有什么动作可以让自己脚好看 (有助于身体健康的动作)

在生活中有没有这样的经历,和闺蜜出去逛街,结果没过多久就脚疼的不行,好兴致都被脚疼给打断了。更别说想穿个好看的露脚趾的凉鞋了,根本不敢把脚露出来,尖头鞋、高跟鞋……根本想都不想想,连穿正常正常尺码的鞋都困难,优雅美丽那都是别人的。

让脚变瘦的动作方法,有助于身体健康的动作

造成这种情况的原因可能是一种叫拇外翻的现象,拇外翻是什么?能恢复么?今天我们就来讲讲这个影响美观的拇外翻。

认识拇外翻

拇外翻是一个很常见的累及前脚掌和脚趾的畸形,它通常是由构成第一跖趾关节的拇指向外偏斜移位形成的畸形。

让脚变瘦的动作方法,有助于身体健康的动作

除去遗传因素,大约有23%的18~65岁人群和35%的65岁以上人群患有拇外翻,其中女性的发病率是男性的九倍。

有时候因为拇外翻的外表明显形态,也被称为囊肿或神经节。

让脚变瘦的动作方法,有助于身体健康的动作

大脚趾会在跖趾关节处离开对齐位置,指向脚的外侧缘,引起跖趾关节疼痛、发炎、肿胀的跖骨头还会凸起挤压鞋子。

怎么判断是拇外翻

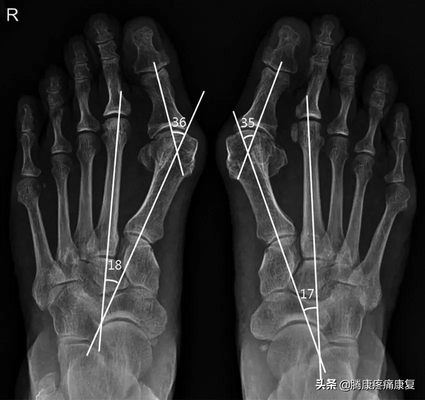
虽然我们从外观上就能分辨出来,但是医生还是需要通过X光等其他检查来测量外翻的严重程度,MRI还能辅助检测足部的软组织损伤、残留的软组织和骨骼的损伤。

让脚变瘦的动作方法,有助于身体健康的动作

根据测量的外翻角度,拇外翻被分成下面几个等级:

  • 正常:10°以内的外翻仍被视为正常。
  • 轻度:15~20°的外翻被视为轻度外翻。
  • 中度:20~40°的外翻被视为中度外翻。
  • 重度:40°以上的外翻是严重外翻畸形。

以下情况是典型的拇外翻症状:

让脚变瘦的动作方法,有助于身体健康的动作

  • 跖趾关节发红肿胀
  • 大脚趾偏向脚外侧
  • 邻近的脚趾被挤压变形
  • 扁平足
  • 脚内侧跖趾关节凸起

那么拇外翻是怎么形成的呢?

拇外翻的常见原因通常有以下几种:

后天形成

拇外翻通常是由八字脚引起的,八字脚会引起脚横弓下降,脚趾末端接触地面,导致脚趾向外倾斜。

扁平足同样也是导致拇外翻的因素之一,由于足弓的塌陷,大脚趾会受到更大的负荷,进而导致大脚趾向第二脚趾靠拢。

让脚变瘦的动作方法,有助于身体健康的动作

拇外翻时,肌腱的张力会导致大脚趾从跖趾关节向外旋转,其他邻近的脚趾也会被向内旋转的大脚趾挤压变形,所以拇外翻也常和锤状趾、爪状趾有关。

先天形成

虽然有90%的拇外翻患者都有家族史,但是其原因不仅仅是先天性的,没有人生来就是拇外翻。生活习惯和环境因素是导致拇外翻的根本原因。

结缔组织薄弱

先天性结缔组织无力也是拇外翻的原因之一,他会影响肌腱和足弓的稳定性。

外伤

足部畸形和外伤也可导致拇外翻。

鞋子不合脚

长期穿着高跟鞋或是太紧的鞋子会导致拇外翻,因为大部分体重不再落在脚跟和足弓上,而是全部压在娇嫩的前脚掌上,导致足横弓失去稳定性,导致拇外翻形成。

让脚变瘦的动作方法,有助于身体健康的动作

关节炎

畸形导致跖趾关节磨损的迹象:大脚趾错位可导致关节炎和跖趾关节疼痛性僵硬(拇趾僵硬)。拇趾外翻常伴有疼痛性滑囊炎和关节炎。

籽骨影响

在拇外翻的病例中,大脚趾附近的籽骨会向侧面位移,籽骨位移的越多,拇外翻的畸形就越明显。

让脚变瘦的动作方法,有助于身体健康的动作

如果这些籽骨不再作为大脚趾肌腱的滑车,行走时通过大脚趾的正常滑动过程就会丢失,越来越多的负荷被小脚趾吸收,由于拇外翻的影响,体重会从大脚趾转移,引起跖骨转移疼痛。

拇外翻需不需要注意

拇外翻在最早期阶段,尤其是没有引起疼痛的时候,大多数人只会觉得这是一个外观上的问题,有时候并不会影响到日常的生活。

让脚变瘦的动作方法,有助于身体健康的动作

但是随着时间的推移,畸形逐渐加剧,对跖趾关节和前脚掌的损伤和压力持续增加,危害会逐渐增高,足底的受力模式被改变,向上甚至还会导致膝关节内旋、大腿内旋、骨盆前倾、脊椎排列异常等问题,并且大脚趾和前脚掌相关的并发症也会更严重,矫正的效果也会越来越差。

让脚变瘦的动作方法,有助于身体健康的动作

足部受力图

最好是在跖趾关节受到永久损伤之前,通过足部锻炼、固定夹板和手术治疗来固定大脚趾的位置。

如何改善

通常我们可以通过保守治疗来改善这一问题,只有当严重的疼痛限制了行动,甚至每走一步都会疼痛的时候才会考虑手术改善。

让脚变瘦的动作方法,有助于身体健康的动作

矫形器

我们可以使用矫形器来矫正歪斜的脚趾,使用矫形器还能减少大脚趾对相邻脚趾的压力。

让脚变瘦的动作方法,有助于身体健康的动作

鞋子和鞋垫

最重要的就是改变穿鞋的习惯,使用宽松舒适的平底鞋,让自己的前脚掌有足够的空间,减少摩擦,从而减少肿胀、炎症和外翻导致的疼痛。

让脚变瘦的动作方法,有助于身体健康的动作

使用带有支撑的鞋垫也是非常有用的,这种鞋垫可以抬高足弓,让前脚掌变窄,最大限度的减少脚在鞋内的摩擦和刺激,减轻肿胀的发生。

针对拇外翻的足部锻炼

使用外部器械姿势被动改变我们脚趾的静态模式,并没有从源头解决问题。单单依靠被动的抬高和拉拢是无法解决问题的。

让脚变瘦的动作方法,有助于身体健康的动作

一些日常简单的足部锻炼可以有助于保持大脚趾和足部其他部位之间的关节活动,保持灵活性并加强控制大脚趾的肌肉。

毕竟谁也不想“跳”进手术室。

让脚变瘦的动作方法,有助于身体健康的动作

1、脚趾伸展

让脚变瘦的动作方法,有助于身体健康的动作

  • 伸展脚趾有助于保持脚趾的灵活性和减轻足部疼痛。
  • 伸展脚趾,将脚趾直指前方5秒钟,然后将它们卷起来5秒钟。
  • 重复这些拉伸10次。

如果除了拇外翻外,还伴有锤状脚趾或爪状趾,那么这些练习尤其有益。

2、脚趾伸展(进阶)

让脚变瘦的动作方法,有助于身体健康的动作

  • 将脚趾压在坚硬的表面上,如墙壁上,以弯曲和拉伸脚趾。
  • 保持该位置10秒钟,然后重复三到四次。
  • 然后向相反方向弯曲脚趾,保持该位置10秒钟,然后重复三到四次。

3大脚趾伸展

让脚变瘦的动作方法,有助于身体健康的动作

  • 用手指轻轻地把大脚趾拉到合适的位置也会有帮助。
  • 将脚趾保持在原位10秒钟,重复三到四次。

4、阻力练习

让脚变瘦的动作方法,有助于身体健康的动作

  • 用毛巾或阻力带裹住大脚趾。
  • 大脚趾拉向自己。
  • 拉向自己的同时用大脚趾去抵抗拉力。

5、足底放松

让脚变瘦的动作方法,有助于身体健康的动作

  • 坐下来,把按摩球或网球放在脚下。
  • 然后在脚下滚动两分钟。

这有助于减轻足部的紧张感。

6、毛巾脚趾卷曲

让脚变瘦的动作方法,有助于身体健康的动作

  • 在地板上摊开一条小毛巾。
  • 用脚趾卷起毛巾,朝自己的方向拉。
  • 重复五次,然后换脚。

7、用脚趾捡球

让脚变瘦的动作方法,有助于身体健康的动作

  • 将20个左右的小球洒在地板上。
  • 用脚趾将小球捡起来放进容器中。
  • 可以随着练习的深入逐渐增加小球的大小和重量。

8、沙滩漫步

让脚变瘦的动作方法,有助于身体健康的动作

  • 如果条件允许,花点时间在沙滩上散散步。
  • 这可以给足底一个温和的按摩,同时也有助于加强脚趾。
  • 这对拇外翻尤其有益。

这些简单的练习最好是在早上或晚上有空闲的时候进行,比如广告时间。

拇外翻不只是外观上的小问题,越早发现就能越早恢复。

让脚变瘦的动作方法,有助于身体健康的动作

尽量少穿高跟鞋和尖头鞋,选择合适自己的鞋子,纠正日常生活中的不良姿势,才能有效预防拇指外翻的发生。

引用

1、Fraissler L, Konrads C, Hoberg M, Rudert M, Walcher M. Treatment of hallux valgus deformity. EFORT Open Rev. 2016;1(8):295-302. Published 2016 Aug 25. doi:10.1302/2058-5241.1.000005

2、Hallux valgus © Gelenk-Klinik.de Dr. Thomas Schneider

3、Cleveland Clinic. Bunions (Hallux Valgus) Updated on 12/10/2020

4、Kim MH, Yi CH, Weon JH, et al. Effect of toe-spread-out exercise on hallux valgus angle and cross-sectional area of abductor hallucis muscle in subjects with hallux valgus. Journal of Physical Therapy Science. 2015 Apr;27(4):1019-1022. DOI: 10.1589/jpts.27.1019. PMID: 25995546; PMCID: PMC4433967.

5、Kuhn J, Alvi F. Hallux Valgus. [Updated 2021 Jul 25]. In: StatPearls [Internet]. Treasure Island (FL): StatPearls Publishing; 2021 Jan-.

文章的目的是提供一般的医疗、健康、用药的科普信息,不能代替任何个人的医学诊断和治疗。个人的医学问题请及时咨询医生。对这篇科普文有任何建议,请给我们留言。

本文章转载自:微信公众号疼痛康复研究。

更多精彩内容请关注疼痛康复研究