食管腺样囊性癌是一种罕见的食管恶性肿瘤,临床上容易被误诊。近期,中科院合肥物质科学研究院研究员杨武林、赵加荣等学者研究出一种新技术方法,将传统组织学形态与新型免疫标志物相结合,实现了对食管腺样囊性癌的精准诊断,对临床确诊及正确设计治疗方案具有重要意义。国际医学学术期刊《国际临床与实验医学》发表了该研究结果。
食管癌是一类疾病的统称,实际上根据病源可分为多种类型,食管的表层粘膜上皮细胞、粘膜下层的疏松结缔组织细胞、腺细胞等都有可能发展出肿瘤。各种食管癌的治疗方案和愈后情况都有所不同,需要在前期做出精确诊断。食管腺样囊性癌是一种罕见的食管恶性肿瘤,以前临床上主要根据形态学进行观察,很容易误诊为其它类型的食管癌。
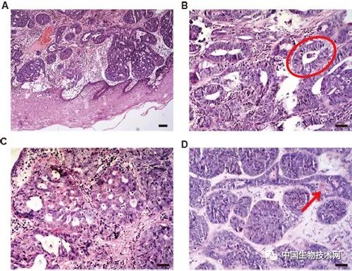
近期,中科院合肥肿瘤医院收治了一名不能明确病理分型的转诊患者,中科院合肥物质科学研究院的科研人员首先通过“染色法”观察到病人的病变组织位于粘膜下层,呈管状、筛状、实型三种典型结构,再通过“分子标记法”,使用腺上皮标志物、肌上皮标志物对病变组织进行标记。免疫组化分析显示,随着病情加剧,其病变组织形态由管状、筛状向实型发展,上皮标志物也随之变化,表现出特征性改变,预示着肿瘤细胞发展伴随特殊的内在分子转变。这种特异性可以为腺样囊性癌的精确诊断提供分子标识。

组织学检查结果

免疫组化结果
中国生物技术网诚邀生物领域科学家在我们的平台上,发表和介绍国内外原创的科研成果。
注:国内为原创研究成果或评论、综述,国际为在线发表一个月内的最新成果或综述,字数500字以上,并请提供至少一张图片。投稿者,请将文章发送至weixin@im.ac.cn。
本公众号由中国科学院微生物研究所信息中心承办
微信公众号:中国生物技术网
回复关键词 “ 热点 ”可阅读热点专题文章,包括“施一公”、“肠道菌群”、“肿瘤”、“免疫”和“健康”
近期热文
直接点击文字 即可浏览!
1、补牙或将成为历史?
2、科学你慢慢学,中医我先治病去了
3、科学告诉你应该多久洗一次澡
4、新证据:喝咖啡能延长寿命!
5、据说,这是生物医学硕士博士生的真实的生活写照
6、一顿早餐到底有多重要?
7、情商也是把双刃剑!高情商或让你更脆弱
8、施一公:压死骆驼的最后一根稻草,是鼓励科学家创业!
9、“科学禁食法”真能降低重大疾病风险
10、睡眠科学家揭示出8种睡好觉的秘诀
11、有志者事竟成!2型糖尿病成功被逆转
12、每周两半小时,任何形式的锻炼都可以使你更长寿
13、喝醉以后,你以为睡一觉就没事儿了?!
14、仰卧起坐等或将成为延寿运动?
15、冥想、瑜伽、太极等不仅能够改善身心健康...