牙周炎,一个非恶性的相对缓和的健康杀手,它对人类健康施出的温柔一刀,虽不致命,却足以让大多数人后半生的生活质量遭遇滑铁卢。
生不如死谈不上,但一定会是苦不堪言,后悔莫及。但这一切,本可以避免。
下图为一个30多岁的小伙子,只是因为牙齿松动来就诊。
但等待他的,却是晚期牙周炎患者的最终归宿——全口牙松动,拔除。


牙周炎患者被拔出的牙齿
换句话说,他看起来一颗牙也不缺,但其实一颗牙也没有了——这就是晚期牙周炎患者面对的“无牙窘境”。
每个人都可能遭遇的头号杀手
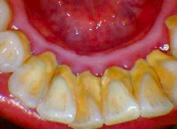
牙周炎,由局部因素引起的牙周支持组织慢性炎症,最通俗的说法就是“牙床发炎”。而牙菌斑则是牙周炎发病的关键。
牙菌斑是粘附在牙齿表面或口腔其他软组织上的微生物群。它是由大量细菌、细胞间物质、水通道组成的,不能被水冲掉的细菌斑块。牙菌斑在带来危害的同时,还会不断堆积、钙化,逐渐形成牙结石。

当牙结石达到一定程度,就会刺激牙龈发炎,刷牙出血。
如果继续拖延牙龈炎,从量变到质变,产生牙周袋,牙槽骨吸收,牙齿松动,口臭,最后形成牙周炎。
谁容易得牙周炎
总体而言,多数牙周炎基本都始于牙结石,尤其是龈下结石。
另外,长期食物嵌塞和口腔不良修复体长期刺激也可导致牙周炎。
同时,有几类易感人群值得高度重视:孕妇,烟民,糖尿病患者和牙列不齐者。
妊娠本身不会引起牙龈炎症,只是由于妊娠时性激素水平的改变,使原有的牙龈炎症加重。因此,妊娠期牙龈炎的直接病因仍然是牙菌斑。
抽烟、糖尿病也是牙周炎的重要易感因素。
由于烟民的口腔卫生状况一般较差,烟斑更容易沉积菌斑,所以牙结石量普遍高于常人,而且烟雾中的化学成分会对牙周组织造成慢性损害。
长期抽烟的人成骨细胞活性降低,牙槽骨萎缩加速,这些综合因素造成牙周炎进展快,且治疗难度加大。而抽烟本身也会增加糖尿病的患病风险,两者再次形成恶性循环——如果一个烟民得了糖尿病,他的全口牙丧失也逐渐走上日程。

关于牙周炎的两个误区
①牙周炎不是上火
牙周炎最初表现为牙龈炎“刷牙出血”,这也是最佳的干预治疗时机。但大多数人此时却认为这是“上火”,执念于自己在家“祛火消炎”。但没有哪种“神药”能根治牙周炎。
牙周炎不是上火,治本的关键更不在祛火,也不是靠声称能祛火的神药和牙膏,而是控制牙菌斑。
②不是牙掉光了镶新的就行
许多患者总认为:牙周炎不是什么大病,能拖就拖,等牙掉光了再镶一口假牙就行。
殊不知全*活口**动义齿,不仅功能比天然牙齿相差一大截,咀嚼效力不高,使用也不方便。全口种植义齿也是一种选择,可以较好地恢复咀嚼功能。
但现实是,并不是每个无牙患者,都拥有“口腔里开一辆奔驰”的财力。
这一切,大多本可以避免
①早晚正确地刷牙
每天早晚刷牙两次,每个牙面都要刷,牙刷斜45°,放在牙齿和牙龈交界的地方,左右轻轻震颤。每次最少两分钟。
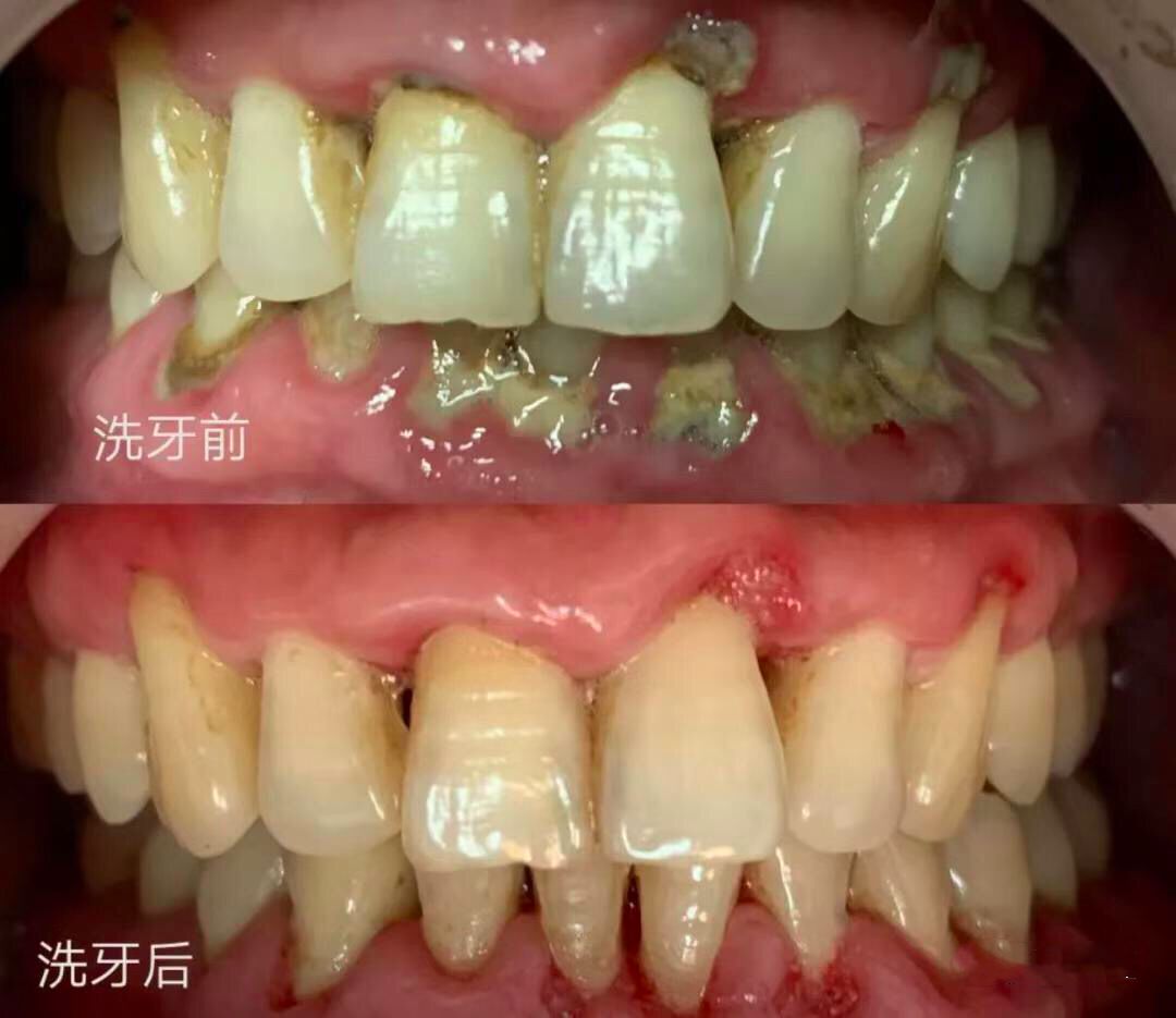
②每半年至一年进行一次超声洗牙
洗牙能高效清除菌斑牙结石,维持牙龈健康,将牙周炎的始动因素消灭于萌芽状态。需要强调的是,定期洗牙并不仅仅针对牙周炎患者,而是所有人。
③果断戒烟
另外,对于牙周炎易感人群,牙龈未退缩者,需要掌握牙线的使用,已经退缩者,则选择牙间隙刷或冲牙器辅助。


来源:健康时报