
急性肾损伤(AKI)是肝病患者的常见并发症,可显著增加患者死亡率。虽然肝肾综合征的病例报道较为常见,但严重肝衰竭患者胆汁管型肾病却鲜有报道。近日,AJKD期刊报道了一例由胆管结石引起阻塞性胆汁淤积进而导致胆汁管型肾病的病例,一起了解一下吧。
病例资料
患者男,61岁,因乏力,厌食,呕吐和严重黄疸入院。无其他病史,基线肾功能正常。血压105/72 mmHg,心率78 次/min,体温正常,少尿。皮肤呈黄褐色,巩膜黄染。右上腹压痛,无腹水。
实验室检查
总胆红素(32.6 mg/dL)、碱性磷酸酶(183 IU/L)、g-谷氨酰转肽酶(162 IU/L)、天冬氨酸(81IU/L)和丙氨酸转氨酶(101 IU/L)水平增加。血肌酐升高5.3 mg/dL,尿蛋白排泄量0.7 g/24h。尿蛋白电泳:白蛋白(60%)和低分子量蛋白(40%)。因患者无尿未进行尿沉渣检查。C-反应蛋白4.5 mg/L。无自身免疫和感染因素。腹部和盆腔CT显示:胆管结石引起的阻塞性胆汁淤积,肝内外胆管扩张。患者无门静脉高压临床表现,钠排泄 95 mmol/L可排除肝肾综合征。
肾活检
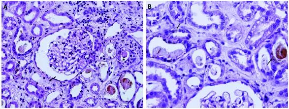
肾皮质0.7cm,16个肾小球,1个肾小球硬化,轻度弥漫性增生。Masson三色染色显示:肾小管管腔内多个绿色管型。弥漫性轻度间质淋巴细胞浸润和间质纤维化(图1)。管状管型主要见于远端小管,管型处管腔轻度扩张。30%肾小管病变上皮细胞可见细胞空泡化(图2A和B)。肾小管管型Hall 氏染色呈黄绿色(图3)。血管无异常。肾小球免疫荧光:未见IgG,IgA,IgM,C1q,C3,C4,纤维蛋白原和k和l轻链沉积。部分病变血管可见C3沉积。

图1 近端小管扩张和绿色管型(Masson三色染色,放大倍数×10)

图2 (A)肾小管上皮细胞空泡化(黑色箭头);部分管型含有脱落的上皮细胞(*)(HE染色,放大倍数×40);(B)管状管型(*)和肾小管上皮细胞深染(黑色箭头)(HE染色,放大倍数×60)

图3 黄绿色管状管型(黑色箭头)(染色,放大倍数×40)
诊断
胆汁管型肾病
讨论
早在20世纪20年代,研究者就已发现胆汁可损害肾脏,但有关胆汁管型肾病的报道却十分罕见,可能原因是缺乏肝功能不全患者肾活检标本。
该病例报道了一例非肝病引起的胆汁淤积继而导致胆汁管型性肾病的患者,表明单一的胆汁淤积即足以导致胆红素管型和肾小管上皮损伤不伴肾缺血。
严重胆汁淤积肾损伤可能是因为肾小管胆碱沉积,损伤肾小管上皮细胞。阻塞性胆汁淤积动物模型研究表明,随着尿浓度增加,胆红素在肾小管中沉积。胆汁管型形成可能是由于胆碱水溶性差和/或近端小管吸收障碍。通常,胆汁管型多于远端小管。
高胆红素血症可减少升袢汉勒细胞超氧化物和钠重吸收,降低血管紧张素II动脉高压的作用。但胆红素可损害肾脏。研究表明,肾上皮细胞通过有机阴离子转运系统吸收胆红素,在细胞内抑制三磷酸腺苷产生。而三磷酸腺苷不足又与线粒体结构缺陷相关,导致细胞通透性增加,电解质含量和细胞体积改变。此外,胆汁淤积还与近端肾小管细胞功能障碍相关,可导致范康尼综合征。
阻塞性胆汁淤积小鼠模型证实,胆汁酸可损伤上皮细胞。研究表明,胆汁酸可引起肾脏组织炎症,肾内皮细胞血管细胞粘附分子1(VCAM-1)过度表达。导致树突状细胞和巨噬细胞进入肾间质—可能由单核细趋化蛋白1(MCP-1)诱导。
总之,胆汁管型肾病是胆汁淤积的潜在并发症。由肾缺血引起,但严重的孤立性胆汁淤积也足以导致胆汁管型肾病。AKI是由上皮细胞损伤和胆汁阻塞肾小管引起。去除胆汁血症后肾功能可恢复。
医脉通编译自:Bile Cast Nephropathy Caused by Obstructive Cholestasis.Am J Kidney Dis. 2017 Jan;69(1):143-146. doi: 10.1053/j.ajkd.2016.08.023.
