牙齿矫正根据每个人的牙齿情况不同,矫正时间大概在一年半到两年左右,而矫正后的一些问题,也是大家所关注的!有一些人在矫正后,发现自己的牙缝处有一个三角形的空隙,总感觉它的出现,影响了美观,它是不是牙齿矫正带来的呢?我们应该如何避免?

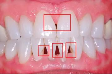
什么是黑三角?
当牙龈不能完全覆盖两个牙齿的牙颈部与接触点之间的间隙时,在相邻两颗牙齿之间出现了一个黑色的、空洞的三角形——俗称为 “黑三角” 。
黑三角(black triangle)的专业学术名词是——开放性龈楔状隙(open gingival embrasure space,OGES),指邻间龈乳头不能完全覆盖龈楔状隙而形成的可视三角形间隙。
为什么觉得黑三角可怕?
很多人觉得黑三角可怕之处在于,它影响美观,其实它真正的可怕之处在于,它不但无法自我修复,反而可能会越来越严重。一方面是黑三角容易造成食物嵌塞,另一方面它更容易让细菌积累,影响牙周健康。
黑三角形成的原因?
黑三角是一个多因素发病的疾病,主要病因可以分为两大类:
1、接触点的位置过高
2、牙槽嵴顶高度降低
两牙接触点到牙槽嵴顶之间的垂直距离,是决定黑三角程度的重要因素。

哪些情况容易出现黑三角?
很多人在牙齿矫正后,出现了这种情况,就觉得是矫正的弊端,其实以下这些情况黑三角出现,比如:牙周炎、牙冠形态、天生牙周不同、牙根分散、年龄、牙齿拥挤。其中牙周炎会导致牙龈萎缩、牙槽骨吸收,是导致黑三角形成的主要原因之一。
黑三角,如何避免和挽救?
黑三角的产生有很大一部分原因是牙齿清洁没有清洁好,导致产生牙菌斑牙结石从而导致牙龈萎缩而产生,注意清洁牙齿可以有效减少黑三角产生。

1、保持正确的刷牙方法。使用正畸专用牙刷,每天使用牙线
2、成人正畸尤其要关注牙周状况,定期进行牙周基础治疗,
3、与正畸医生积极配合,有问题及时反应。
黑三角就是由于正畸期间不能彻底的清洁口腔,导致菌斑堆积。菌斑刺激之下,导致牙周炎的产生,牙槽骨吸收。牙槽骨吸收以后牙龈随之降低黑三角就出现了。