记者徐睿捷 通讯员 陈彦西
右膝关节肿胀卡压,就像有一个个“小石子”跑了进去,难以屈伸,终日行走困难,又因身体状况无法耐受腰麻手术,汉口61岁的王女士4年来无奈只得杵着拐杖一瘸一拐走路。近日,经过武汉市中医医院骨伤二科的局麻关节镜微创手术治疗后,王女士终于重新恢复了正常行走能力。
2016年初,王女士突然发现自己的右膝关节肿胀的厉害,走不上半里路就觉得膝盖隐隐作痛,里面像是有什么东西卡住了似的,硌的生疼。症状持续性不缓解四个月后,王女士腿脚变得越来越不利索,站着难蹲下、蹲下站不起,只能借助拐杖行走。到医院检查后,王女士被诊断为右膝关节退行性病变,右膝关节腔见多发游离体,就像是有一个个“小石子”跑进膝关节里卡住了,需手术摘除治疗。但由于王女士心脏冠脉堵塞接近80%,伴有“三高”等多种疾病,且血糖控制不佳,常规腰麻风险较大,最终放弃了手术治疗。
杵拐行走近4年后,王女士的右膝关节已肿胀僵硬,完全无法屈伸,就连晚上睡觉时也只得侧身蜷缩在床上缓解疼痛,严重影响了正常生活。由于害怕手术,经多方打听,今年4月末,王女士来到武汉市中医医院寻求中医治疗。

术前图
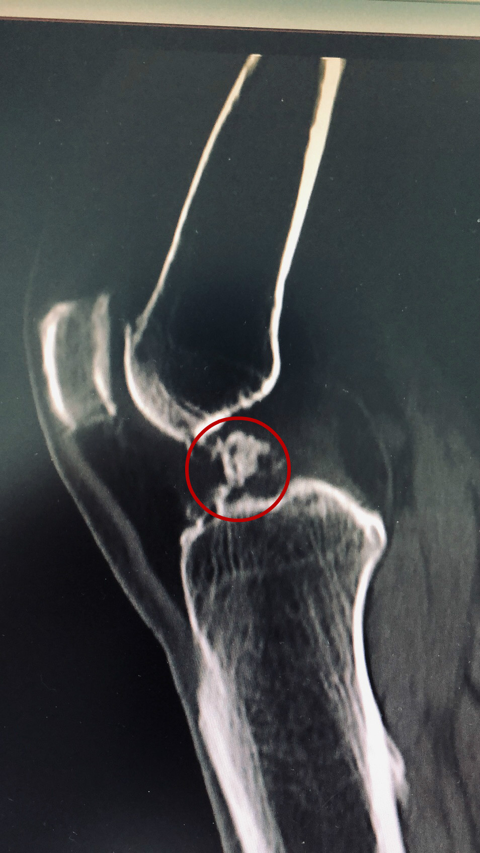
经过一段时间的住院治疗,王女士膝关节疼痛虽然得到有效缓解,但由于她的“小石子”仍然紧紧卡压在股骨髁间窝,几乎是“长”在里面了,导致关节呈屈曲状态,始终无法正常行走。
针对这一情况,骨伤二科医师团队经过反复研究评估,制定周密的手术康复计划,积极为王女士调理身体,决定局麻下为王女士进行手术治疗,取出游离体。
住院期间,骨伤二科主治医师覃剑、梅凌多次与王女士交流沟通,为其详细讲解手术过程。在成功消除患者心理恐惧后,近日王女士接受了局麻微创关节镜手术治疗,术中从膝关节腔取出2个蚕豆大小游离体。术后,王女士恢复良好,第二天即可下床行走,右膝关节正常屈伸。经过一段时间的住院调理,5.25日王女士已顺利出院回家休养。
覃剑医师解释,膝关节游离体是指关节有退行病变或损伤时,从关节内的组织上脱落下来的组织碎片。这些组织碎片就像一个个“小石子”在关节腔内窜来窜去,造成膝盖疼痛、卡压,时间长了,还会对关节软骨造成磨损。当出现关节活动受限时,应及时就医,积极治疗,避免造成不必要的损伤。