在二十世纪末和21世纪初呼吸及危重医学科盛行一种理念—“重锺猛击”,意思是在遇到重症肺炎时,给予广谱强效抗菌素,甚至可以联合使用,以期立即控制感染,来救治患者。
但是近十年来,越来越多的临床医生发现这一招在实际工作中的效果并不理想,反而后患无穷:例如有不少病毒性肺炎病人也可以表现为大叶性肺炎和呼吸衰竭,军团菌肺炎和衣原体肺炎也是重症肺炎的常客,但这些肺炎给予碳青酶烯类药物和万古霉素等抗阳性菌药物治疗是无效的。因此这几年一些知名感染病领域的专家提出抗感染治疗要有临床微生物学思维,包括浙医二院的王选锭教授、中国医大附一院的陈佰义教授等人屡次在会议上都强调这个问题,聆听他们的讲座开启了我对重症感染的诊治的思考。
这几年随着宏基因二代测序技术(mNGS)在感染性疾病的临床应用,我们对感染性疾病的认识有了质的飞跃,我个人也在这几年的诊治肺部感染性疾病中有一些新的认识。今天,我想陆续介绍一些病例来和大家谈谈肺炎的诊治临床思维。
上周末我值班,白天不停地接电话,一会儿是A床发热,一会儿是B床发热,护士妹妹说:“A床来了两天了,天天高热,现在又到40摄氏度(后面简称“度”)了,怎么办?消炎痛塞肛吗?”

上图 患者的体温单,后面几天是调整用药和使用激素后体温恢复正常。蓝色线是体温变化,红色线是脉搏变化。
我说道:“别急,先用冰袋降温,我去瞅瞅病历,了解一下情况。发热的病人要注意一下热型。”
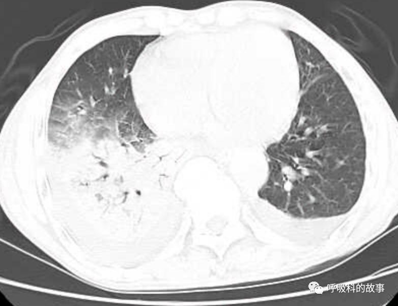
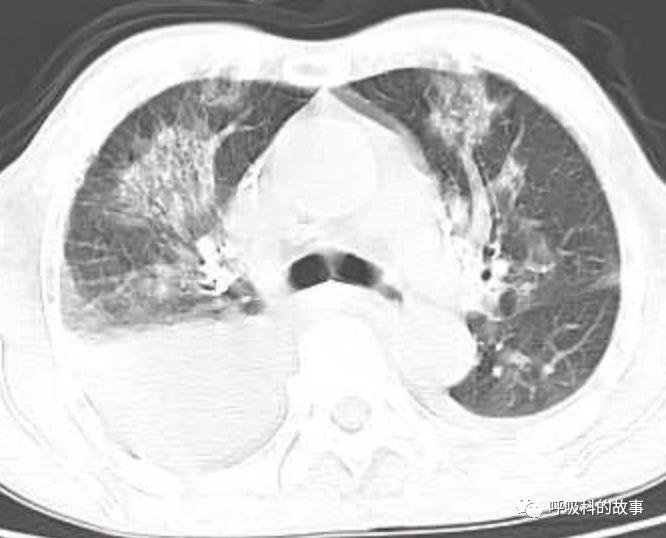
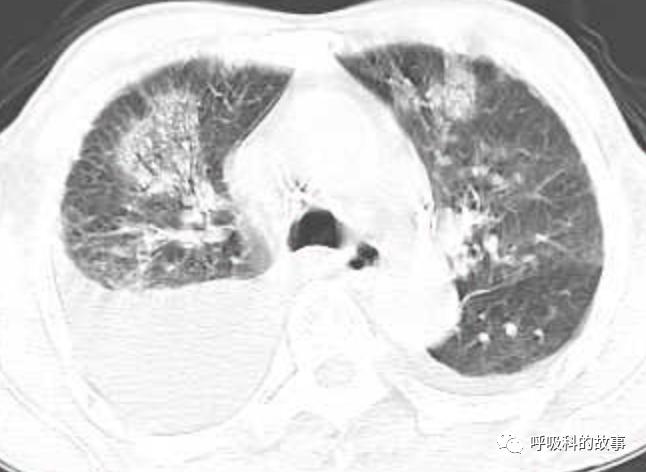
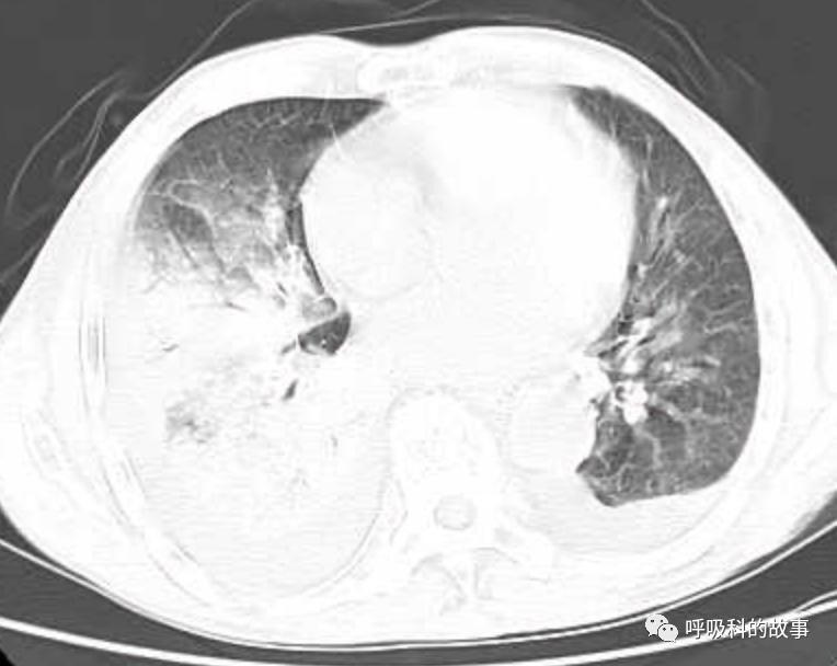
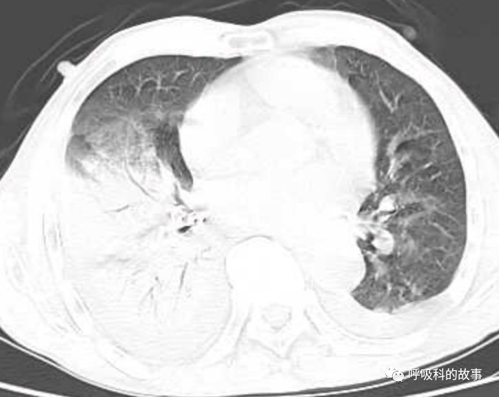
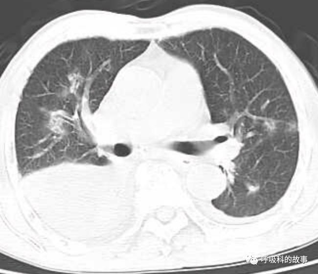
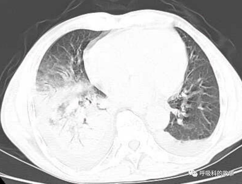
接着,我打开电脑看病历:患者,男,68岁,主诉:发热、头痛伴乏力10余天,咳嗽4天。肺部CT一看是右下叶大片实变肺炎,双侧少量胸腔积液,两上肺内中带片絮状斑片状影。2020.11.30 在外院检查 PCT 7.42ng/ml,ALT 199U/L,AST 250U/L,白蛋白24.7g/L,CRP 108.7mg/L,乳酸脱氢酶LDH388U/L(正常50-240),钾3.27mmol/L;血常规:白细胞4.9*10^9/L,中性85.2%。在外院给予了亚胺培南2天和本院美罗培南治疗2天后,效果并不理想。

在看完这些资料之后,我心中大致有了个方向,那就是这个病是由常见的肺炎球菌和流感嗜血杆菌、葡萄球菌感染引起的可能性很小。理由是这些阴性菌和阳性菌通常会引起白细胞明显增高或者白细胞降低,但是不太可能白细胞总数正常。另外一般肺炎感染很少会导致LDH增高。
接着我来到病人床边了解情况,我询问病史结果发现真实情况和病历并不完全一样,原来患者最初是头痛、乏力持续了一周,并没有发热,所以也没有就诊,就是在家休息。入院前三四天出现发热,才到当地医院就诊,而且发热程度很高,每天最高温度在39度以上。
当我得知这个情况后,我基本上知道患者是什么病原体引起的感染了,因此我紧接着问了一连串问题:“你是做什么工作的?”
“农民”
“平时饲养鸡鸭吗?”
“有啊,就是自已家养下蛋自己吃。”
“最近有没有鸡鸭病死的情况呢?”
“没有,都好好的。”
我边问问题边观察着病人和旁边的心电监护仪,患者此时的体温已到了39.8度,但是脉搏是96次/分,要知道对于绝大多数人来说,脉搏是和体温呈正相关的,体温越高,脉搏越快。但是,平时我们对此并不重视,而正是这些信息使我有很大把握诊断这个病人为鹦鹉热。

上表是相对缓脉的判断标准,例如体温38.9度时,正常脉搏反应是110次/分,如果脉搏低于100次/分就是相对缓脉。
来,我们总结一下病人的特点:
(1)农民,有饲养和接触禽类的病史;
(2)起病是以头痛神经症状开始,一周后出现发热;
(3)发热的特点是高热,每天最高体温都在39度以上,曾经超过40度,发热的过程中没有明显畏寒、寒战;
(4)有明显的相对缓脉;
(5)化验检查中白细胞总数不高、中性粒细胞增高为主,LDH明显增高;
(6)肺部影像以大叶性肺炎为主,其他部分是合并肺水肿的影像;
(7)患者经过广谱的抗感染治疗效果不佳。
这其中首发症状头痛和相对缓脉是我诊断鹦鹉热的关键,当然还要获得证据来支持我的判断,因此周一下午立即给病人进行了气管镜检查,标本送检mNGS,结果回报是鹦鹉热衣原体。

为什么说病史的询问非常重要?以这个病例为例,通常肺炎高热的病人伴有头痛头昏情况很普遍,但是很少有肺炎病人是以头痛为首发症状,而且病人还没有明显发热的症状。这种情况只有一些特殊病原体感染才有,其中鹦鹉热这种情况发生率最高。
第二个特征相对缓脉,出现这一征象的感染性疾病也非常少,特别是肺炎的患者,主要集中在非典型病原体,如军团菌和衣原体肺炎的病人上。
这个病人同时具备了这么多鹦鹉热衣原体感染的特点,在我眼里诊断其实并不难,后来做NGS也不过是提供了一下证据。但如果你没有临床微生物学思维,那么你肯定就是热锅上的蚂蚁,急得团团转。联合用药不仅没能控制病情,药物的不良反应甚至可能会加重疾病的复杂化。