
妊娠期最常见的卵巢良性病变是卵巢囊性成熟畸胎瘤,卵巢浆液性囊腺瘤和粘液性囊腺瘤也是妊娠期常见的肿瘤。
(一)卵巢成熟囊性畸胎瘤
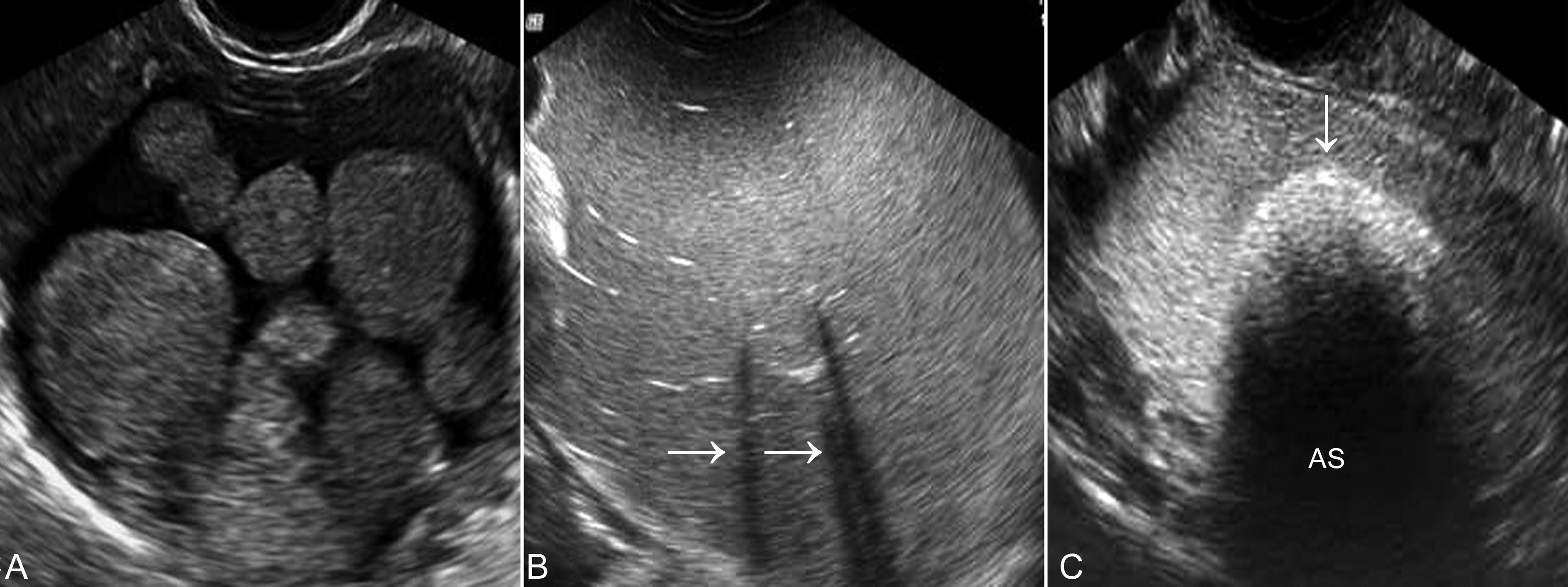
卵巢成熟囊性畸胎瘤(mature cystic teratoma )又称为皮样囊肿(dermoid cyst)。在妊娠期,卵巢成熟囊性畸胎瘤是最常见的卵巢占位性病变,并且也是超声显像检查诊断符合率最高的肿瘤之一,有资料表明,超声显像检查可以显示95%的卵巢畸胎瘤。声像图特点与非妊娠期一样,显示为典型的良性肿瘤回声,形态规则,表面光滑,内部为不均匀的回声区(图1,图1)。以液体为主时内部显示为无回声区,常混有比较强的点状或片状回声,弥漫性分布于无回声区内或沉积于无回声区的下部,随体位移动或振动时可有活动;以有形成份为主时显示较强的不均匀回声,皮脂显示为不甚均匀的强回声,骨骼显示为伴有声影的强回声(图1B),而毛发团则由于声波不能穿透而显示为伴有声尾的强回声(图1C)。

图1卵巢成熟畸胎瘤声像图
A:羊膜腔(AC)一侧显示形态规则、回声不均匀的畸胎瘤(M)回声
B:瘤体测量63mm×45mm

图2卵巢成熟畸胎瘤声像图
A:内部回声不均匀,显示实质性及液体回声共存的特点
B:均匀的回声提示由均匀的皮脂形成,内部混有声影,由骨骼形成
C:伴有声影(AS)的强回声(箭头)由瘤体内的毛发团形成
肿瘤扭转后可以引起孕妇严重的腹痛,超声显像检查显示子宫腔内妊娠征象正常,胎儿活动及胎心搏动正常,胎盘及羊水回声无异常发现;部分孕妇可由于严重的腹痛引起子宫反射性收缩。在腹痛侧可以显示瘤体回声,检查过程中可以发现瘤体及同侧腹部明显压痛;腹腔内可以显示少量液体回声。瘤体的突然破裂可以引起急性腹部危象(acute abdominal crisis),表现为腹痛在短暂的缓解后又重新出现,同时伴有休克、恶心、呕吐,检查时除可发现腹膜炎的体征外,可以伴有或无子宫的收缩。肿瘤内容物漏出后可以引起肉芽肿性腹膜炎(granulomatous peritonitis)。
(二)卵巢浆液性囊腺瘤和粘液性囊腺瘤
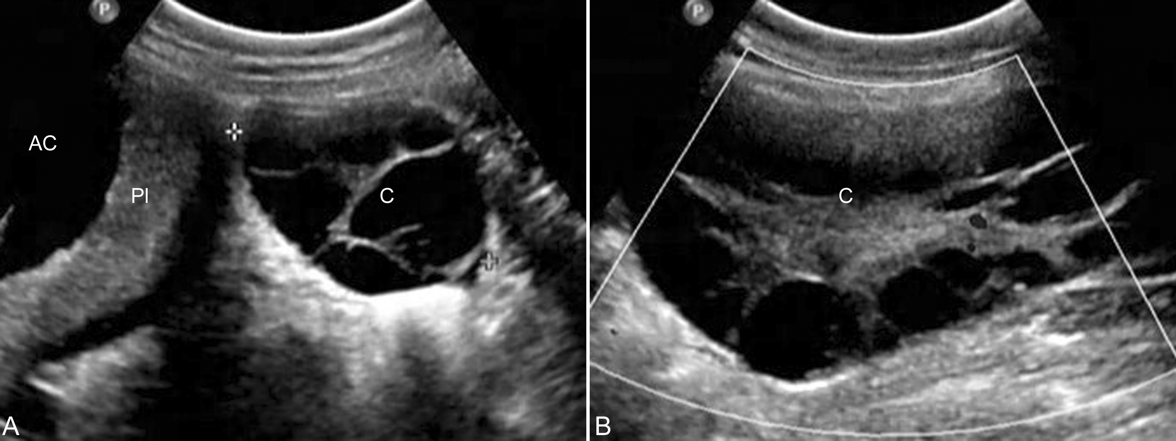
妊娠期卵巢浆液性囊腺瘤(serous cystadenoma of ovary)和粘液性囊腺瘤(mucinous cystadenoma of ovary)的发生率占附件区占位性病变的27.5%;超声显像检查其内部回声也与非妊娠期一样,均显示为典型的无回声区,形态规则,边缘清晰,壁比较薄。一般情况下,粘液性囊腺瘤多为单侧,瘤体较大,张力较低,显示为椭圆形或扁圆形,内部如有分隔则多为多发性,相对稍厚,无回声区内可见较低的分布均匀的回声(图3);浆液性囊腺瘤多数张力较高,显示为椭圆形或圆形,内部透声较好,有时可见分隔,但分隔多较少、较薄(图4),有15%的浆液性囊腺瘤为双侧。

图3妊娠并粘液性囊腺瘤声像图
羊膜腔(AC)外侧显示低张力、多房性无回声(C),内部可见不均匀分布的低回声
Pl:胎盘

图4妊娠并浆液性囊腺瘤声像图
子宫内显示孕囊回声(箭头处),子宫旁可见单房性囊肿,64mm × 58mm × 70mm
检查时要注意囊肿的壁有无乳头状突出物或内部有无实性回声区的存在。
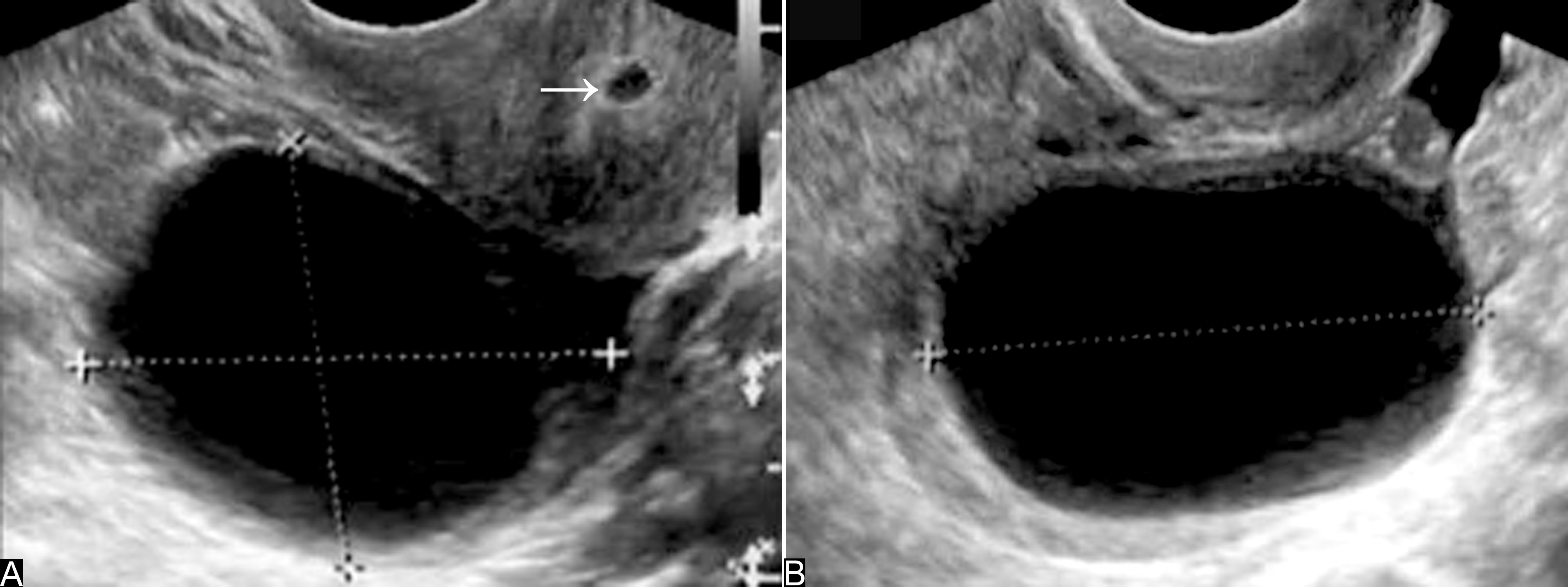
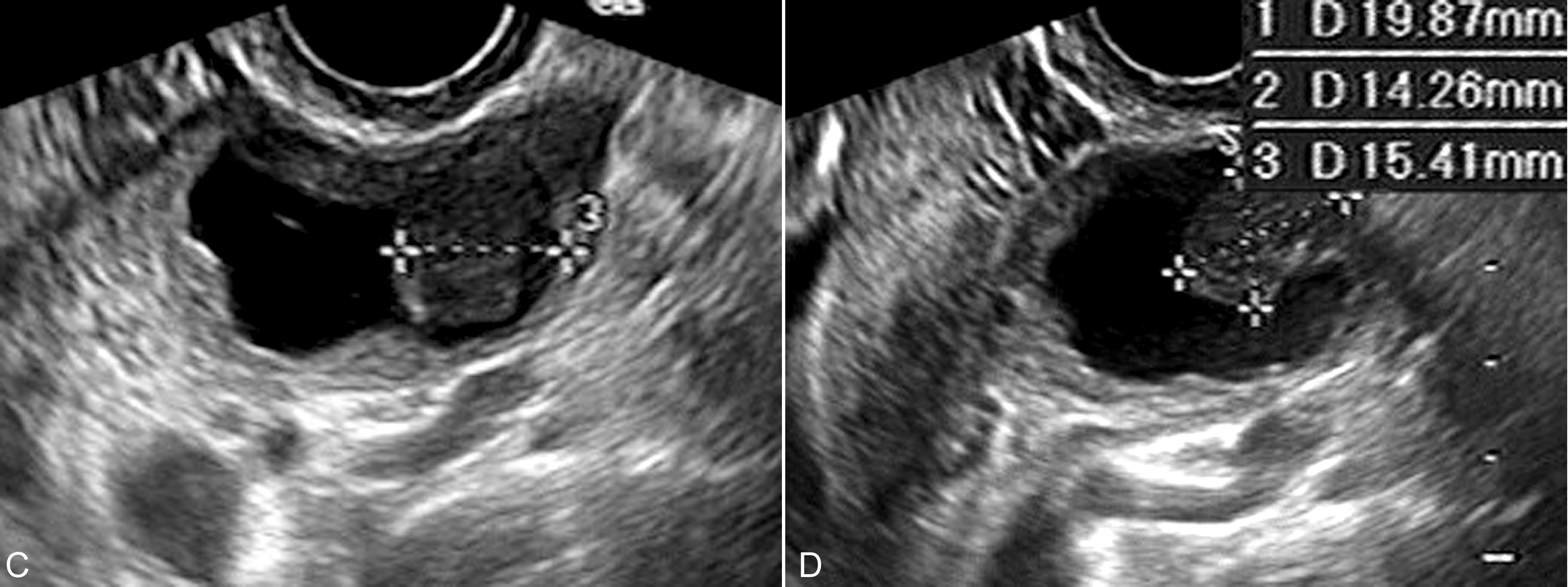
一般认为,内部的这些回声常提示为乳头状肿瘤,应当注意有恶性的可能(图5,6),临床常采取积极的态度进行处理。

图5卵巢恶性粘液瘤声像图
A、B:宫旁瘤体显示瘤体回声,形态不规则,边缘不清楚;囊壁厚薄不一

图6卵巢恶性粘液瘤声像图
C、D:瘤体内为无回声,一侧可见不规则乳头状回声,测量为20mm × 14mm × 15mm