#哆咖医生超能团#
最近,眼睛有点黄,医生问尿黄不,才想起尿很黄,还以为是喝水少,上火了,让化验血、尿,做CT,结果出来还不行,又让核磁平扫加增强加MRCP,大惑不解,问医生:黄疸化验不就解决问题了吗?还做CT核磁干什么?
可能很多人遇到这样的问题,今天我给大家讲讲黄疸影像检查的意义。

肝道系统示意图(来自网络)
黄疸,是一种症状,由很多病都可以造成黄疸。简单理解,血液中胆红素浓度升高,可沉积在眼巩膜、皮肤等处,而表现为黄色,尿中浓度升高,则尿黄。
这里,胆红素代谢有一个复杂的过程,涉及红细胞、肝细胞、小肠粘膜细胞、胆管、肠管、血液、尿液等,还有直接胆红素、间接胆红素等中间产物,在此就不多叙述了。

胆道系统MRCP图
黄疸,可分三类,阻塞性黄疸,溶血性黄疸,肝细胞性黄疸。
阻塞性黄疸,最常见的是胆道系统的结石、炎症、肿瘤等等,造成胆道阻塞,引流不畅,胆红素入血,出现黄疸症状。
肝细胞性黄疸,是因为肝脏疾病,如肝炎、肿瘤等,造成肝细胞破坏,胆红素入血,出现黄疸症状。

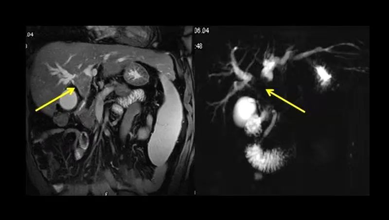
肝左叶肿瘤,局部胆管扩张
还有一类是溶血性黄疸,红细胞破坏后,血红蛋白转化成胆红素增多,同样会出现黄疸症状。
这三类黄疸,在治疗上很不一样,阻塞性的、肝内肿瘤,需要外科处理,也就是手术治疗或化疗放疗,而溶血性和肝炎等,则需要通过内科治疗。所以,确定是哪一类黄疸,对于治疗方向具有重要意义。

胆总管下端结石CT和MRCP图
黄疸病人为什么要做影像检查呢?
影像检查有三个作用:一是确定是否阻塞性黄疸,二是确定阻塞部位,三是明确病因。
影像检查方法最常用的包括,超声、CT、MRI等。
超声,简单快捷,可初步发现阻塞性黄疸,像胆道系统结石,超声敏感性很高,对炎症、肿瘤也可以及时发现;首先认定是否阻塞性的黄疸,阻塞的部位、程度,是否需要外科处理等。
CT或MR平扫加增强,可进一步查清病变性质,尤其是肿瘤,可以判断肿瘤性质、分期,与周围组织的关系,帮助制订治疗方案。

肝门部肿瘤MRI和MRCP图
MRCP,也叫磁共振胰胆管成像,是磁共振一种特殊成像方法,能快速直观地对整个胆道系统进行成像,可一目了然了解胆道疾病的部位和程度,现已广泛应用于临床。