

提到多囊肾,相信大家都有或多或少的疑问,今天就由熙熙带大家全面了解这一慢性肾病!
Part.1
什么是多囊肾病(PKD)?
Poly-cystic Kidney Disease
Poly:多个、百个
cystic:有包囊的
Kidney:肾
Disease:病
多囊肾(Polycystic kidney disease,PKD)是一种常染色体显性遗传病,以肾脏实质内逐渐遍布囊肿为特征, 是猫最常见的遗传疾病之一 。该疾病是由于猫的PKD1基因29外显子发生了C-A的位点突变,主要影响 波斯猫及其相关的品种 (表1)。
全球范围内, 40-48% 的波斯猫携带PKD突变,而非波斯猫品种的猫的PKD发病率约为 9-14% 。全世界范围内,大约有 6% 的猫可能会被多囊肾所影响,并不罕见。[1]

多囊肾是怎么遗传的?
大多数猫多囊肾属于"AD-PKD",是一种常染色体显性遗传病,父母双方 任何一方有PKD1基因突变 ,就有可能遗传给后代。有下面这些特点:
1、 携带有PKD基因突变的猫必然患病 ,或早或晚,或重或轻,没有例外。
2、有PKD基因突变的猫与健康猫交配,他们的后代 一定 会有部分携带突变基因。
3、有多囊肾的猫,同窝兄弟姐妹 不一定 会得。

也许你想问,如果 父母双方都有PKD基因 怎么办?
这种情况现实中是 很难遇到 的。父母双方都有PKD基因造就出的纯合子(homozygous)后代,在子宫中就会出现严重的病变,流产、死产近乎必然,不可能健康长大(也有极为罕见的例外,发育至三个月大[2])。
Part.2
多囊肾有哪些症状?
多囊肾 在早期不存在任何症状 ,此时"水泡"尚不多,个头也不大,还不会明显影响肾脏功能。随着病情发展,猫可能会 出现易渴、触摸肾脏肿大/形态异常等的情况 ,这时候检测肾脏指标不一定能发现端倪,影像学检查如X光可能发现肾脏肿大,但 确诊需要b超诊断 。
此外,不少多囊肾的猫也更容易患上 下泌尿道疾病 ,又因为多囊肾会影响肾脏尿液收集系统,尿液容易潴留,肾脏感染的几率也会比较高。等病情发展到 晚期 ,除了常见的慢性肾病症状,猫还会因为肾中的 包囊破裂、增大感受到剧痛 。

总结
1、早期无任何异样
2、可能出现肾肿大、多饮多尿、排尿异常
3、早期不一定引起肾脏指标异常
4、可能出现肾性高血压
5、可能出现心脏杂音
6、易得下泌尿道疾病
7、易得肾脏感染
8、晚期多囊肾往往会伴随着剧痛、精神食欲下降、消瘦
9、最终会造成不可逆的肾衰竭
需注意: 多囊肾不仅仅影响肾脏
有PKD基因的猫,除了肾脏被影响,有时候 肝脏、胰腺和子宫 也会出现类似多囊肾中那样的"水泡"。目前的数据还不够充份, 有限数据 表明 至多68%,至少6% 的多囊肾猫咪,其肝脏中会出现这类 囊肿状的病变 。[3]
Part.3
我的猫有没有多囊肾?
想确定你家猫有没有多囊肾只有两种办法: B超 和 基因检测 。
超声波(B超)
B超检查是 最广泛 应用于多囊肾病诊断的工具。B超的局限在于没法探查过小“水泡”。检查的准确性除了跟B超医生有关也跟B超仪器的质量和精密度有关。
在 出生之时 ,肾脏中的水泡可能只有1mm或者更小,在大小超过2mm之前,一般是 难以察觉 的。B超检测多囊肾 要 等猫 9-10个月 之后,这时候的 准确度大致能达到91-98% 。[4] 只要有任何一个肾脏发现 至少一个无回声囊状暗区 ,结合高发品种,就可以大概率诊断为多囊肾病。

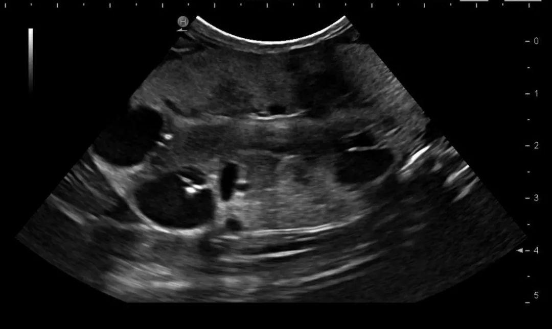
2岁异国短毛猫,超声发现双肾均有多个囊肿
(图片来源:中国农业大学动物医院影像中心)
基因检测
血液样本是 最可靠 的检测样本。其次 口腔采样 也可以检测是否携带多囊肾基因,但要求是要采到 一定量的细胞量 。
基因检测 也有局限 。之前提过,猫的多囊肾大多数是"AD-PKD",即来自于 PKD1基因突变 (位于exon29的颠换突变)。这类突变 多是出现在波斯猫相关的品种上 ,其他猫就不一定了。一些猫患上多囊肾跟这种变异没有关系,比如缅因猫就是如此。
所以说, 基因检测对于有繁育计划的高发品种猫舍 必不可少 ,但对 和波斯猫无关系的品种 ,则有可能 假阴性 (漏检)。随着科学的发展,可能会有更多的突变位点被发现, 目前的基因检测不能100%排除多囊肾。

有一些国外的统计显示,随着基因检测的普及,猫PKD的患病率正在大幅下降。这一趋势无法否认,但碍于统计数量不足,是否下降如此之多有待考证。
Part.4
多囊肾病怎么治疗和预防呢?
多囊肾病 目前尚无针对性的治疗方法 。在临床治疗中常按照慢性肾衰的治疗方案, 给予特殊饮食、液体疗法、止吐止呕药和阻碍磷吸收的药物 等对症治疗。
预防多囊肾的方法是 选择性繁殖 ,即从 源头上控制 基因筛选。在繁殖前筛查猫咪有无PKD1基因,若该基因检测是阳性则不建议进行繁殖。并在建议 在发展成肾功能异常之前进行绝育手术 。
另建议对具有波斯基因的波斯猫及相关品种 定期监测肾功能 ,即使无法防止猫患上多囊肾病,也可以通过控制症状来减缓疾病进展。

damien666 / Pixabay
调整心态
人、猫,或是狗的肾脏之所以长了一对,就是因为身体知道随着时间肾脏机能一定会慢慢丧失,所以多长了一个肾脏作为储备。
实际上,只要肾脏机能还 保有35-40%以上 ,身体就能 正常运转 ,不至于出大问题。如果想要 更早 地发现肾脏受损,可以 定期检测肾脏早期指标SDMA 。多囊肾要达到影响身体健康的地步,往往需要 多年的发展 才行。而及时的控制治疗可以 极大程度降低 多囊肾的影响。

sweetlouise / Pixabay
见招拆招
既然病情的发展无法有效减缓,而目前肾脏功能尚能维持,身体也没有出现异样,那我们就不需要瞎折腾。
若家里的毛孩子有多囊肾,我们 最需要关注 的事情就是 复查 ,监控病情发展。确诊多囊肾的猫咪应该 每年复查至少两次 ,也可以三次。 间隔4-6个月 。检查 肾脏指标、b超、尿检、血常规、血压 ,随时发现异样。(建议提前电话咨询医院是否能提供血压查询服务,避免跑空)
总之,只要肾脏指标 没有出现明显波动 ,就可以 正常喂养 ,不需要处方粮,不需要神奇药品,更不需要乱七八糟的补品。万一部分肾脏补品含有某些药物成分,甚至有可能 造成肾脏负担 ,过犹不及。
当指标出现不正常,正式确定多囊肾已经发展为慢性肾机能不足的情况时,再根据具体状况进行治疗,见招拆招。

正常饮食
确诊肾病后, 最容易犯的错误 就是下意识的选择处方粮。使用肾脏处方粮的合适时机是 iris3阶 (肌酐240-440µmol/L)或是面临 尿毒症 (BUN大于20-21mmol/L)时。
没有任何证据显示过早使用处方粮能对早期肾衰有益,反而可能有副作用。 早期肾病如此,多囊肾更是如此。

林政毅医生(猫博士)
特别鸣谢

本次科普邀请了 熙熙森林合作医院——Pet hospital联合宠物医院院荔湾分院长龚呈医生 进行指导。
龚医生为 全国首批ISVPS国际认证小动物内科专科医师 。2017年到美国爱荷华州立大学Lloyd兽医中心教学医院跟诊学习。在犬、猫科各大系统内科、急重症管理、影像学有较扎实的基础和丰富的临床经验。
参考文献
[1] Margie Scherk, DVM, DABVP (Feline Medicine) 《Feline Polycystic Kidney Disease》
[2] Bonazzi M, Volta A, Gnudi G, Cozzi MC, Strillacci MG, Polli M, Longeri M, Manfredi S and Bertoni G (2009) Comparison between ultrasound and genetic testing for the early diagnosis of polycystic kidney disease in Persian and Exotic Shorthair cats. Journal of Feline Medicine and Surgery (2009) 11: 430-434
[3] Bosje, JT et al (1998) Polycystic kidney and liver disease in cats. Vet Q 20:136-139
[4] Carvalho CF & Chammas MC (2011) Normal Doppler velocimetry of renal vasculature in Persian cats. J Feline Med Surg 13(6):399-404
[5] Cannon MJ, MacKay AD, Barr FJ, Rudorf H, Bradley KJ, Gruffydd-Jones TJ. Prevalence of polycystic kidney disease in Persian cats in the United Kingdom. Vet Rec. 2001 Oct 6;149(14):409-11.
[6] Barrs VR, Gunew M, Foster SF, Beatty JA, Malik R. Prevalence of autosomal dominant polycystic kidney disease in Persian cats and related-breeds in Sydney and Brisbane. Aust Vet J. 2001 Apr;79(4):257-9.
[7] Barthez PY, Rivier P, Begon D. Prevalence of polycystic kidney disease in Persian and Persian related cats in France. J Feline Med Surg. 2003 Dec;5(6):345-7.
[8] Domanjko-Petric A, Cernec D, Cotman M. Polycystic kidney disease: a review and occurrence in Slovenia with comparison between ultrasound and genetic testing. J Feline Med Surg. 2008 Apr;10(2):115-9.
[9] Bonazzi M, Volta A, Gnudi G, Bottarelli E, Gazzola M, Bertoni G. Prevalence of the polycystic kidney disease and renal and urinary bladder ultrasonographic abnormalities in Persian and Exotic Shorthair cats in Italy. J Feline Med Surg. 2007 Oct;9(5):387-91.
[10] Guerra JM, Freitas MF, Daniel AG, Pellegrino A, Cardoso NC, de Castro I, Onuchic LF, Cogliati B. Age-based ultrasonographic criteria for diagnosis of autosomal dominant polycystic kidney disease in Persian cats. J Feline Med Surg. 2019 Feb;21(2):156-164.
[11] Lee YJ, Chen HY, Hsu WL, Ou CM, Wong ML. Diagnosis of feline polycystic kidney disease by a combination of ultrasonographic examination and PKD1 gene analysis. Vet Rec. 2010 Oct 16;167(16):614-8.
[12] Wills SJ, Barrett EL, Barr FJ, Bradley KJ, Helps CR, Cannon MJ, Gruffydd- Jones TJ. Evaluation of the repeatability of ultrasound scanning for detection of feline polycystic kidney disease. J Feline Med Surg. 2009 Dec;11(12):993-6.
文案: 璇子
排版: 小袋
封面:choc℃ω0