地球上除了肉眼可见的生物之外,还有无法用肉眼观察的微生物,包括真菌、细菌以及病毒,其中病毒有着极强的感染性、极高的致死率,就拿大家最熟悉的埃博拉病毒来说,它的致死率最高能达到90%,这个数据已经非常可怕了,但这并不是致死率最高的病毒。

在电影《釜山行》中,丧尸情节可能到现在大家还是记忆犹新,而造成这一切的就是朊病毒,它的致死率在剧中被设定为100%,蒸煮也不怕,一旦感染只能等死,目前也没有什么有效的手段治疗,而对朊病毒的研究还获得过两个诺贝尔奖,要知道诺贝尔奖的条件有多苛刻,这个朊病毒到底是什么来头?

“库鲁病”和“疯牛病”
在南太平洋中,有一个总面积为46万多平方米的海岛国家,名为巴布亚新几内亚,由于所处位置特殊,造就了多个热带雨林,在这生活着很多部落。
1950年初,盖杜谢克来到了这个海岛上的弗尔部落进行考察,他发现在这个部落中经常爆发一种怪病,得病的人会出现关节疼痛、四肢乏力、浑身颤抖、记忆力丧失等症状,还会传染,因为这个病只在弗尔部落中出现,所以当地人称为“库鲁病”,用弗尔语言翻译过来就是颤抖的病。

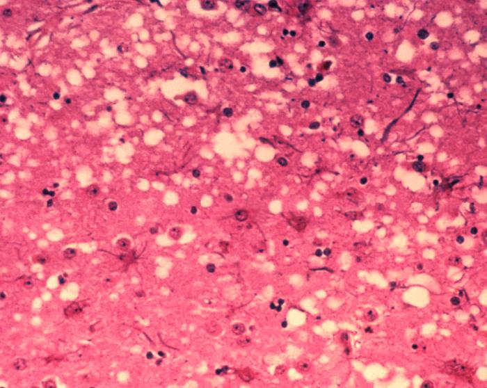
1985年的某一天,英国东南部的一家农户发现自己家的奶牛变得每天病怏怏的,整日不吃不喝也不休息,体型日渐消瘦,性格却越发暴躁,然后开始抽搐起来,站立不稳最后倒在了畜栏边,吓的农户马上请来了当地兽医诊治,可兽医也说不出来什么所以然。
接下来许多奶牛场都出现这种情况,而且一只奶牛患病的话,其他奶牛也会出现病症,具有很强的感染性,很快在农场里传播开来,得病的奶牛都在2周到3个月之间死亡,根本无法救治,专家将其命名为牛海绵状脑病,俗称“疯牛病”。

后来农户为了减少损失,开始疯狂地*杀屠**病牛,但还是没能阻止疯牛病的传播,给农户带来了巨大损失,甚至疯牛病感染到了人身上,出现了变异型克雅二二氏病。
“同类相食”传播疾病?
“同类相食”顾名思义,就是同种生物吃同种生物,但是在自然界中,很少有动物会同类相食,可以说是动物界内的道德情操吧!

为什么要提起“同类相食”呢?首先是“库鲁病”的来源,当时盖杜谢克非常纳闷,这个病只在弗尔部落出现,但调查了这个部落的环境与食物后,并没有发现什么异常,突然有一天他见到了一幕不敢置信的画面,弗尔人在死去的亲人尸体分为全族人食用,据说这是他们当地的一个习俗,一例可能说明不了什么。

我们再来看“疯牛病”,虽然专家没有找到医治方法,但经过调查发现,由于英国欣赏不了“下水”这种美味,为了不浪费,居然将一些牛羊的脑髓以及内脏等制成饲料喂给牛羊吃,结果导致了“疯牛病”的出现,引起了极大的恐慌,而这些后来也被证实为朊病毒所导致的。
那么“同类相食”导致朊病毒出现是为了制止这种情况恶俗而出现的吗?当然不是,“同类相食”只是朊病毒传播的最强途径,因为同源病毒出现朊病毒病变的可能性更大,而且“朊病毒”也不止这一种方式出现。

“无坚不摧”的朊病毒。
朊病毒,虽然被称为病毒,但从严格意义上来说,它并不是病毒,因为病毒是只有DNA或RNA以活细胞寄宿的非细胞生物,而朊病毒中没有遗传物质DNA或RNA,只有蛋白质,但与病毒一样都具有感染性、致死性,而且致死率还要高于普通病毒。

其中的“朊”是蛋白质的旧称,因此朊病毒也被称为蛋白质病毒。那人体内都有蛋白质,难道都会生病吗?当然不是了,朊病毒的本质虽然是蛋白质,但却是出现异常的蛋白质,在生物学上这个过程有个专有名词——蛋白质变性,然后进一步感染宿主大脑,导致中枢神经系统逐渐退化,出现各种症状(如癫痫),时机成熟时会直接死亡,无药可救。
对此,有人还对朊病毒提出了质疑,朊病毒是由普通的蛋白质构成的,为什么不能用物理高温或者化学消毒去除传染性呢?

这样想你就太天真了,普通蛋白质经过这些估计早“凉凉”了,但朊病毒比普通蛋白质更“强”,它的抗逆性强,而且还耐高温,120摄氏度高温完全不在话下。
由于缺少病毒的遗传特性,让人捉摸不定,目前科学家还没找到相应的治疗手段,被世界卫生组织认为是本世纪最危害人体健康的疾病。朊病毒虽然现在无药可解,但相信在我们的科学攻破下,总有一天它的“秘密”会被公之于众。