出动之时,有些患者吹了冷风或者是吃了有刺激性的食物后,牙齿出现了酸痛的症状。这种表现不一定是由于牙周炎或者根尖牙,而有可能是牙齿出现了楔状磨损所导致的。
有一部分患者对楔状磨损并不是很了解,不知道自己的牙根为什么会出现楔状磨损,出现一排排楔形的缺损痕迹,慢慢的不敢碰冷热酸甜,甚至吹吹风都痛的厉害,今天我们为大家详细讲解一下楔状磨损。

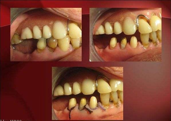
楔状磨损指的是患者的牙齿因为外部因素缓慢地消耗,在靠近唇颊侧的一侧出现的缺损,因其形状与木匠所用的楔子相似,所以称作为楔状磨损。
有很多原因会造成患者出现楔状磨损,一般是不良的口腔卫生习惯及用牙习惯所导致的。
总结一下,造成患者楔状磨损的原因有:
1,个人的刷牙方式不正确对牙齿造成伤害。
有一部分人刷牙时大力横刷,其实这种方式会对牙齿造成损害,如果长期保持这样的刷牙方法,久而久之,牙齿就会受到伤害,连续几颗牙齿都会出现楔状磨损。
2,牙齿脆弱容易磨损。
因为身体里缺少某些微量元素或者是其他原因,导致某些患者的牙齿十分脆弱,相对较易受到伤害,更容易被磨损。

3,酸性物质过多。
无论是患者本身的唾液PH值偏低,还是经常食用酸性食物,亦或是工作的过程中需要接触很多酸性物质;这些都可以导致患者的牙齿发生钙溶解的状况,导致其牙齿更容易出现楔状磨损的问题。
4,患者所使用的牙刷毛质过硬。
不仅是刷牙方法会导致楔状磨损,牙刷刷毛的质量也是影响因素之一。过硬的刷毛会对牙齿造成一定的磨损,加之以不正确的刷牙方式,患者的楔状磨损就会越来越严重。

出现楔状磨损并不是一个小问题,楔状磨损在很多方面给患者带来负面影响:
1,牙齿常会有不适感。当患者的牙齿出现了楔状磨损,疼痛和酸软是患者经常会面临的问题,常常感到不适势必会降低患者的生活质量。尤其是在进食的时候,患者的牙齿会感到异常不适,如果长期是这种状况,患者的消化系统也会受到连带影响。
2,影响患者的美观。当出现楔状磨损时,患者的牙齿上会有肉眼可见的缝隙以及空洞,而且经常在几颗牙齿上同时都有,这是极其不美观的。
3,牙齿脱落和折裂的风险加大。因为楔状磨损一般是横向的,如果情况较为严重的话,一旦患者咀嚼硬物或者其他的意外状况发生,牙齿是极易发生断裂的。

出现了楔状磨损后,一定要及时到医院进行治疗和处理。一般如果患者的症状较轻,不需要做特殊的医疗处理,但需要患者在今后的牙齿护理方面多注意,选用软毛的牙刷和颗粒较小的牙膏,尽量避免横向刷牙。
如果患者的磨损较为严重,可以选择用相应的材料比如复合树脂对缺损部位进行修复和填补。根据患者个体情况的不同,医生会有不同的治疗方案,这时候就需要患者谨遵医嘱了。

防患于未然,在楔状磨损未出现之前,做好预防工作就会避免很多的麻烦
1,用正确的刷牙方式清洁牙齿。尤其不要大力横刷,用软毛牙刷针对不同部位的牙齿用不同的刷牙方法。

2,避免咀嚼过硬的食物。例如用牙齿开坚果或者是啤酒瓶盖,这都是不可取的,要尽量避免牙齿受到外力而发生磨损。
3,尽量做到口腔内环境的酸碱平衡,不要食用太多酸性食物,进食后及时漱口清洁掉口腔内的食物残渣。
如果你的牙齿已经出现了酸痛状况,一定要及时检查是否是楔状磨损所导致的,按时就医,谨遵医嘱!

我是牙科医生黄征难,35年从业经历,如果你有任何口腔问题,欢迎在主页私信咨询,或评论留言!可以私信牙片,我来帮你免费问诊!