#健康科普大赛# #把健康带回家# #重庆头条#
有没有一个指标,可以快速判断一个结节的良恶性?有的,那就是倍增速度。我之前科普过, 不论是结节,或是肺癌,都有着明确的倍增周期。哪怕是所有人都谈之色变,长得最快的小细胞肺癌,平均倍增周期也是超过一个月的。所以如果短时间内结节的尺寸爆发式增长,那么基本可以判定是感染性病变,最多见炎性肉芽肿或结核。
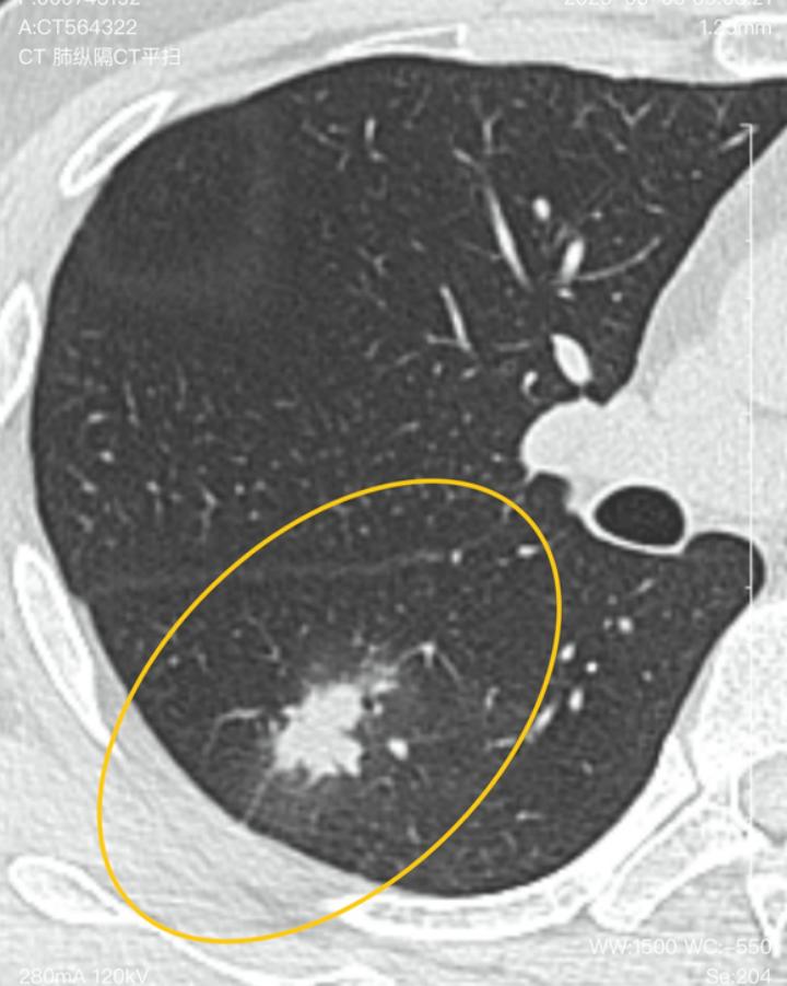
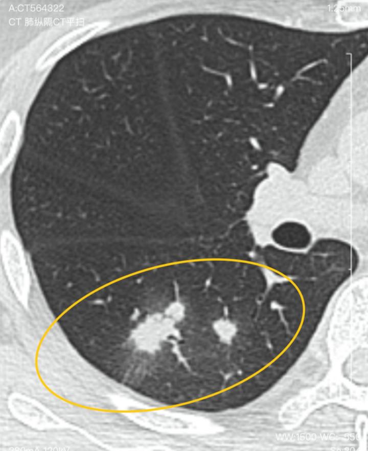
今天这位咨询的结友,在新冠感染之后发现新发的8mm结节,还伴斑片状磨玻璃密度灶。当地医生直接安排住院检查,加穿刺处理。因为早先咨询过我结节的事情,加上工作环境没有粉尘和刺激性物质,所以希望我来给出个精准诊断,判定凶吉。
看完片子,在这种情况下,可以断定是感染性病变。因为他结节的尺寸变化就符合感染性病变的特性。在抗炎处理的情况下,结节的尺寸从8mm增大到了24mm,体积翻了近20倍,直接排除肺癌和其他结节所致。那么首先考虑的是结核,其次考虑的是真菌感染(这可能也是抗炎处理无果的原因)。不过不用着急,现在肯定是良性的病变,后期可控,勿忧。
以下转自结友的网络咨询:
2023-06-06
男,35周岁。22年11月体检提示左肺有5mm结节,医生说半年或者一年复查,但是我害怕就自行口服拜复乐和夏枯草口服液,但是没有去复查,因为12月底我就阳了,过了半年也就是今天才去复查。
但是右肺下叶新发一个8mm的结节,还有多发斑片状磨玻璃密度灶。主任当时留言说考虑炎性,应该能消。吃莫西沙星12天又过了半个月复查,发现结节增大到2.4cm。医生说得住院检查。还建议穿刺!
从事工作没有接触粉尘和刺激性物质,但是工作环境密闭。请主任帮我看一下到底是什么性质。



我的回复:
感染性病变,首先考虑结核,真菌感染不除外。