
近年来由于CT技术的发展,肺结节的诊断越来越准确,曾经通过胸片检查不到的微小结节均可被发现,被确诊的肺结节患者也在逐渐增多。很多患者确诊后发生恐慌、焦虑等负面其情绪,但是肺结节真的如此危险吗?其类型有哪些,所有类型肺结节都需手术吗?如何针对不同情况选择正确的治疗方式呢?2019年车国卫教授+团队病友沙龙——肺结节诊治及术后处理多学科论坛上,来自四川大学华西医院肺癌中心的副主任医师唐小军教授,将告诉我们答案。
肺结节的定义
肺结节:影像(主要指CT)发现的直径<3cm的类圆形阴影。结节分为纯磨玻璃结节、混合密度结节和实性结节。

结节的3种密度类型
肺结节的分布和数量种类
结节有孤立性肺结节和多发性肺结节两种,顾名思义,多发性肺结节一般为一叶肺或者双侧肺上有多个结节,甚至肺结节的数量多至布满整个肺。唐小军教授谈到,这些情况都将影响着治疗方式的选择,手术的考虑等。

肺结节的分布和个数
肺结节的常见性质
无论哪种结节类型,都有良性和恶性两种可能性。唐小军教授强调到,虽然有些结节具有明显恶性特征,但还是不能通过CT影像百分百判断结果,最准确的判断方式只有病理切片。因此,通过CT的经验大体分为以下几种性质:
炎性结节(包括非特异性炎症或特异性炎症,如结核);
肺内淋巴结;
良性肿瘤,如错构瘤;
原发性肺癌;
癌前病变:如非典型腺瘤样增生;
转移性肿瘤。
发现肺结节怎么办?
唐小军教授展示了2018年肺结节诊治中国专家共识,共识表明了8-30mm结节的处理方案,但唐小军教授提到,治疗方式还是要根据病例的实际情况具体分析。

接下来,唐小军教授展示了结节直径≤8mm的诊治共识,由于近几年CT的发展迅速,如今CT的分辨率非常高,1-2mm的结节均可被查出,因此这种大小的结节临床上很常见。

结节直径≤8mm的处理方案

亚实性肺结节的临床管理流程
病例分析
唐小军教授提到,直径≤8mm的结节需定期随访,是否需要手术要根据随访结果而定。对此,唐小军教授展示了几个具体的病例进行说明:
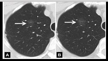
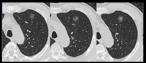
7mm磨玻璃结节,定期复查,20个月后CT发现结节长大,手术切除,病理证实为微浸润腺癌。因此,唐教授特意提醒大家,虽然磨玻璃结节50%以上为恶性,但也无需过分恐慌,因为其生长速度很慢,绝大多数小于7mm的磨玻璃结节均属很早期,可以定期复查,如果发现结节长大或密度增大,再手术切除。

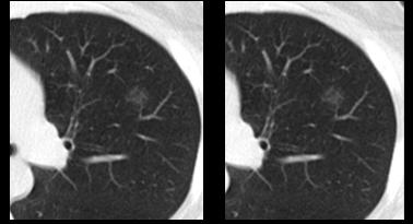
磨玻璃结节,定期复查,5年均未见明显变化,继续随访。对于这种不生长的情况,专业称为“休眠”,休眠状态通常不需要手术治疗,患者可以带结节生活,因此,是否需要手术需要医生根据实际情况做专业判断。

8mm磨玻璃结节,定期随访,CT发现结节实性成分增多,手术切除,病理为腺癌。

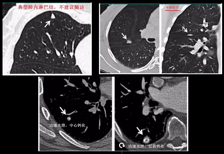
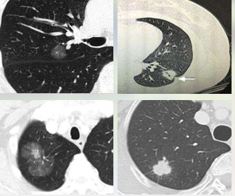
8mm以上的结节,如果有钙化等典型的良性病变特征的,每年常规体检就可以了。

8mm以上的结节,如果有典型的恶性特征,例如短毛刺、分叶等,要直接手术。唐小军教授强调,一旦发现这种情况,大多数无需做穿刺活检确认,要保证宁可错杀不能漏掉,但如在极少数特殊情况下,也可进行穿刺确认。

如何判断肺结节是否需要手术治疗?
唐小军教授提醒大家,肺结节是否需要手术治疗以及其手术方式,除了良恶性的情况外,还需考虑其他影响因素。
例如结节比较小,又在肺的中间位置靠近肺门,这种情况就算是恶性可能较大的8mm以上的磨玻璃结节,也不能发现后直接手术,需要观察后视病人的危险情况而定。唐小军教授解释道,若要切除长在中间位置的结节,则需肺叶或肺段切除,这种对患者的影响较大的手术,需评估危险因素后决定。
另外,对于年龄较大的带有磨玻璃结节的患者,也不需要紧急手术,由于磨玻璃结节的生长速度很慢,有的需要几年时间才可能长大,因此需要观察,其观察第一周期为3个月,若未生长则延长至半年,半年后再无问题则每年体检即可。
唐教授还提到一种需观察后再进行手术的情况,即双肺多发性磨玻璃结节,由于需切除的结节过多,要先由医生判断哪些是危险结节,有选择地进行切除。
肺结节手术切除的途径和不同术式
1.传统开放手术
优点:暴露充分,适合完成复杂肺癌手术,尤其是局部晚期中心型肺癌切除手术;
缺点:手术创伤大,痛苦多,术后恢复相对慢。
2.微创手术
以胸腔镜为标志的微创手术方式,已成为肺癌,尤其是早期肺癌的主流手术方式;包括单孔/双孔和三孔胸腔镜、剑突下胸腔镜,具有创伤小、痛苦轻、恢复快的优势。近年来机器人手术也被用于肺癌手术治疗。
肺结节手术的不同术式
唐小军教授提到,对于肺结节手术,要根据肺结节的大小、位置、数量及分布来选择具体手术方式。
1.楔形切除:

结节位于肺周边部分;
结节直径<2cm的磨玻璃结节;
患者年龄或身体情况不能耐受更大范围肺切除或更复杂的手术方式;
需要获取病理诊断及基因检测所需要组织,而其他手段无法实现。
2.肺叶切除:

结节位于肺叶中心区域,临近肺叶的支气管和血管;
结节直径>2cm的确诊为肺癌的结节;
胸膜受侵犯的肺癌结节;
术中病理检查证实有肺门/纵隔淋巴结转移的肺癌;
同一肺叶有多个确诊或拟诊为肺癌的结节。
3.解剖性肺段切除:

结节<2cm,且实性成分<50%,未侵犯胸膜;
没有肺内/肺门以及纵隔淋巴结转移;
与肺叶的支气管和肺血管距离>2cm;
不能耐受肺叶切除的部分患者。
4.联合肺段切除
5.同期双侧肺楔形/肺段/肺叶切除
肺部结节术后复查及治疗
很多病人对于术后是否需要复查及治疗产生不确定性,唐教授提到,这主要取决于术后病理检查结果,还要结合病人的恢复情况、身体状况等因素综合判断。
原位癌/微浸润癌/IA期肺癌:无需术后治疗;
II期/III期肺癌:需要术后辅助治疗;根据具体分期/细胞学类型/基因检测结果来决定具体治疗方案;
IB期肺癌:术后治疗存在争议,多数学者认为不作术后治疗;如果复发危险因素多的患者,可以考虑术后治疗。
复查方案
术后1个月可以复查胸部CT,了解手术恢复情况;以后每3-4个月复查,2年后每6个月复查;5年后如果没有肿瘤复发/转移,每年复查一次。
复查项目
胸部增强CT,腹部增强CT,头部增强MRI或CT,肿瘤标志物(癌胚抗原,非小细胞肺癌特异性抗原,NSE等)。
【专家简介】

唐小军教授,四川大学华西医院肺癌中心,副主任医师。四川省胸腔镜学组委员,四川省医学会肿瘤学术委员会委员。
熟练掌握肺癌、食管癌胸腔镜微创切除等胸科常规手术及支气管、肺动脉双袖式肺叶切除,气管肿瘤切除,巨大纵隔肿瘤切除等复杂胸科手术。
从事普胸外科临床、教学和科研工作20年,擅长于肺癌的外科治疗,负责国家级自然科学基金项目及其他各级别课题近10项,在核心期刊和SCI期刊发表学术论文10余篇。