1.解剖

每侧腺体有15~20个腺叶。每一腺叶分成20 ~ 40腺小叶,腺叶有单独导管,放射排列至乳头称乳腺导管。
乳腺小叶是乳腺的基本单位,大部分乳腺癌起源于此。
乳腺钙化绝大部分在腺泡内(小叶钙化)和终末导管(导管内钙化)
- 小叶钙化:
点状,圆形或者钙乳,密度均匀,边界清楚,弥漫或散在分布。小叶钙化几乎都是良性的。
- 导管内钙化:
大小、密度及形态变化很大。此类钙化为可疑恶性,且为BI-RADS分级的4级或5级。

诊断方法
分析钙化的 形态、分布及随时间的变化 。
1.钙化的形态 是决定钙化是否典型良性的重要因素。一般分为良性,可疑型 (中间型)和高度怀疑恶性型。确诊还是靠活检。

一.良性钙化
1. Skin Calcifications

通常是空心钙化,不同的位置,形态不会有很大变化。这是和实质钙化的主要鉴别点。 对表面皮肤做切线位投照可证实为皮肤钙化。
2. Vascular Calcifications

沿血管走形,小于50岁的患者,应当考虑冠状动脉疾病的可能,报告中应该提醒患者。
3. Suture calcifications

代表手术后缝线的钙化,典型表现为线样或管状,并常可见线结。
4. Coarse or 'Popcorn-like'


纤维腺瘤(fibroadenoma):典型的粗大爆米花样钙化。有时在肿瘤包膜边缘形成钙化,表现为环状钙化。与恶性钙化相比,纤维腺瘤的钙化通常较粗大于 2 mm, 分布更趋向边缘。

成簇分布,左乳退化型纤维腺瘤:
钙化略小且较密集,注意与恶性钙化鉴别。
5.Large Rod-like, Plasma cell mastitis

杆状钙化,沿着导管分布,有时呈分支状,通常见于60岁以上妇女。当小于1 mm和导管内原位癌的线样钙化鉴别困难。
浆细胞性乳腺炎,又叫导管扩张症,是导管内的脂肪性物质堆积、外溢,引起导管周围的化学性刺激和免疫性反应,导致大量浆细胞浸润。反复发作,破溃后形成瘘管,可以继发细菌感染,长久不愈。所以说是一种特殊的乳腺炎症。

右乳慢性炎症,导管钙化
6. Round and punctate calcifications

- 圆形钙化的大小在0.5-1mm,常见于终末导管小叶单元的腺泡。<0.5 mm,称为点状钙化。
- BI-RADS2:散在的环形钙化。
- BI-RADS3或4级:孤立的簇状钙化或新出现的或位于肿瘤同侧的钙化。
7. Lucent-Centered

空心钙化,也叫中心透亮钙化,呈圆形或卵圆形,1mm-1cm,常见于脂肪坏死,导管内碎片的钙化,偶见于纤维腺瘤。
8. Eggshell or Rim Calcifications

典型的油脂囊肿(oil cyst)“蛋壳”或“边缘型”钙化:
见于脂肪坏死或囊壁的钙化。薄层钙化,厚度一般在1mm以下。


囊肿壁蛋壳样钙化
9. Milk of Calcium

钙乳:一般在囊肿的底部。头尾位呈圆形或无定形,90°侧位上呈半月形或新月形。最重要特点位置不同,形状不同。
10. Dystrophic calcifications

- 这种钙化粗糙不规则,>0.5mm,通常空心样。
- 常见于放疗后或创伤后,约30%在放疗后3-5年发生,也被称为脂肪坏死。
- 有时需与复发的恶性肿瘤鉴别。
二.可疑型钙化
这种钙化呈 无定形 或 粗细不均匀状 ,常需要活检确定性质。
1.无定形钙化
通常太小或模糊不能判断其形状。
20%为恶性,常为低度恶性的导管原位癌。20%高风险,60%为良性。

术前被归为BI-RADS4,活检显示纤维囊性改变 。

- 腺体致密区无定形钙化,此为BI-RADS4级。
- 活检证实为DCIS合并浸润性导管癌。
无定形钙化
- BI-RADS2: 双侧且弥漫
- BI-RADS3:多发,双侧,簇状
- BI-RADS4:单侧簇状或者随访患者乳腺对侧新发。
2.粗大不均质钙化

BI-RADS4:活检 DCIS
- >0.5mm,不规则,较明显,可以融合。
- 中度考虑恶性。
- 必须与细小多形性钙化(< 0.5mm,高度恶性 )鉴别。

38岁,粗糙不均质钙化,病理:乳腺增生
粗大不均质钙化的鉴别诊断
1.纤维腺瘤
2.纤维化
3.创伤后萎缩性钙化(脂肪坏死)
4.DCIS
多发双侧提示良性;
簇状,线状或段性分布提示DCIS
高度恶性钙化
- 细小多形性钙化
- 细线状或分支状
细小多形性钙化
阶段性或线性,大小和形状多变,<0.5mm, 25-40%为恶性。

BI-RADS5,手术证实为DCIS。
细小多形性钙化

阶段性分布,分为BI-RADS5,手术证实为高级DCIS。

浸润性导管癌,多形性钙化、线虫状、分支杆状钙化。

女,50岁,多簇状细小多形性钙化,右乳外上浸润性导管癌。


不规则肿物伴多形性钙化,浸润性导管癌
细小多形性钙化

无定形,细小钙化 BI-RADS4 病理:纤维囊性增生
细小线样或细小分枝状
细小的线样或弯曲不规则钙化,通常<0.5mm,暗示管腔充填,如“铸形” 。通常为BI-RADS5

阶段性分布,其中有些呈线样分布 BI-RADS5
细小线样或细小分枝状

BI-RADS 5 活检证实高级DCIS
细小线样或细小分枝状

线状分布:沿导管方向线状分布:手术病理:浸润性导管癌。
2.钙化的分布:
- 弥漫散在分布:弥漫性钙化可为散在的钙化或遍及整个乳腺多发一致的簇状钙化。一般为良性。
- 局限性分布:散在分布于较大体积(>2cm)的乳腺组织,且不见于导管内钙化。
- 簇状分布:较小体积(<1cm)的组织内至少有5个钙化,当钙化弥漫分布于整个乳腺为良性钙化;单独的簇状钙化有恶性可能。
- 线样分布:钙化分布于一条线,说明钙化沉积于导管内,典型的见于DCIS将整个导管充填。
- 阶段性分布:钙化沉积于段或叶的导管及其分支。


3.随时间的变化
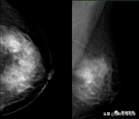
钙化灶自发溶解消退大部分反映的是良性疾病的发展过程,但不排除恶性疾病发生的可能。一般认为钙化灶保持稳定不变是证明其良性的征象,但并不可靠。有研究发现,在活检证实的恶性组中,25%的患者有8-63个月的稳定的微小钙化。钙化的形态似乎比稳定性更重要,且只有良性钙化的稳定性才可靠。研究还表明,微小钙化逐渐增多或者新出现的患者中,浸润性导管癌比导管原位癌的几率更大。

(左图为伴粗细不均钙化的患者,为BI-RADS3,可能为良性,恶性的可能<3%,6个月后随访时钙化增加了,活检证实为DCIS )
小结:
钙化是乳腺良恶性疾病的重要征象。根据钙化的形态、分布及随时间变化鉴别其良恶性有规律可循, 但在实际工作中, 良恶性钙化的形态特点有一定的重叠, 两者的鉴别仍有一定难度,有时结合病史和其它影像学方法,确诊还要依靠穿刺活检。