HER2是乳腺癌中较为成熟的治疗靶点,有多种靶向药物获批用于乳腺癌,十多年来,曲妥珠单抗+化疗一直是早期和转移性乳腺癌的标准辅助治疗和一线治疗方案。HER2过表达也发生于其他实体瘤中,鉴于HER2靶向治疗在乳腺癌中取得了较大成功,研究者一直也在探索HER2靶向治疗在其他实体瘤中的疗效,本文总结了HER2靶向治疗在近些年来在胃癌中的研究进展。
HER2靶向治疗在HER2过表达或扩增的乳腺癌患者中有效。曲妥珠单抗是1990年开发的首个HER2抗体,它通过几种作用机制抑制HER2信号通路,抑制受体二聚化进而抑制PI3K - AKT信号通路以及抗体介导的细胞毒作用(ADCC)(图1)。

图1 HER2靶向治疗作用机制
基因组测序研究已显示HER2突变可发生在多个实体瘤中,鉴于HER2靶向治疗在乳腺癌中的成功,研究者开始探索HER2靶向治疗在其他肿瘤中的疗效。本文总结了HER2靶向治疗在胃癌中的研究进展。
HER2在约20%胃癌中过表达或扩增。与胃癌(21.4%)相比,胃食管交界处腺癌(GEJ)中HER2阳性更常见(32.2%),而在胃癌中,肠型胃癌中HER2阳性较常见(31.8%),弥漫型胃癌为6.1%。
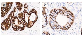
虽然胃癌中HER2阳性发生率与乳腺癌类似,但有差异,胃癌中HER2表达通常更具异质性。异质性通常见于IHC2+胃癌或混合组织型中。临床实践中HER2阳性被定义为IHC3+或ISH阳性(HER2评分1+、2+、3+)。因组织类型的差异,乳腺癌和胃癌中HER2阳性表现不同(图2)。

图2 乳腺癌和胃癌中的HER2阳性染色
一线治疗
ToGA研究中,584例未经化疗的HER2阳性胃癌随机分配接受氟尿嘧啶+顺铂+曲妥珠单抗或安慰剂治疗,结果显示,两组的中位OS分别为13.8个月和11.1个月,中位PFS分别为6.7个月和5.5个月,ORR显著较高,分别为47%和35%(表1)。曲妥珠单抗在HER2表达水平较高患者中尤其有效,这类患者的中位OS为16.0个月。基于此,化疗+曲妥珠单抗成为了HER2患者的一线治疗标准。
基于ToGA的研究发现,HELOISE研究评估了标准治疗剂量(负荷剂量为8mg/kg+,每三周6mg/kg)和更高剂量曲妥珠单抗的疗效,结果未表现差异,因而进一步确认了曲妥珠单抗+化疗用于晚期胃癌或GEJ腺癌一线标准治疗的剂量。
III期JACOB研究评估了曲妥珠单抗+卡培他滨或氟尿嘧啶+顺铂±帕妥珠单抗用于转移性HER2阳性胃癌或GEJ腺癌的疗效,虽然帕妥珠单抗的使用剂量较高,但帕妥珠单抗组并没有显著改善OS,两组中位OS分别为17.5个月和14.2个月(HR=0.84,P=0.057),但PFS和ORR显著改善,分别为8.5个月vs 7.0个月(P=0.0001),56.7% vs 48.3%(P=0.026)。
TRIO-013/LOGiC研究中,545例HER2扩增胃癌患者随机分配接受卡培他滨+奥沙利铂+拉帕替尼或安慰剂治疗,中位OS未得到改善,PFS和ORR显著提高,分别为6.0个月 vs 5.4个月,53% vs 39%。
二线治疗
II期WJOG7112G(T-ACT)研究中,研究者探索了紫杉醇±曲妥珠单抗在99例HER2阳性一线治疗进展后的晚期胃癌中的疗效,中位PFS分别为3.2个月和3.7个月,中位OS分别为10个月和10.2个月,PFS和OS均未能改善。研究进一步分析了16例一线治疗进展患者的新鲜组织样本以重新评估HER2状态,结果发现,在69%的患者中未发现HER2过表达,因此,HER2缺失可能是曲妥珠单抗的耐药机制之一,HER2缺失似乎也是乳腺癌患者的耐药机制,有研究显示,化疗后HER2缺失的发生率为14.5%,在另一项研究中,HER2阳性乳腺癌接受曲妥珠单抗俩和化疗新辅助治疗后,32%患者为HER2阴性。
III期TyTan研究中,261例HRBB2扩增亚裔胃癌患者随机分配接受紫杉醇±拉帕替尼二线治疗,结果显示,OS、PFS均未改善,而ORR较高,在IHC3+阳性患者中,死亡风险显著降低(HR=0.59,P=0.018),疾病进展风险也显著降低,中位PFS分别为5.6个月和4.2个月(HR=0.54,P=0.01),而在IHC2+/ IHC0/1亚组中,OS和PFS均没有显著差异。结果提示,拉帕替尼可能会使HER2 IHC3+胃癌患者获益,遗憾的是,因主要终点未达到,该方案未被推荐用于临床实践。
T-DM1的疗效也已在转移性胃癌或GEJ腺癌中进行了评估。GATSBY研究是一项开放标签II/III期研究,旨在比较T-DM1对比紫杉醇用于经治HER2阳性转移性胃癌或GEJ腺癌患者的疗效。在研究的第二阶段,患者被随机分配接受T-DM1(每周2.4 mg/kg)或紫杉烷治疗,结果显示,两组的中位OS分别为7.9个月和8.6个月。如前所述,在接受过HER2靶向治疗HER2阳性胃癌患者中,HER2缺失并不罕见,这也可能是T-DM1无应答的原因所在。
阿法替尼是一种有效的泛HER激酶*制剂抑**,有一项II期研究中评估了阿法替尼用于20例曲妥珠单抗治疗进展后HER2阳性患者中的疗效。4个月时,2例患者产生部分缓解(PR), 6例患者疾病稳(SD)。结果显示阿法替尼的疗效似乎也很有限。
围手术期治疗
HER-FLOT研究是一项多中心II期研究,旨在评估围手术期FLOT化疗+曲妥珠单抗的疗效和安全性,截止最新数据分析时,在45例患者中,R0切除率为93.3%。值得注意的是,22.2%和24.4%的患者分别表现病理完全缓解或接近完全的疾病退缩(定义为<10%的残余肿瘤细胞)。
正在进行的INNOVATION研究(EORTC-1203-GITCG)中,HER2阳性(包含IHC 3 +、IHC 2+和ISH阳性)可切除胃癌或GEJ腺癌患者随机分配(1:2:2)接受单独围手术期化疗(FLOT或FOLFOX[欧洲],卡培他滨/顺铂[亚洲])或化疗+曲妥珠单抗或化疗+曲妥珠单抗+帕妥珠单抗治疗,曲妥珠单抗或曲妥珠单抗+帕妥珠单抗辅助治疗将持续至多17个周期。主要终点为是主要的病理缓解率。基于该研究的结果,化疗+曲妥珠单抗或曲妥珠单抗+帕妥珠单抗或可成为HER2阳性胃癌围手术期治疗的标准治疗方案。
表1 胃癌临床研究

表2 正在进行的研究

未来研究
Trastuzumab deruxtecan是一种新型抗体药物偶联物,通过酶可裂解的多肽将HER2抗体偶联上拓扑异构酶I*制剂抑**DXd。
一项正在进行的包括乳腺癌或胃癌患者的研究中,在研究2b部分,44例HER2阳性曲妥珠单抗经治胃癌或GEJ腺癌(IHC3+\IHC2+\ISH阳性)患者接受Trastuzumab deruxtecan治疗,82%的患者为IHC3+,18%的患者为IHC3+或ISH阳性,患者接受之前治疗的中位线数为3线,中位缓解持续时间为7.0个月,中位PFS为5.6个月,在80%的患者中观察到肿瘤退缩。
一项II期随机研究也正在进行,旨在评估Trastuzumab deruxtecan对比医生选择的方案用于HER2阳性经两线治疗后疾病进展的晚期胃癌或GEJ腺癌的疗效。
ZW25是一种双特异性抗体,同时与HER2上的两个表位结合,细胞外结构域4(包含曲妥珠单抗结合位点)和细胞外结构域2(含帕妥珠单抗的结合位点)。在一项篮子研究中,24例HER2阳性实体瘤入组,患者之前治疗的中位线数为三线,71%的患者接受过曲妥珠单抗治疗,总体上,中位PFS为6.2个月,在17例可评估的患者中,41%患者产生客观缓解,另有41%疾病稳定,疾病控制率为82%。
一项Ib/II期研究正在评估margetuximab+帕博利珠单抗用于经治胃癌或GEJ腺癌中的疗效(NCT02689284)。在85例患者中,19例患者产生应答,ORR率为22.4%,疾病控制率为57.7%,中位PFS为2.7个月,中位OS 13.9个月,中位缓解持续时间为9.7个月。在61例可评估胃癌患者中,18例患者产生客观缓解,ORR为29.5%,IHC3+患者、ERBB2扩增、PD-L1阳性、IHC3+且PD-L1阳性患者的ORR为32.7%、40.0%、46.2%和52.2%。
在一项II期研究HER2阳性胃癌队列中,正在评估帕博利珠单抗+曲妥珠单抗+氟尿嘧啶+奥沙利铂用于HER2阳性一线治疗的疗效和安全性(NCT02954536)。中期分析显示,所有可评估患者(24例)均有肿瘤缩小,ORR为87%,中位PFS为11.4个月,1年OS率为76%,PD-L1阳性或阴性患者的PFS和OS类似。基于此研究者开展了一项III期研究,旨在评估帕博利珠单抗或安慰剂+曲妥珠单抗+化疗在未经化疗的HER2阳性晚期胃癌中的疗效(NCT03615326)
参考文献:
Oh DY, Bang YJ. HER2-targeted therapies - a role beyond breast cancer [published online ahead of print, 2019 Sep 23]. Nat Rev Clin Oncol. 2019;10.1038/s41571-019-0268-3. doi:10.1038/s41571-019-0268-3