患者女,53岁,河南省信阳人。
一、李小勇脑脊液科入院前病史
患者于2020年11月8日无明显诱因出现间断头痛。发病5天后,即2020年11月13日到当地的河南省潢川县某医院行头颅CT检查( 图-1 )发现左侧丘脑病变。

图-1: 2020年11月13日头CT
患者病情逐渐加重,出现精神差,饮食差。在当地医生建议下到湖北省武汉市的某三甲医院就诊。于发病后9天即2020年11月17行增强核磁共振检查,发现左丘脑病变明显强化( 图-2 )。当地医生建议手术治疗,但患者担心手术风险较高,于发病后13天即2020年11月21日转到北京某脑科医院。

图-2: 2020年11月17日增强头核磁
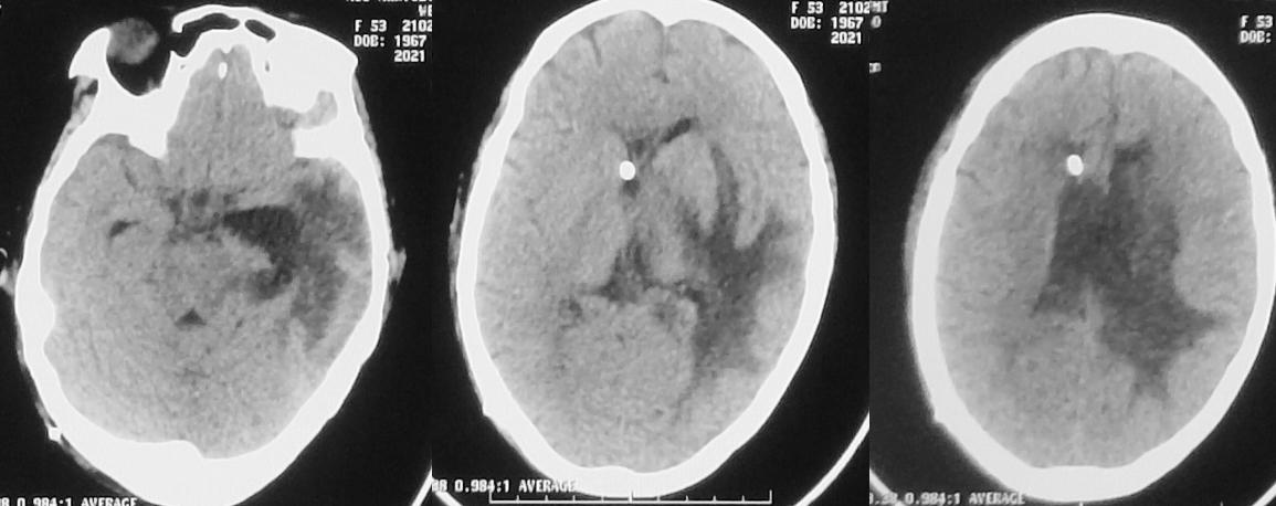
入院当天,患者出现恶心、呕吐数次,意识变差呈昏睡状态,强刺激才能睁眼。复查头颅CT见左侧丘脑病变增大,周围水肿明显,脑室扩张( 图-3 ),医生给予脑室穿刺外引流术。

图-3: 2020年11月21日头CT
脑室外引流术后第2天即2020年11月22日早上8点,患者好转为清醒,复查头颅CT见左侧脑室缩小( 图-4 );但患者出现发热,引流出的脑脊液浑浊,医生考虑患者丘脑病变为脑脓肿,给予头孢曲松抗炎治疗。

图-4: 2020年11月22日头CT
但当天晚上21:00,意识再次变差为嗜睡,复查头颅CT见脑室扩张( 图-5 ),考虑脑室引流不通畅,给予调整引流管后引流好转。

图-5: 2020年11月22日晚上头CT
发病后19天,脑室外引流后6天,即2020年11月27日,仍有发热,精神稍差,脑脊液细菌培养提示为少动鞘氨醇单胞菌,给予美罗培南抗炎治疗。
发病后21天,脑室外引流后8天,即2020年11月29日,复查头颅CT见左侧脑室较前(2020年11月22日)缩小( 图-6 ),继续抗炎及脑室外引流治疗。

图-6: 2020年11月29日头CT
发病后24天,抗炎及脑室外引流治疗后11天,即2020年12月2日,精神仍差,间断发热,体温38℃左右,复查头颅增强核磁( 图-7 )见左侧丘脑脓肿病灶环形强化,同时左侧脑室枕角及小脑表面可见强化(感染),提示感染较前范围扩大。

图-7: 2020年12月2日头增强核磁
脑室外引流结合抗炎治疗后第13天(2020年12月4日)和15天(2020年12月6日),患者意识仍呈嗜睡至昏睡状态,病情无明显好转,复查头颅CT见左侧丘脑病变周围水肿较前好转,但脑室仍扩张明显( 图-8、图-9 )。

图-8: 2020年12月4日头CT

图-9: 2020年12月6日头CT
患者一直呈嗜睡至昏睡状态,强刺激才能对答,仍发热,体温持续在38℃左右。于发病后29天,抗炎及脑室外引流治疗后16天,即2020年12月7日,进行了左额开颅丘脑脓肿清除术,术中经皮层造瘘口留置脑室内引流管;术后当天头CT( 图-10 )呈术后改变。

图-10: 2020年12月7日头CT
脓肿清除术后第1天,2020年12月8日,意识障碍较术前加重,呈朦胧状态,不能对答;复查头颅CT见术区少量出血,左侧脑室颞角明显扩张( 图-11 );当天紧急行左侧脑室颞角穿刺外引流术。

图-11: 2020年12月8日头CT
脓肿清除术后第3天,颞角外引流术后第2天即2020年12月10日,意识仍呈朦胧状态,刺激睁眼,简单配合动作,复查头颅CT呈术后改变,但右侧脑室 较前明显扩张( 图-12); 当天行加行右侧脑室穿刺外引流术。

图-12: 2020年12月10日头CT
脓肿清除术后第5天,颞角外引流术后第4天,右侧脑室穿刺术后2天,即2020年12月12日上午,意识进一步变差,呈浅昏迷状态,复查头颅CT( 图-13 )见脑室缩小,但术区水肿明显;当天下午意识又有恶化,再次复查头颅CT( 图-14 )见术区水肿明显加重,转入ICU进一步治疗,并于当天进行了气管切开术。

图-13: 2020年12月12日上午头CT

图-14: 2020年12月12日下午头CT
经治疗后患者病情稍好转,可自动睁眼,刺激肢体可活动。左侧脑室引流管因无引流液流出,于脓肿清除术后7天,即2020年12月15日给予拔除。
脓肿清除术后第8天,左侧颞角外引流术后第7天,右侧脑室穿刺术后5天,即2020年12月16日复查头颅CT见术区出血开始吸收,但水肿仍明显,脑室无扩张( 图-15 )。

图-15: 2020年12月16日头CT
患者体温正常,仍呈朦胧状态,可自动睁眼,刺激肢体可活动。脓肿清除术后第13天,左侧颞角外引流术后第12天,右侧脑室穿刺术后10天,即2020年12月21日,复查头颅核磁( 图-16 )见脑室缩小,丘脑脓肿病灶缩小,左侧脑室枕角和小脑表面的强化灶消失,提示颅内感染好转。

图-16: 2020年12月21日头增强核磁
脑脓肿清除术后第15天,左侧颞角外引流术后第14天,右侧脑室穿刺术后12天,即2020年12月23日,复查头颅CT见术区脑水肿较前(2020年12月16日)减轻( 图-17 )。

图-17: 2020年12月23日头CT
2020年12月24日再次复查头颅CT较前无明显变化( 图-18 )。

图-18: 2020年12月24日头CT
患者意识虽无明显好转,但病情稳定。脑脓肿清除术后第17天,左侧颞角外引流术后第16天,右侧脑室穿刺术后14天,即2020年12月25日,拔除左侧颞角引流管。拔除左侧颞角引流管后3天,复查头颅CT见术区水肿明显,左侧脑室颞角稍扩张( 图-19 )。

图-19: 2020年12月28日头CT
脑脓肿清除术后第23天,拔除外左侧脑室颞角引流管后第6天,即2020年12月31日,患者再次出现昏迷,复查头颅CT( 图-20 )见左侧脑室颞角扩张,右侧脑室引流管脱出。当天再次行左颞角穿刺引流术,同时调整右侧脑室引流管深度后引流通畅。

图-20: 2020年12月31日头CT
第二次左侧颞角引流术后第1天,即2021年1月1日,患者神志明显好转,清醒,可遵嘱动作,复查头颅CT见各脑室较前均缩小( 图-21 )。

图-21: 2021年1月1日头CT
患者无发热,可遵嘱动作,于脑脓肿清除术后第29天,右侧脑室穿刺术后26天,第二次左侧颞角引流术后第6天,即2021年1月6日,夹闭右侧脑室引流管观察。
但夹闭引流管后2天,即2021年1月8日,患者意识变差,呈模糊状态,不能遵嘱动作,复查头颅CT见右侧脑室扩张( 图-22 ),于是开放右侧脑室引流管继续引流。

图-22: 2021年1月8日头CT
此后患者神志清楚,可遵嘱动作,无发热。于发病后65天,即脑脓肿清除术后第36天,右侧脑室穿刺术后33天,第二次左侧颞角引流术后第13天,即2021年1月13日,行右侧脑室腹腔分流术。
脑室腹腔分流术后第1天,即2021年1月14日,患者神志清楚,复查头颅CT见右侧脑室稍扩张,左侧脑室颞角仍可见保留的外引流管( 图-23 )。

图-23: 2021年1月14日头CT
但脑室腹腔分流术后第4天,即2021年1月17日,患者出现发热,体温38.1℃,复查头颅CT呈术后改变( 图-24 ),给予万古霉素抗炎治疗。

图-24: 2021年1月17日头CT
于脑脓肿清除术后第41天,第二次左脑室颞角引流术后第18天,脑室腹腔分流术后第5天,即2021年1月18日,拔除左侧脑室颞角外引流管。
脑室腹腔分流术后第6天,拔除左侧脑室颞角外引流管后1天,即2021年1月19日患者发热好转,病情平稳。复查头颅CT见左侧脑室颞角较前稍扩张( 图-25 );继续观察。

图-25: 2021年1月19日头CT
但发病后77天,即脑脓肿清除术后第48天,脑室腹腔分流术后第12天,即2021年1月25日,患者出现精神变差,同时呕吐1次。复查头颅CT较前(2021年1月19日)无明显变化( 图-26 )。

图-26: 2021年1月25日头CT
次日,即2021年1月26日,患者精神仍差,反应迟钝,呕吐2次。复查头颅CT见左侧脑室颞角稍扩张( 图-27 )。

图-27: 2021年1月26日头CT
当天,即发病后78天,即脑脓肿清除术后第49天,脑室腹腔分流术后第13天,即2021年1月26日,行第3次左侧颞角外引流术。但术后患者意识无明显改善。2021年1月28日患者再次出现发热,体温38.4℃,反应迟钝,复查头颅CT见左侧脑室颞角缩小,但右侧脑室较前扩张( 图-28 )。第3次左侧脑室颞角引流后脑脊液细菌培养回报为表皮葡萄球菌。给予抗炎治疗。

图-28: 2021年1月28日头CT
经治疗后患者发热好转,神志清醒,于第3次左侧脑室颞角引流后6天,即2021年2月1日,拔除了左侧颞角引流管。但发病后88天,即脑脓肿清除术后第59天,脑室腹腔分流术后第23天,拔除左侧颞角引流管后3天,即2021年2月4日,患者再次发热,体温38.3℃。患者间断嗜睡,复查头颅核磁共振( 图-29 )提示左侧脑室颞角扩张。于2021年2月4日,当天行第4次左侧脑室颞角穿刺外引流术。

图-29: 2021年2月4日头核磁
患者术后仍间断发热,呈嗜睡状态,反应迟钝。发病后92天,脑脓肿清除术后第63天,脑室腹腔分流术后第27天,第4次左侧颞角外引流后4天,即2021年2月8日,复查头颅CT见右侧脑室仍稍扩张,左侧脑室颞角缩小( 图-30 )。

图-30: 2021年2月8日头CT
发病后94天,在北京某脑科医院治疗81天,行丘脑脑脓肿清除术后第65天,脑室腹腔分流术后第29天,第4次左侧颞角外引流后6天,即2021年2月10日,患者仍间断发热,反应迟钝,在主管医生的推荐下,患者转入北京北亚骨科医院的李小勇脑脊液科。
二、李小勇脑脊液科治疗经过及结果
2021年2月10日,入院时:神志昏迷,刺激可睁眼,四肢刺痛后可轻微活动,肌力2级,左颞部带外引流管,引流液不多,稍浑浊( 图-31 )。

图-31: 2021年2月10日
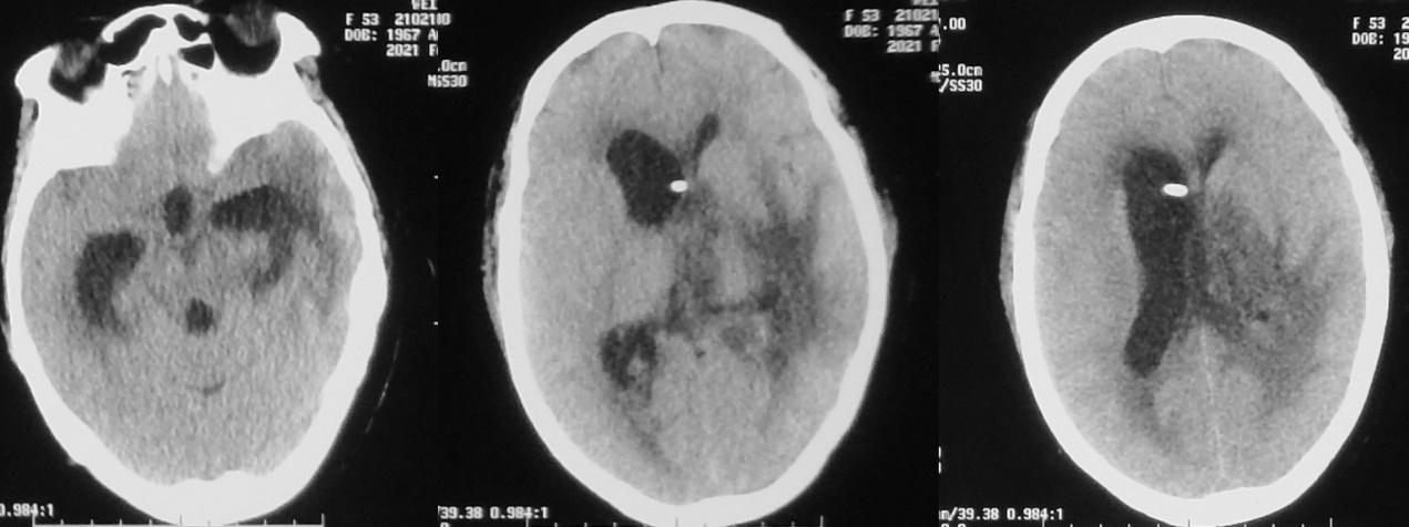
入院当天复查头CT见右侧脑室额角内分流管,脑室扩张;左侧颞角可见外引流管( 图-32 )。

图-32: 2021年2月10日头CT
于入院当天行脑室腹腔分流管拔除+脑室外引流术,同时拔除了左颞角引流管。术后第2天即2021年2月12日,复查头颅CT见引流管位置满意,右侧脑室仍稍扩张( 图-33 )。患者病情平稳,无发热,神志模糊。

图-33: 2021年2月12日头CT
术后第8天,即2021年2月18日,复查头颅CT见右侧脑室缩小,左侧脑室稍扩张( 图-34 )。脑脊液细菌培养结果回报为表皮葡萄球菌,但患者无发热,神志逐渐好转,由入院时的刺痛睁眼好转为可自动睁眼,左侧肢体可遵嘱活动( 图-35 )。

图-34: 2021年2月18日头CT

图-35: 2021年2月19日
脑室外引流术后12天,即2021年2月22日,患者病情进一步好转,精神改善,左侧肢体由入院时的仅能轻微活动2级肌力恢复到能和医生打招呼的4级肌力,但右侧肢体肌力仍差,肌力仍为2级( 图-36 )。

图-36: 2021年2月22日
发病后108天,入脑脊液科治疗14天,即2021年2月24日,患者病情稳定,无发热,脑脊液细菌培养阴性,提示颅内感染的表皮葡萄球菌得到控制。复查头颅CT见右侧脑室缩小,左侧脑室颞角较前无明显变化( 图-37 ),当天行右侧脑室腹壁外引流术。

图-37: 2021年2月24日头CT
脑室腹壁外引流术后第1天,即2021年2月25日,复查头颅CT见脑室系统缩小,左侧脑室颞角较前无明显变化,左侧脑室颞角及三角区周围仍明显水肿( 图-38 )。患者病情稳定,可遵嘱动作,但反应稍慢( 图-39 )。

图-38: 2021年2月25日头CT

图-39: 2021年2月25日
患者病情稳定,神志清楚,但一直对言语反应慢,于发病后115天,入脑脊液科治疗21天,即2021年3月3日,复查头CT见左颞角仍呈稍扩张,左侧脑室颞角及三角区周围仍明显水肿( 图-40 )。

图-40: 2021年3月3日头CT
于2021年3月3日当天行左侧脑室颞角腹壁外引流术。左侧脑室颞角引流术后第1日,即2021年3月4日,复查头颅CT见左颞角缩小,颞角引流管位置满意( 图-41 )。

图-41: 2021年3月4日头CT
入脑脊液科治疗44天,右侧脑室引流术后44天,左侧脑室颞角引流术后23天,即2021年3月26日,患者意识逐渐好转,精神好,入院后恢复较慢的右侧肢体恢复自主活动,肌力由入院时的2级恢复至4级( 图-42 )。

图-42: 2021年3月26日
入脑脊液科治疗50天,右侧脑室引流术后50天,左侧脑室颞角引流术后29天,即2021年4月1日,患者呕吐1次,复查头颅CT见右侧脑室稍扩张( 图-43 ),考虑引流欠通畅,给予调节后引流好转。

图-43: 2021年4月1日头CT
入脑脊液科治疗51天,患者体温不高,精神好,可经口进食( 图-44 )。

图-44: 2021年4月2日
入脑脊液科治疗56天,右侧脑室引流术后56天,左侧脑室颞角引流术后35天,即2021年4月7日,复查头颅CT见双侧脑室缩小,左侧脑室颞角及三角区周围水肿较前明显减轻( 图-45 )。于次日即2021年4月8日行双侧脑室腹腔分流术。

图-45: 2021年4月7日头CT
于脑室腹腔分流术后11天即2021年4月19日复查头颅CT未见异常( 图-46 ),拔除了气管切开套管。

图-46: 2021年4月19日
经李小勇脑脊液科治疗69天即2021年4月20日(但外院治疗81天仍无效),患者病情稳定,经口进食顺畅,四肢可活动,但仍不能下地行走,患者出院回家疗养( 图-47 )。

图-47: 2021年4月20日
三、出院后随访
出院回家后2个月即2021年6月21日,患者恢复到半自理能力,能独自站立,自己吃饭,在家人帮助下可行走;复查头颅CT 未见异常( 图-48 )。

图-48: 2021年6月21日
(完)