向淋巴结转移等也能做出正确的判断。对于检查是否患有肺癌以及进行到什么程度等都是十分重要的检查手段之一。

最近开发出来的螺旋式CT能够检查出非常小的病变,对于身体检查和精密检查发挥着很大的威力。
(5)MRI检查
通过检查出磁力确认病变的存在位置,确认病变的性质。这种检查特别适用于检查癌症是否侵袭肺的相邻脏器纵膈以及癌症是否向脑部、骨部、骨髓转移。
(6)放射性同位素骨扫描
一次性彻底检查癌症是否向全身骨部转移的检查,决定病期选择治疗方法时进行。
(7)超声波检查
可以很方便的实施检查,副作用也很少的检查。检查腹部积水的情况以及是否向肝脏等部位转移的情况时使用。
(8)换气血流放射性同位素检查
肺部是维持人体呼吸不可欠缺的脏器。通过手术切除病灶的时候,预测保留的肺部能否充分保证呼吸是极其重要的。
此项检查与肺部机能检查并用,可以预测手术后的肺部机能。切除范围较大,原本肺部机能不良的患者更要实施此项检查。
(9)PET/CT检查
肿瘤细胞,糖分的摄取和消耗都不同于正常细胞。利用这个性质检查患者是否有癌症,癌症的病灶在哪里。
对于区别肿瘤的良性与恶性、淋巴结转移的诊断、术后局部是否在发的确认等方面比以前的CT检查精密度更高。
(10)骨髓穿刺
小细胞癌症,骨髓转移的频度非常高。决定治疗方法前直接抽取骨髓细胞进行检查。
综上所述,有很多检查肺癌的方法。对于进行速度快的肺癌尽可能的尽早诊断,为了尽快决定最适合的治疗方法,常规诊断方法是一次性同时使用上面几种检查方法。
治疗方法
1、“简单粗暴”很有效 —— 手术治疗
在远古时候,便有了对癌症的描述,称之为肿块、瘤。显然在这种直观的认识下,直接切除是最容易想到的治愈方法。但是直到 19 世纪,麻醉技术,无菌技术等逐渐成熟,手术成为治疗癌症的主要方式。
然而在手术治疗的时候,医生无法判断癌症患者接受手术后的生存状况:有的接受手术后,可以活10年、20年,有的接受手术,却只能活3个月、5个月;有的肿瘤大的,切了活的很久,肿瘤小的,切了却很快死去。这些都是为什么呢?人们并不知道,肿块是由“异常的癌细胞”组成的。
直到今天,癌症若能早期就得到诊断,手术切除原发病灶仍是有效方法 。不过,不是所有患者都有手术机会。一方面,大部分非小细胞癌患者在确诊时,已经是肺癌晚期,出现全身多发转移,传统手术治疗可以使原发灶得到有效的控制,但对有转移性的癌细胞往往束手无策。另一方面,手术后如果无法得到有效的控制,癌细胞会有再次复发的风险,这一现实逼迫我们不得不另辟蹊径,寻求其他替代治疗。
2、大面积扫射 —— 化疗和传统放疗
二战期间使用的毒气、生物*器武**等等,偶然间也给了医学界一种新思路 —— 化疗。化疗是化学药物作用于肿瘤细胞的合成代谢,从而起到抑制肿瘤生长的作用。对于不能接受手术治疗的晚期患者来说,化疗是容易实现的治疗方式之一。
但是化疗药物在*伤杀**肿瘤细胞的同时,也将正常细胞和免疫细胞一同杀灭,因此,强烈的副作用在所难免。
放疗是用放射线来*伤杀**肿瘤细胞。放射治疗大多数疗效确切,能够显著巩固化疗或手术的疗效,延长肺癌患者的生存期。
相比化疗来说,放疗定位准确,正常组织损伤小。但是局部治疗也有局限性,因为照射范围小,不能保证照射区域的完整。所以放疗经常配合手术、化疗一起实施,这种综合治疗方案,需要医生对病人情况准确得评估判断才能有效。
3、一击必中 —— 靶向治疗
传统粗暴和大面积管理的治疗方式并没有使肺癌得到有效的控制,放化疗的方法像是“蒙着眼睛打靶”,命中率低。而靶向药物的出现,则大大提高了治疗的精确度及有效性。
靶向治疗的前提是要找到正确靶点,一旦明确了致癌的分子靶点,人体内的癌细胞就好像是带有标志的目标,更容易被*击狙**手找到,一枪毙命。

比如上皮生长因子EGFR是基于第一代药物易瑞沙发现的第一个肺癌靶点,更重要的是,在非小细胞肺癌中,这个突变位点的出现率高达30%—40% 。靶向药物的出现,给肺癌治疗带来了突破性进展。这样的发现促使科学家们致力于研究专门针对肺癌的靶点,他们研究到的肺癌靶点有很多,有的在癌细胞上,有的在其信号传导通路上。总之,靶向治疗最终的目的是打击癌细胞,又让正常的细胞不受伤害。
这种个体化精准治疗的靶向药物,让肺癌治疗进入一个新时代。医生在为患者定制治疗方案前,要求病人进行基因检测,如果有EGFR、ALK、ROS1等相关基因突变的患者,选择临床已批准使用的相关药物,比如第三代EFGR-TKI奥希替尼、第二代ALK*制剂抑**阿来替尼、塞瑞替尼,这些药物已经在肺癌治疗中发挥明显的疗效。
目前靶向治疗已经成为治疗晚期肺癌的必不可少的重要手段,非小细胞肺癌的晚期患者,只要明确了靶点,靶向治疗都是首选的治疗方案,因为它比较精准地作用于肿瘤细胞,对正常细胞影响少,毒性和不良反应之小也都是放化疗所无可比拟的。
因此为了更好的治疗,我们需要更好的基因检测方法,目前发现有药物可用的还包括ALK、ROS1、MET、RET等诸多靶点,应用于多靶点药物的克唑替尼在治疗也发挥出很好的疗效,未来更多的肺癌致病基因和靶向药物有待继续被发现。
4、人体防御墙——免疫治疗
如果把原癌基因比作“油门”,肿瘤抑制基因比作“刹车”,免疫系统相当于人体中随时待命的“警察”,“警察”起到的作用就是监管。当肿瘤抑制基因的刹车功能失灵之后,原癌基因开始肆无忌惮,这时免疫系统将激活身体里蓄力已久的T细胞,来充分发挥监管的作用。但是狡猾的肿瘤细胞却层层伪装,绕过免疫系统T细胞的监管。免疫药物的出现就是帮助免疫系统提升能量,当肿瘤细胞无法“骗过”T细胞时,癌症就得到了控制。

因此免疫治疗是通过应用各种生物制剂和手段,调节自身免疫力和抗癌能力来抑制和杀灭癌细胞。因此免疫治疗的优势是疗效的持久性,也就是说一旦起效,可以维持较长的时间。科学家们发现了免疫疗法的这个特点后,正将肺癌免疫治疗向一线以及巩固治疗方向提升,同时免疫治疗也成为部分肺癌患者优先考虑的治疗方式。
优秀的免疫治疗也有缺陷,整体的起效率不高,只有20%的人群对免疫治疗有效,但是别担心,科学家们使用联合其他方式的治疗手段,可以很大程度提高了患者疾病治疗的有效率,特别是改善免疫环境转化免疫敏感类型的理念值得深入探索。这种低毒高效的联合方式成为治疗肺癌的"潜力股"。
NK细胞免疫疗法为干预肺癌提供新途径
随着免疫学、干细胞生物学及组织工程技术等研究成果快速发展,NK细胞是机体抗肿瘤第一道防线,应用其在抗肿瘤天然免疫和特异性免疫中发挥重要作用,而成为肿瘤免疫干预策略中较有发展前景的方法。
NK细胞作为天然免疫系统的重要组成部分,广泛分布于外周各淋巴器官与血液循环系统中。
其是通过从肿瘤患者体内分离免疫活性细胞,再在体外进行扩增和功能鉴定,然后回输患者体内,从而达到直接*伤杀**肿瘤或激发机体免疫应答*伤杀**肿瘤细胞目的,为干预肺癌提供新途径!

NK细胞免疫疗法通过平衡两种受体消灭肿瘤细胞
NK细胞能够表达多种传递活化性信号的活化性受体,及传递抑制性信号抑制性受体,通过平衡这两类受体可以精准地调控NK细胞功能,利用这些免疫受体无需提前致敏,NK细胞即可识别并自发杀死异常细胞,如肿瘤细胞或被感染细胞。
异常细胞通过两种机制来启动NK细胞行使*伤杀**、分泌细胞因子和增殖等效应功能:一是下调表达NK细胞抑制性受体的配体,如主要组织相容性复合体(MHC) I类分子;二是上调表达NK细胞活化性受体的配体以克服抑制性信号。
与其他免疫细胞不同之处,NK细胞随时都处于“待命”状态,无需过多致敏或活化时间,即可行使*伤杀**功能,这一特点使其具有应用于免疫干预巨大潜能。

NK细胞免疫疗法直接清除肿瘤三种机制
NK细胞通过直接*伤杀**肿瘤靶细胞方式发挥抗肿瘤作用主要通过以下三种机制。
1、颗粒释放途经
NK细胞释放含有穿孔素和颗粒酶胞浆颗粒,穿孔素在靶细胞膜表面穿孔,使胞外水分进入细胞引起靶细胞滲透性死亡。颗粒酶也可通过细胞膜上小孔进入靶细胞, 启动caspase依赖或非依赖级联反应,诱导靶细胞凋亡。
2、死亡受体途经
部分NK细胞表达肿瘤坏死因子(TNF)家族成员,如FasL或TRAIL,FasL或TRAIL与靶细胞表面相应受体Fas或TRAILR结合后,诱导靶细胞凋亡。

3、分泌效应分子途经
NK细胞通过分泌多种效应分f如IFN-Y和一氧化氮(NO)可以抑制肿瘤血管形成,活化适应性免疫以及直接*伤杀**靶细胞方式发挥抗肿瘤作用。
4、ADCC途经
CD16与Fc段结合后,活化的 NK细胞直接裂解靶细胞。NK细胞抗肿瘤作用进一步被IL-2、IL-12、IL-15 和IL-18等细胞因子增强。
NK细胞免疫疗法间接清除肿瘤作用
当NK细胞与树突状细胞(DC)、巨噬细胞、T细胞和内皮细胞相互作用时,NK细胞能够通过分泌细胞因子(IFN-y、TNF-a和IL-10)、趋化因子和生长因子来发挥调节作用。
NK细胞分泌IFN-y可诱导CD8+T细胞转变为胞毒性T细胞 (CTL),同时也能协助CD4+T细胞产生Th1型应答,进一步促进CTL分化。此外,NK 细胞来源的细胞因子也能调控B细胞产生抗肿瘤抗体。
除T细胞和B细胞,NK细胞还能调节DC功能。被NK细胞*伤杀**肿瘤细胞可以作为肿瘤抗原,被DC摄取提呈从而诱导DC成熟,并促进DC向CTL提呈抗原,进—步活化T细胞促进肿瘤清除。因此,活化NK细胞可以通过调节T细胞、B细胞和DC功能,间接地发挥抗肿瘤作用。

2014年1月—2016年1月陕西某医院呼吸内科开展80例非小细胞肺癌患者临床研究,运用NK细胞免疫疗法干预后。
结果显示,所有患者KPS 评分、NK水平相较干预前均有显著提高,且血中IFN-γ、IL-4、TNF-α、Th1/Th2水平及生存曲线明显升高,患者Treg、TGF-β水平则有降低,且差异有统计学意义。

NK细胞免疫治疗案例
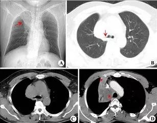
李先生,70岁,2016年4月确诊为左肺腺癌Ⅳ期,5月开始实施化疗共计6次,2017年复查,肺部病灶较前进展,再次化疗一周期后拒绝再次化疗,转为NK细胞免疫治疗。
2017年6月至2019年12月行NK细胞免疫治疗共计6次。
治疗获益:2017年胸部CT显示肿块大小为42*27*30(mm)、40*24*36(mm),2018年复查,病灶略缩小,大小为30*31*27(mm)、35*25*29(mm)。患者临床症状较前得到极大改善,精神、饮食、体重均恢复至病前水平,病情平稳。

如有肿瘤疑问可以点击头像私信 或 点击下方链接“了解更多”,与我进行一对一专业咨询,并免费获取免疫治疗的个性化方案,我愿尽我绵薄之力帮助给大家带来健康。