▌病例
患者男性,30岁。主诉:左腰痛、间断全程肉眼血尿3年,症状加重10天。现病史:患者3年前无明显诱因突然出现左腰部钝痛,伴有肉眼血尿,无尿频、尿急、尿痛,无排尿困难,于外院行泌尿系超声检查,考虑左肾囊肿破裂(具体不详),予抗感染治疗后症状缓解。3个月前,复查泌尿系超声仍示左肾囊肿(具体不详)未予诊治。10天前患者自觉左侧腰背部胀痛,向腰背部及腹股沟区放射,于我院行彩超检查示左肾积水并多发结石,行静脉肾盂造影示左肾积水,肾盂肾盏扩张,肾盏杯口变平。门诊以“左肾积水”收入院。
▌体格检查
一般情况:体温:36.4℃,脉搏:80次/分,血压:120/80mmHg,呼吸:17次/分。心肺未及明显异常。
专科情况:双肾区平坦,左侧肾区有压痛,叩痛不明显;双侧输尿管走行区无压痛;膀胱区叩诊鼓音;腹股沟区无肿大淋巴结;外生殖器无畸形。
▌辅助检查
实验室检查:未见异常改变。
影像学检查:泌尿系平片(KUB)+静脉肾盂造影(IVP)。
KUB:双肾影清晰,双肾区、输尿管走行区及膀胱未见异常。
IVP:静脉注入造影剂5分钟、10分钟后,右肾盂呈壶腹形,杯口清晰锐利,未见明显充盈缺损及龛影,左侧肾盂肾盏扩张,肾盏杯口变平;松解压迫带后右侧输尿管通畅,左侧输尿管显影不清。右侧壶腹型肾盂,左肾积水。
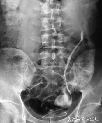
逆行肾盂造影:左输尿管20cm处受阻无法通过(图4-1)。

泌尿系CT:左侧肾盂肾盏呈球样扩张,以肾盂扩张明显,肾盂最大断面直径约8.9cm,左肾上极肾盏内可见多发点状致密影,增强扫描左肾实质强化未见明显异常,延时扫描可见造影剂进入左肾集合系统,但左侧输尿管未见扩张,右肾大小形态位置正常,肾门部可见一点状致密影,增强扫描皮髓质结果清晰,未见异常强化,右侧肾盂轻度扩张,但输尿管无扩张。余未见异常。
考虑:①左肾积水,左侧肾盂输尿管连接部狭窄;左肾上盏结石,左肾功能尚好。②右肾小结石,壶腹型肾盂。
▌术前诊断
左肾盂、输尿管连接部狭窄左侧肾积水左肾多发结石
▌治疗经过
2006年12月14日在局麻下行左肾盂造瘘术。
术后抗感染、补液治疗。
手术过程:患者右侧卧位,局麻后常规消毒铺无菌巾,B超定位穿刺点后,肾穿刺针刺入肾盂,回抽尿液后置入导丝,扩皮器扩大穿刺口,循导丝置入肾造瘘管,当时引流尿液约1000ml。图4-1 逆行造影
▌术后诊疗
诊断:同术前诊断。
术后B超示左肾盂肾盏扩张好转,积液消退。肾区压痛减轻。
随访:左肾盂造瘘术1个月后于全麻下行左肾盂、输尿管连接部成形术,肾区探查术。
▌术前诊断
左肾盂、输尿管交界狭窄左侧肾积水
▌治疗经过
全麻下行左肾盂、输尿管连接部成形术,肾区探查术。
术后抗感染、补液支持治疗。
手术过程以及术中所见:取左第十肋间切口,长约15cm,依次切开皮肤、皮下组织、肌肉,钝性分离胸膜第十一肋上缘,打开肾周筋膜,显露左肾、左肾盂及上极输尿管,探查发现左肾输尿管不宽,肾盂明显增大,壁厚,左肾中部空虚,上下极游离,上极大小约3cm,下极大小约5cm,两极完全分离。分离左输尿管、肾盂周围组织,完全显露左输尿管上段及肾盂,见输尿管开口于肾盂中部距底端约cm,距肾盂输尿管连接部约1cm处横断输尿管,管腔管壁未见异常。
打开肾盂见黏膜粗糙增厚,肾盂输尿管交界处大量息肉样增生,术中取病理送快速冰冻回报“炎性增生”。修剪扩大肾盂,并以3-0可吸收线缝合切缘。于肾盂最低处开口,将输尿管上段侧向剪开后与成型后肾盂最低处吻合。肾盂输尿管内置入D-J管支撑引流。创面严格止血后放置腹膜后引流管,清点器械纱布无误后逐层缝合肌腱、皮下组织和皮肤等各层。手术顺利,术中出血量少,病人安返病房。
切除标本示左侧肾盂,10%甲醛溶液(福尔马林)固定后送病理检查。
▌术后诊疗
诊断:同术前诊断。病理诊断:(肾盂)小块黏膜组织,表面上皮增生,局部糜烂,炎性肉芽组织形成,未见肿瘤性病变。
▌病例分析
肾盂输尿管连接部狭窄起病隐匿不易早期诊断及治疗,病因分为先天和后天因素,大部分病例为先天因素,其中主要有异位血管压迫、肾盂输尿管连接部瓣膜、肾盂输尿管连接部本身狭窄、高位输尿管开口等;后天因素包括结石、术后或炎性狭窄及尿路上皮肿瘤等。以上病因致长期梗阻引起肾积水,进而并发感染、出血、结石形成,患者多因腰痛、血尿或查体B超发现肾积水而就诊。
怀疑患有肾盂输尿管连接部狭窄的患者首先常规行B超检查,了解有无肾盂积水、输尿管扩张及其他异常情况,进一步可行KUB+IVP检查,从而明确肾积水及梗阻情况,并可大致了解分肾功能。如肾盂输尿管显影欠佳或不能确诊时,可依据情况加做逆行、顺行尿路造影及CT或MRI检查。通过以上检查可明确肾脏形态大小、积水情况、梗阻部位、梗阻段长度等情况,并可初步明确有无尿路上皮肿瘤。
术前腰痛症状较重或积水继发感染的患者,可先行B超引导下经皮肾造瘘,可以缓解肾脏积水、降低肾盂内压力,从而防止肾功能及感染进一步恶化,之后可根据肾造瘘管引流尿液情况来判断患侧肾功能,同时对于IVP不显影患者可经肾造瘘管注入造影剂行顺行造影明确肾积水及梗阻情况。对于肾积水合并结石的患者,如手术中未能将结石取净,可经肾造瘘通道腔镜取石。
肾盂输尿管连接部狭窄梗阻引起肾积水的治疗是手术解除梗阻,治疗的金标准是离断性肾盂成形术(aderson-hynes),手术目的是缓解症状并尽量保存肾功能。但手术方式应根据患者肾功能、肾盂扩张程度(是否为肾内型肾盂)来选择。患肾无功能且经引流后仍无法恢复者可考虑行肾切除,否则应尽量保留肾脏。
肾盂成形术病例,术式应由肾盂扩张程度来决定,肾内型肾盂可用Y-V成形或肾盂瓣成形术,否则行离断性肾盂成形术,术中输尿管内应留置双猪尾管支撑引流。目前随着腔镜手术的发展,有很多新的手术方式来治疗肾盂输尿管连接部狭窄,如逆行输尿管镜下狭窄部位切开、经皮肾镜下狭窄部位切开、腹腔镜下连接部成形术、机器人辅助连接部成形术等,据文献报道也都有不错的疗效。
▌总结:
诊断问题:本病例基本特点:本病属于较常见的泌尿系统先天性疾病,但此患者术前诊断较为困难,患者外院B超考虑左肾囊肿破裂出血,未获得正确的诊断,在于对此病的影像学表现认识不足。当B超、IVP、逆行造影及CT明确诊断后,我们结合患者病史及影像学表现得到正确的诊断。此病的诊断主要还是依靠影像学表现。
鉴别诊断难点:当积水较重,肾皮质不同程度变薄,B超下易误诊为囊肿等疾病;当患者出现腰痛及血尿症状时,结合B超下表现易误诊为肾囊肿破裂出血。
手术方式及理由:对于此类患者,已经诊断明确,需进一步明确肾积水及分肾功能情况,对积水较重或合并感染患者可先行肾造瘘术,完善顺行造影并观察患肾功能恢复情况。待感染控制,患肾功能有所恢复后,可择期行肾盂输尿管成形术。
该例外科操作技术优缺点:该患者合并肾结石,开放手术中将结石取出,可考虑术中结合软输尿管镜及C型臂X线机明确结石是否取净,防止结石残留。随着腔镜技术的发展,对于连接部狭窄段不长、非完全性梗阻的患者,可考虑行腔内内镜下切开或腹腔镜下连接部成形等微创的手术方式,从而减小创伤、缩短恢复时间。
治疗难点心得体会及建议:一些影像学表现不典型的病例,对影像学医生的水平要求就更高了,同时对临床医生的诊疗水平也有很高的要求,在病史与影像学报告不完全相符的情况下,应该有怀疑的精神,进一步行其他影像学检查方式来明确诊断。只有在诊断明确的前提下,才能进行相应的治疗。