点击「神经介入在线」可快速关注
作者 | 徐锐
日照市人民医院
病例详情
病历摘要
患者,男,72岁,左侧后交通未破裂宽颈不规动脉,同侧交通段有个80一90%狭窄。
治疗难度及处理难点
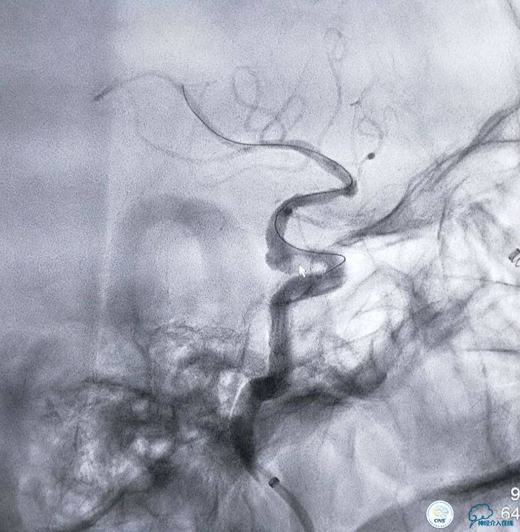
1. 路途迂曲,右侧髂动脉迂曲,左颈总动脉迂曲,左颈内动脉开口狭窄50%左右。
2. 载瘤动脉近端严重狭窄。
3. 动脉瘤宽颈,形态不规则呈分叶状。

术前讨论:如何保障手术顺利安全?
1. 针对路经迂曲,计划8F鞘穿刺,置入6F长鞘到左颈总动脉,沿长鞘将6FNavi送到颈动脉岩段。
2. 将微导管,微导丝越过颈内动脉交通段狭窄段。使用Getway球囊对狭窄的进行扩张。
3. 将支架导管越过狭窄段,Neuroform支架。
4. 将微导管选择到动脉瘤腔内进行填塞。

手术过程
▼全麻后,导引导管到位以后,选择合适的工作角度。

▼将3米的微导丝超选择到大脑中动脉M2以远。

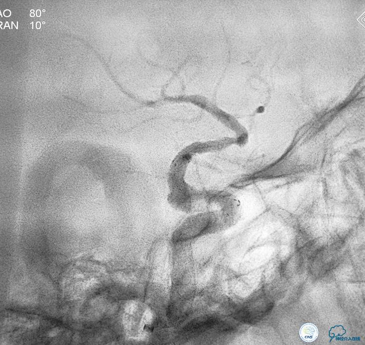
▼选择3×9mm Getway球囊进行扩张。

▼扩张后狭窄明显改善。

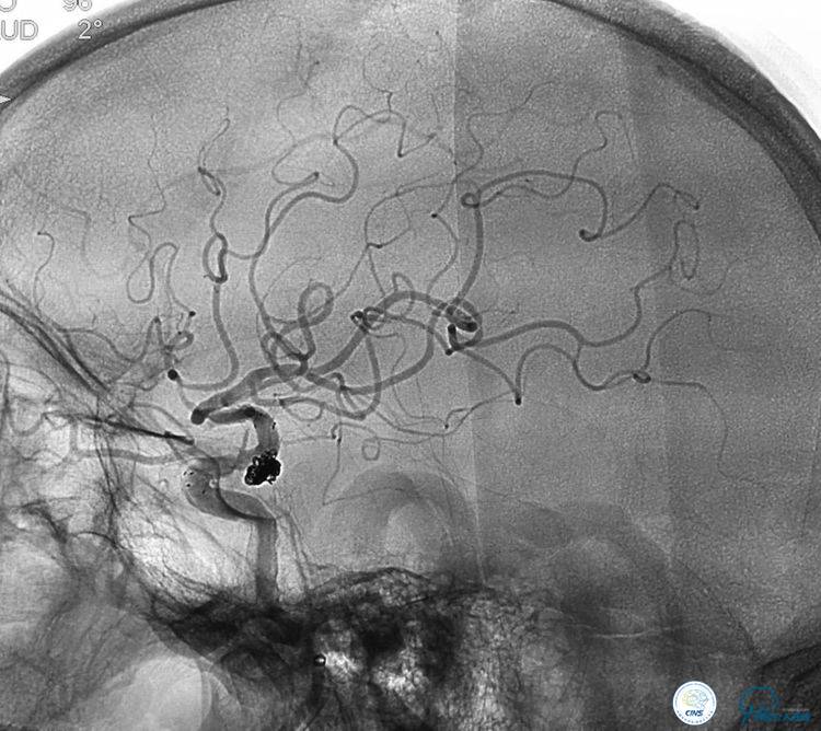
▼释放4.5x20 Neuroform支架。

▼将微导管超选择到动脉瘤腔内。
▼2个微导管到位。
▼分别进行栓塞。

▼动脉瘤致密栓塞,血管狭窄改善,载瘤动脉通畅。

▼患者康复。

总结
本例手术的特点和难点:髂动脉、主动脉、颈动脉迂曲,左侧颈动脉开口有狭窄。后交通动脉瘤呈宽颈分叶状,动脉瘤近端有一个约80一90%的狭窄。
治疗策略:采取支架辅助弹簧圈栓塞治疗动脉瘤。但由于动脉瘤近端的血管狭窄,如果不实施对狭窄血管的干预,支架释放后,很可能会导致支架打不开或者导致血管闭塞。因此首先对动脉瘤近端的狭窄血管进行球囊扩张,扩张的危险性就是有可能会导致动脉瘤的破裂。因此我们选用了超柔顺性的球囊。球囊扩张之后置入支架,由于动脉瘤呈分叶状,所以我们选择了双微导管支架辅助弹簧圈栓塞治疗这例动脉瘤,取得了良好效果。
欢迎大家积极投稿!
中国卒中学会第三届学术年会(CSA)暨天坛国际脑血管病会议(TISC)’ 2017 是脑血管病领域最具影响力的学术盛会之一。希望大家积极发挥学术先锋作用,撰写高质量的学术论文,在中国脑血管病领域的大舞台上发出强有力的学术声音。