
随着年龄的增长,你是不是觉得牙缝越来越大,牙齿越来越长,有时候觉得自己像个“吸血鬼”。其实,并不是牙齿変长或者牙缝变大,而是牙龈发生了退缩。
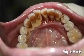
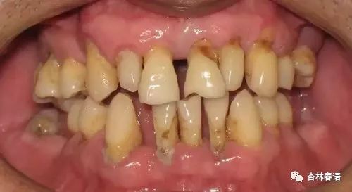
牙周病包括仅累及牙龈组织的牙龈病和波及深层牙周组织的牙周炎两大类疾病。健康牙龈应该呈粉红色,但随着年龄增长,牙龈和牙周组织退缩,牙龈与牙根分离导致牙根暴露,牙缝逐渐增大,牙齿“变长”。牙周病可导致牙槽骨的吸收和牙周组织的破坏,甚至影响咀嚼及发音,是造成35岁以上人群失牙的主要原因。牙周病患病率较高,是严重影响成年人生活质量的口腔疾病之一。有没有办法让退缩的牙龈长回去?这是很多人都想知道的。
门诊里常见很多牙周病的患者,轻度者无任何自觉症状,重者常引起牙根敏感、食物嵌塞和牙颈部龋坏等。如果牙龈萎缩发生在前牙,会导致“黑三角”,常影响美观,并且敏感性增大。

牙周病的常见病因:
1、牙周致病菌牙周致病菌聚集粘附于牙体和修复体表面,进而形成牙菌斑是牙周病的主要因素。
2.全身因素:某些遗传因素可增加宿主对牙周病的易感性;性激素水平改变和牙周炎程度密切相关,妊娠和服用激素类避孕药时炎症加重;糖尿病、艾滋病、骨质疏松症等系统性疾病与牙周病发病相关。
3.环境因素吸烟、精神压力、口腔保健条件等与牙周病相关。

牙周病不是由单一因素引起,更多是多个因素联合产生的。牙龈一旦发生退缩,较难通过牙龈和牙槽骨再生来恢复原有的高度。因此,一旦发现异常,要尽快进行干预。
1.定期洗牙:每6到12个月进行一次洁牙,是预防牙龈炎症的有效措施。已有牙周病的患者,应及时接受系统的牙周治疗从而有效预防牙龈进一步萎缩现象的发生。
2.掌握正确的刷牙方法:不要使用刷毛较硬的牙刷,牙膏的选择磨擦剂应粗细合适。要学会正确的竖刷法刷牙,刷牙要动作轻柔,不要用力过猛。日常辅助使用牙线、牙间隙刷等工具清理牙刷难以到达的位置。
3.发现和尽可能纠正全身性或环境因素,如吸烟、用药情况、全身病的控制等。
4.规范的口腔修复治疗:不良修复体会滋生细菌、引起牙龈炎症,进而导致牙龈退缩,建议到正规医疗机构进行规范的修复治疗。
5.保持积极健康的心态,积极缓解心理压力。
我院口腔科经过一段时间的升级改造,现以全新的面貌迎接广大患者和本院职工,诊疗环境舒适,设备先进,欢迎大家前来就诊。
科室简介

石家庄市中医院口腔科,是治疗口腔疾病的专业科室,建科40余年,已发展成为功能齐全、设备一流、学术领先,有一支以专家、教授为学术带头人的专业技术队伍,是集口腔医、教、研于一体的综合性科室,其中主任医师两名,副主任医师一名,主治医师三名,医师一名。
口腔科以西医治疗口腔疾病为主,技术力量雄厚,学科齐全,专业特色突出,诊疗项目包括:牙体、牙髓病、牙周疾病的治疗;微创无痛拔牙,口腔手术、外伤缝合等;针对各种类型、各年龄段牙齿畸形进行矫正,开展了直丝弓矫治、功能矫治,引进进口陶瓷隐形托槽、进口自锁托槽、种植体支抗技术、隐形矫治技术等;在传统的活动义齿、全口义齿、铸造冠等修复手段基础上,大力开展精密附着体、美容冠修复,贴面、嵌体等高新技术,满足了不同患者的需求;并结合医院自身的中医特色治疗口腔溃疡等粘膜疾病。
口腔科热线: 0377-89639397

想要了解最权威,最前沿,最实用的医疗资讯 ,请扫描下方二维码,关注“ 杏林春语 ”--您身边的健康资讯专家。

(编辑 闫晨璐)
投稿邮箱:zhongyizhiyou@126.com (投稿请注明投稿人信息)
石家庄市中医院
全国中医药文化宣传教育基地
微信号:yzxlcy
加关注
☑咨询电话:0311--89639522
☑医院地址:石家庄市中山西路233号。
☑乘车路线:市内乘1、快1、6、快6、11、30、34、317、快107、游1、游5路到新百广场西下车沿中山路西行100米路北。
☑地铁路线:地铁乘坐1号线、3号线新百广场站下车。
☑东院区地址:石家庄市建华北大街138号。
☑乘车路线:市内乘56、57、73、110、102路到石家庄市中医院东院区站下车。
☑地铁路线:地铁乘坐1号线北宋站下车北行。
☑东院区咨询电话0311-68068899
凡在石家庄市中医医院住院的
职工医保、城乡居民患者

一、报销起付线低
市医保门诊起付段
|
医院起付段 |
在职职工 |
退休职工 |
备注 |
|
其他三级甲等医院 |
1500 |
1500 |
|
|
市中医院东院区 |
1000 |
1000 |
三甲医院二级收费优惠 |
市医保住院起付段
|
医院起付段 |
在职职工 |
退休职工 |
居民 |
备注 |
|
其他市属三级医疗机构 |
900 |
800 |
1000 |
|
|
市中医院本部 |
800 |
700 |
900 |
我市中医医院优惠政策 |
|
市中医院东院区 |
600 |
500 |
700 |
三甲医院二级收费优惠 |
二、报销比例高
|
医院 起付线 |
在职公务员 |
在职和退休职工 |
慢病职工 |
备注 |
|
其他三级甲等医院 |
60%1500+90%1000 |
60% |
80% |
|
|
市中医院东院区 |
70%1500+90%1000 |
70% |
85% |
三甲医院二级收费优惠 |
注:我院为中医院,参保城乡居民和职工在我院住院,起付标准再降低100元,报销比例在原报销基础上提高 3 个百分点,最高报销比例不超过97%。
阅读后有何感想,留言给我们吧!